Все лекции для врачей удобным списком

Гистероскопическая диагностика. Признаки гиперплазии эндометрия. Лекция для врачей

Поделиться:

Лекция для врачей "Гистероскопическая диагностика. Признаки гиперплазии эндометрия" (отрывок из книги "Внутриматочная патология: клиника, гистероскопическая диагностика и лечение" - Рудакова Е. Б., Куриленко Т. Ю., Давыдов В. В., Давыдов В. П.)

Клиническая картина гиперпластических процессов эндометрия

Клинические проявления при гиперпластических процессах эндометрия (ГПЭ) определяются особенностями гормонального статуса и наличием патологических изменений органов малого таза. Основные жалобы, предъявляемые пациентками с гиперпластическими процессами эндометрия - маточные кровотечения, бесплодие, связанное с ановуляцией, а при больших полипах эндометрия могут быть схваткообразные боли внизу живота. В репродуктивном возрасте кровотечение происходит по типу менометроррагии, в пременопаузальном - как ациклические кровотечения, в постменопаузе — в виде кровянистых выделений различной интенсивности, чаще «мажущего» характера.

Бесплодие при гиперплазии эндометрия обусловлено двумя факторами: ановуляцией и невозможностью имплантации эмбриона на измененную слизистую оболочку матки.

При гистероскопии определяют обычную и полиповидную ГПЭ эндометрия.

При обычной гиперплазии гистероскопическую картину иногда бывает трудно отличить от эндометрия в ранней пролиферативной фазе. При отсутствии кровянистых выделений эндометрий бледно-розового цвета, отечный, утолщен, может образовывать складки, хорошо видны протоки желез. Во время проведения гистероскопии при длительных кровянистых выделениях, обычно в области дна матки и устья маточных труб, определяются обрывки эндометрия бледно-розового цвета, а на остальном протяжении эндометрий бледный и тонкий. Окончательный диагноз ставится при получении результатов гистологического исследования соскоба эндометрия.

Признаки простой гиперплазии эндометрия

  • поверхность слизистой оболочки неровная, с многочисленными складками; цвет — бледно-розовый, реже - ярко-красный;
  • высота эндометрия в пределах 10-15 мм;
  • выводные протоки желез визуализируются, расположены равномерно;
  • сосудистый рисунок резко выражен;
  • устья маточных труб, как правило, свободны.

Признаки кистозной гиперплазии эндометрия

  • поверхность слизистой оболочки неровная, с многочисленными складками; цвет - бледно-розовый, реже — ярко-красный;
  • высота эндометрия в пределах 10-15 мм;
  • выводные протоки желез визуализируются, расположены равномерно;
  • сосудистый рисунок резко выражен, причем сосуды имеют неодинаковую толщину;
  • визуализируются множественные кистозные полости, расположенные в проекции поверхностных сосудов слизистой оболочки;
  • устья маточных труб свободны.

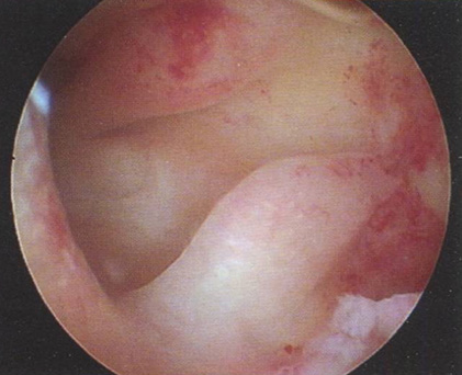
Варианты гистероскопической картины при ГПЭ представлены на рисунках 3.1-3.4.

При полиповидной форме гиперплазии полость матки на всем протяжении эндометрия выполнена бледно-розовыми выступами утолщенного эпителия.

Заключение: гиперплазия эндометрия. Гистологическое исследование: простая железистая ГПЭ

Рис. 3.1. Описание гистероскопической картины:

  • полость матки треугольной формы, не деформирована;
  • эндометрий бледно-розового цвета, в виде складок и гребней различной величины. При изменениях давления за счет введенного расширяющего раствора отмечаются волнообразные движения эндометрия;
  • устья маточных труб не всегда визуализируются.

Заключение: гиперплазия эндометрия. Гистологическое исследование: простая железистая ГПЭ.

Заключение гистероскопии: гиперплазия эндометрия

Рис. 3.2. Заключение гистероскопии: гиперплазия эндометрия.

Гистологическое исследование: простая железистая ГПЭ.

Заключение гистероскопии: гиперплазия эндометрия

Рис. 3.3. Заключение гистероскопии: гиперплазия эндометрия. Гистологическое исследование: простая железистая ГПЭ.

Гистологическое исследование: простая железистая ГПЭ. 

Заключение: гиперплазия эндометрия.

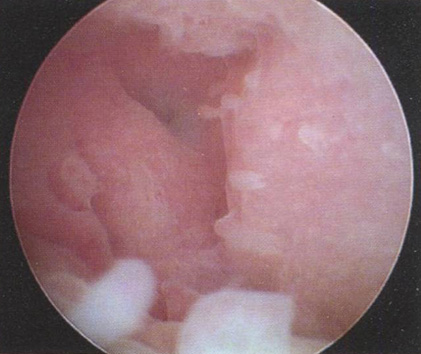
Рис. 3.4. Описание гистероскопической картины:

  • полость матки треугольной формы, не деформирована;
  • эндометрий бледно-розового цвета, в виде складок и гребней различной величины с жидкостными включениями. При изменениях давления за счет введенного расширяющего раствора отмечаются волнообразные движения эндометрия;
  • устья маточных труб не визуализируются.

Заключение: гиперплазия эндометрия.

Гистологическое исследование: простая железисто-кистозная ГПЭ.

Такую картину можно увидеть в фазу секреции. Обычно в дне матки эти изменения выражены сильнее.

При различных формах ГПЭ гистероскопическая картина может быть похожа на картину нормальной слизистой оболочки в одну из фаз менструального цикла, поэтому обязательно нужно знать, в какой день менструального цикла проводится исследование и какая клиническая картина наблюдается перед гистероскопией.

Признаки полиповидной гиперплазии эндометрия (рис. 3.5)

  • поверхность слизистой оболочки неровная, с множественными полиповидными разрастаниями;
  • высота эндометрия до 15 мм;
  • выводные протоки желез не определяются;
  • сосудистый рисунок резко выражен;
  • устья маточных труб не идентифицируются.
Заключение: полиповидная гиперплазия эндометрия

Рис. 3.5. Описание гистероскопической картины:

  • полость матки треугольной формы, не деформирована;
  • эндометрий бледно-розового цвета, в виде полиповидных разрастаний различной величины по всей полости матки;
  • устья маточных труб не визуализируются.

Заключение: полиповидная гиперплазия эндометрия.

Гистологическое исследование: простая железистая ГПЭ.

Вы читали отрывок из книги "Гистероскопическая диагностика. Признаки гиперплазии эндометрияю" (отрывок из книги "Внутриматочная патология: клиника, гистероскопическая диагностика и лечение" - Рудакова Е. Б., Куриленко Т. Ю., Давыдов В. В., Давыдов В. П.)

Купить книгу  "Гистероскопическая диагностика. Признаки гиперплазии эндометрияю" (отрывок из книги "Внутриматочная патология: клиника, гистероскопическая диагностика и лечение" - Рудакова Е. Б., Куриленко Т. Ю., Давыдов В. В., Давыдов В. П.) в интернет-магазине shopdon.ru

Книга "Внутриматочная патология: клиника, гистероскопическая диагностика и лечение"

Авторы: Рудакова Е. Б., Куриленко Т. Ю., Давыдов В. В., Давыдов В. П.

Купить книгу  "Гистероскопическая диагностика. Признаки гиперплазии эндометрияю" (отрывок из книги "Внутриматочная патология: клиника, гистероскопическая диагностика и лечение" - Рудакова Е. Б., Куриленко Т. Ю., Давыдов В. В., Давыдов В. П.) в интернет-магазине shopdon.ru

В предлагаемом учебно-методическом пособии использованы как данные источников литературы, так и собственный опыт авторов. Все микрофотографии выполнены авторами.

Предназначено для врачей акушеров-гинекологов, интернов и клинических ординаторов.

Содержание книги "Внутриматочная патология: клиника, гистероскопическая диагностика и лечение" - Рудакова Е. Б.

Глава 1. Гистероскопия: показания, противопоказания, подготовка к исследованию, аппаратура, методики проведения

Глава 2. Гистероскопическая картина в норме

Глава 3. Варианты гистероскопической картины при внутриматочной патологии

Глава 4. Лечение основных форм внутриматочной патологии

Купить книгу "Гистероскопическая диагностика. Признаки гиперплазии эндометрияю" (отрывок из книги "Внутриматочная патология: клиника, гистероскопическая диагностика и лечение" - Рудакова Е. Б., Куриленко Т. Ю., Давыдов В. В., Давыдов В. П.) в интернет-магазине shopdon.ru

Интернет-магазин медицинской литературы

Бесплатные лекции для врачей. Удобным списком

Похожие материалы

Купить медицинскую литературу по гинекологии и акушерству


  • Практическое пособие по спинальной анестезии и эпидуральным блокадам для врача. В книге разобраны инструментарий, фармакология местных анестетиков, технические особенности нейроаксиальных блокад, их применение в хирургии, терапии, акушерстве и детской практике. Отдельно рассмотрены осложнения, их профилактика и вопросы анестезиологического обеспечения в интенсивной терапии.

    3 881 Р

  • Атлас по болезням вульвы с акцентом на прогнозирование, раннюю диагностику, морфологическую классификацию элементов сыпи, алгоритмы обследования и лечебную тактику. В книге подробно разобраны поражения вульвы по цвету и типу высыпаний, дифференциальная диагностика, зоны ответственности врачей разных специальностей, клинические ситуации и практические задачи для врача.

    7 515 Р

  • Книга для акушеров-гинекологов и врачей, занимающихся болезнями молочных желёз, помогает связать маммологию с репродуктивным здоровьем женщины. В издании разобраны лактация и грудное вскармливание, доброкачественные заболевания молочных желёз, единый маммологический и гинекологический скрининг, гормональные и обменные факторы риска, лечение масталгии, мастопатии и сопутствующих состояний.

    5 613 Р

  • Практическое руководство по клинической андрологии для урологов, андрологов, гинекологов, эндокринологов и врачей общей практики. В книге разобраны эректильная дисфункция, мужское бесплодие, азооспермия, болезнь Пейрони, нарушения эякуляции, гормональные аспекты, андрологическая онкология, неотложные состояния, диагностика и хирургическое лечение с опорой на клиническую практику.

    6 278 Р

  • Цитологическая диагностика цервикальной патологии: доброкачественные изменения, предопухолевые поражения и рак шейки матки. Систематизированные критерии и диагностические алгоритмы, скрининг и ключевые этапы исследования. Иллюстрации цитологических и гистологических препаратов с комментариями; наблюдения гистологически верифицированы. Для цитологов, КЛД, патологоанатомов и гинекологов.

    7 259 Р

  • Практическая кольпоскопия: руководство для врачей по диагностике предрака и рака шейки матки. Критерии оценки эпителия и трактовка кольпоскопических картин. Классификации патологии шейки матки, влагалища и вульвы; особенности при беременности и постменопаузе. Международная терминология (RU/EN), протокол исследования, разбор ошибок, тактика ведения и технологии лечения, приложения с кодами, FIGO и Swede score.

    4 941 Р

  • Круг беременности для врачей — двусторонний акушерский календарь для расчета срока беременности по неделям, предполагаемой даты родов, сроков скринингов, УЗИ и планового наблюдения пациентки

    2 091 Р

  • Краткий сборник клинических протоколов по акушерству: алгоритмы ведения беременности, родов и послеродового периода. Диагностика, лечение и профилактика частых состояний: преэклампсия, кровотечение, ИЦН, гестационный диабет, инфекции, преждевременные роды, патология плаценты, многоплодие и тазовые предлежания. Основано на 34 рекомендациях Минздрава РФ, доступ к полным версиям через QR-коды и сайт.

    4 714 Р

  • Клиническая эмбриология — полностью обновлённое клинически ориентированное руководство по нормальному и патологическому развитию человека: от гаметогенеза и оплодотворения до родов, плаценты и плодных оболочек. Разбираются органогенез, врождённые дефекты, пути SHH, эпигенетика, ИПСК и CRISPR/Cas9. Для врачей и студентов. Есть клинические задачи и русскоязычная терминология по темам.

    14 830 Р

  • В атласе собран большой иллюстративный материал, помогающий практикующему врачу систематизировать полученные результаты обследования пациентки, сопоставив результаты гистологического анализа с предложенными сонографическими изображениями. Авторы предлагают тщательные описания конкретных клинических случаев. Удобный формат атласа позволяет быстрее уточнить диагноз, что крайне существенно в современных условиях — скорость верификации может повысить качество лечения пациентки.

    6 279 Р

  • Книга представляет собой современное руководство по диагностике и лечению заболеваний вульвы. Разобраны частые и редкие нозологии, алгоритмы обследования, дифференциальная диагностика, терапевтическая тактика, педиатрические случаи, последствия калечащих операций, и психосексуальные аспекты, приведено большое количество клинико-гистологических иллюстраций. Издание для врачей, работающих с вульвой.

    11 580 Р

  • ​Набор предназначен для оперативной поддержки клинического решения при подозрении на орфанную патологию. Каждая карточка объединяет наглядное изображение, чек-лист ключевых симптомов, типичные диагностические ловушки, минимально необходимый объём первичного обследования, параметры для раннего направления и базовые ориентиры терапии/наблюдения до консультации в профильном центре. Материал охватывает 15 нозологий (включая мукополисахаридозы I/IV/II, Гоше, Фабри, Помпе, муковисцидоз, НАНО, НФ1, гипофосфатазию и др.), акцентируя «красные флаги», возраст дебюта, частые фенокопии и ошибки маршрутизации. Формат удобен для амбулаторного приёма, отделений педиатрического и взрослого профиля, междисциплинарных консилиумов и обучения.

    2 474 Р

  • Профессиональное руководство В. Е. Радзинского о «гинекологической агрессии»: как распознавать устаревшие практики, диагностические ошибки и полипрагмазию, снижать необоснованные вмешательства и повышать качество помощи. Разобраны инфекции, АМК, аменорея, ПМС/ПМДР, гиперплазия, кисты; объективизация боли (VAS, NRS, HADS, FSFI); контрацепция, бесплодие/ВРТ, перинеология; правовые аспекты, алгоритмы

    5 922 Р

  • Алгоритмы диагностики и лечения по эндокринной гинекологии в удобных карточках для врачей. Чек-листы, схемы, практические рекомендации для акушеров-гинекологов: от ведения подростков до женщин в постменопаузе. Учебное и рабочее пособие, которое помогает врачу действовать уверенно и не упустить ключевых шагов. Практичный формат, который всегда под рукой. Закажите набор в интернет-магазине.

    3 650 Р

  • Книга «Антиэйдж-гинекология» — практическое руководство по ведению менопаузы и МГТ. Разделы: GSM, сухость влагалища, недержание мочи, дисфункция тазового дна, остеопороз и профилактика переломов, гиперплазия эндометрия, коморбидные состояния, когнитивное здоровье, алгоритмы обследования и стратификация риска.

    6 458 Р

  • В книге приведены данные о функционировании защитной микрофлоры и патогенной микрофлоры влагалища, локальной врожденной и адаптивной иммунных систем при бактериальных вагинозах, рассматриваются механизмы действия многочисленных антимикробных пептидов. Анализируются современные концепции патогенеза и затруднения, возникающие при лечении бактериальных вагинозов.

    3 527 Р

  • Книга содержит междисциплинарные рекомендации по эпидемиологии, диагностике и лечению рака эндометрия, основанные на современных фактических данных. Отдельные главы посвящены гормональным взаимодействиям, профилактике рака, новым терапевтическим технологиям. Особую ценность представляет освещение молекулярно-генетической классификации и ее клинического применения. Показаны последние достижения в области методов диагностики. Главы, посвященные лечению, включают описание лимфаденэктомии и диссекции сторожевого узла, лучевых методов и химиотерапии на ранних стадиях заболевания, ведение хирургических манипуляций и их осложнений. Рассмотрены также лечение редких типов опухолей и варианты лечения при запущенном заболевании, включая гормональную и таргетную терапию.

    5 246 Р

  • В книге представлена всеобъемлющая информация по терминологии, лучевой семиотике, методике выполнения исследований, анализу изображений. Большое внимание уделено принципам проведения скрининга рака молочной железы. Книга отлично иллюстрирована клиническими примерами. Атлас отражает тенденции в области диагностики заболеваний молочной железы и отвечает современным потребностям врачебного сообщества.

    8 280 Р

  • В книге представлены сведения об особенностях венозных тромбоэмболических осложнений в акушерстве и гинекологии: их этиологии, диагностике, лечении, ведении беременности, родов и послеродового периода у пациенток с данными осложнениями, а также специфике венозных тромбозов и тромбоэмболий у гинекологических больных. Рассмотрены современные методы прогнозирования и профилактики венозных тромбозов и тромбоэмболий

    2 812 Р

  • Нюансы общения с парами, переживающими потерю беременности с учётом срока, на котором она произошла, и «тонкостей» акушерско-гинекологического анамнеза, напрямую влияющих на психоэмоциональное состояние женщины и её близких, освещены в руководстве по перинатальной психологии «Тишина после родов и продолжение жизни». Книга включает огромное количество практических советов, уникальные методики персонализированного консультирования и авторские инструменты диагностики, которые позволят избежать конфликтов и оказать полноценную квалифицированную помощь семьям на различных этапах переживания утраты.

    2 581 Р

  • В книге обновлённая и дополненная информация по вопросам диагностики, патогенетической и посиндромной терапии пациенток с ХТБ, соответствующая современным научным данным и действующим клиническим рекомендациям. В книге описаны чёткие подходы к диагностике и последующему лечению выявленных нарушений — как консервативному, так и оперативному.

    4 849 Р

  • В новом издании книги представлены современные сведения о распространённости различных видов анемии, причинах их формирования (особый акцент — на аномальные и/или обильные маточные кровотечения), принципах выявления и терапии в различных клинических ситуациях с учётом индивидуальных особенностей больных, рекомендации по прегравидарной подготовке здоровых женщин и пациенток группы высокого риска железодефицитных состояний.

    4 110 Р

  • Книга врачу-практику найти ответы на многие каждодневные вопросы, которые имеют принципиальное значение, однако не отражены в действующих протоколах и клинических рекомендациях. Традиционно в бестселлере приведены практические советы по решению задач, постоянно возникающих в работе, инструкции по безопасности всех участников перинатального процесса, разбор действующих нормативных документов и юридических вопросов, связанных с оказанием медицинской помощи в акушерской практике.

    5 276 Р

  • В книге приведена актуальная информация о наиболее часто встречающихся дерматозах вульвы — склероатрофическом лихене, красном плоском лишае, простом хроническом лишае. Подробно иллюстрированы клинические проявления заболеваний, описаны современные подходы к диагностике и лечению, в том числе при сочетанных состояниях и осложнениях. Каждую главу с нозологиями завершают клинические случаи с изложением применяемых терапевтических методик.

    2 787 Р

  • Книга несколько сотен полноразмерных микрофотографий биоптатов эндометрия. Наряду с иллюстрациями в книге представлено по дробное описание современных классификаций и особенностей морфологической диагностики состояний. В книгу вошли главы, посвященные как нормальному состоянию эндометрия — при беременности и в разные фазы месячного цикла, так и его патологическим изменениям.

    4 708 Р

  • В книге в доступной форме изложены основы правильного и полноценного ухода, этапы психомоторного и физического развития ребенка первого года жизни, правила здорового питания и культуры воспитания, которые помогут молодым родителям справиться со многими проблемами и задачами, стоящими перед ними.

    2 142 Р

  • В книге «Генитальные вирусные инфекции» подробно рассматриваются вопросы, касающиеся патогенеза, клинической картины, диагностики и лечения генитального герпеса и папилломавирусной инфекции. Представлены как традиционные, так и новейшие методы, которые могут быть использованы для выявления как активной, так и скрытой форм этих заболеваний. Кроме того, в книге описаны различные клинические, молекулярно-биологические и серологические подходы, применяемые для диагностики.

    2 548 Р

  • В учебном пособии основное внимание уделяется диагностике состояний и заболеваний, угрожающих жизни в гинекологии. Также рассмотрены методы оказания неотложной помощи и современные принципы терапии. Особое место уделено лечебно-тактическим мероприятиям на догоспитальном и госпитальном этапах.

    1 747 Р

  • В книге большое внимание уделено организации питания семьи с учетом важности в настоящее время прегравидарной подготовки, включающей оптимизацию питания женщин. В отдельном разделе отражена организация питания женщин в период беременности и даны рекомендации по здоровому образу жизни. Показано, что включение в рацион беременных и кормящих женщин специализированных продуктов питания и витаминно-минеральных комплексов — способ обеспечения их всеми необходимыми пищевыми веществами.

    2 227 Р

  • В книге представлены современные представления о причинах, механизмах развития, методах выявления и подходах к лечению невынашивания беременности. Ведение беременности у женщин с инфекционными заболеваниями, эндокринными нарушениями и проблемами со свёртываемостью крови. Описаны методы диагностики и лечения истмико-цервикальной недостаточности.

    2 079 Р

  • Изложены правила исследования биопсийного и операционного материала с особенностями фиксации, вырезки, описаний, формулировок заключений при различных гинекологических заболеваниях. Приведены примеры оформления бланков направления на патологогистологическое (морфологическое) исследование при заболеваниях тела и шейки матки, яичников, некоторых других заболеваний женской половой сферы с макроскопическими и микроскопическими описаниями, формулировками заключений, кодированием (шифрованием) диагнозов

    1 598 Р

  • Освещены вопросы формирования рубца на матке и разрыв матки как следствие несостоятельности сформировавшегося рубца. Отдельно рассмотрены клинические проявления несостоятельности рубца на матке вне и во время беременности. Подробно изложены современные подходы к оценке состоятельности рубца на матке, в частности место, роль и методика магнитно-резонансной томографии. Особое внимание уделено мировым и собственным данным по ультразвуковой диагностике дефекта рубца на матке после кесарева сечения.

    2 622 Р

  • Содержание книги. Лактостаз. Трещины сосков. Лактационный мастит. Серозный мастит. Инфильтративный мастит. Гнойный мастит. Диагностика лактационного мастита. Лечение лактационного мастита. Галактофорит. Диагностика галактофорита. Лечение галактофорита. Нелактационный мастит. Классификация нелактационного мастита. Диагностика и лечение нелактационного мастита

    1 598 Р

  • В пособии рассмотрены этиология, патогенез, клиника, алгоритмы лабораторной диагностики основных нозологических форм инфекций, передаваемых половым путем. Предлагаемый для каждого заболевания комплекс лабораторных исследований включает как общепринятые средства диагностики,так и новые алгоритмы, разработанные на основе научных достижений в области иммунологии и молекулярной биологии.

    1 640 Р

  • В книге подробно излагаются этапы обследования и тактика ведения пациенток с различными заболеваниями шейки матки с применением современных методов диагностики и лечения. На большом иллюстративном материале рассмотрена диагностика патологии шейки матки с помощью оптической когерентной томографии. Особое внимание уделено классификациям патологических состояний шейки матки, методам скрининга, дифференцированному подходу к выбору метода терапии.

    1 480 Р

  • ​Представлены последние данные по диагностике доброкачественных и злокачественных опухолей яичников в различных возрастных группах женщин. Даны особенности клинического течения в зависимости от патоморфологической характеристики опухолей. Рассмотрены вопросы ранней дифференциальной диагностики с помощью современных методов, показана роль инфракрасной Фурье-спектрометрии сыворотки крови как раннего и высокоинформативного маркера в диагностике опухолей яичников. Для врачей акушеров-гинекологов, онкологов, клинических ординаторов и клинических интернов.

    1 630 Р

  • В книге подробно изложены аспекты этиологии и патогенеза всех форм доброкачественных и злокачественных заболеваний шейки матки, принципы обследования, лечения и профилактики. Особое внимание уделено сведениям о перспективных методах оценки состояния шейки матки. Проведен анализ ошибок диагностики, предложены пути решения. Содержание книги. Лечение заболеваний шейки матки: современные методы. Тактика ведения пациенток с заболеваниями шейки матки

    1 608 Р

  • Часть 2. Содержание книги. Рассмотрена роль лекарственных препаратов в формировании патологии различных органов и систем у плода в зависимости от срока беременности. Заболевания мочевыделительной системы. Эндокринные заболевания и беременность. Сахарный диабет и беременность. Заболевания щитовидной железы и беременность. Беременность и аутоиммунный тиреоидит. Аллергические реакции. Анемии и нарушения системы гемостаза при беременности

    2 336 Р

  • Рассмотрена роль лекарственных препаратов в формировании патологии различных органов и систем у плода в зависимости от срока беременности. Дана оценка сопутствующих факторов риска для плода и матери. Включен также раздел, посвященный питанию во время беременности. В основу издания положены материалы Российских рекомендаций для практикующих врачей.

    2 336 Р

  • В пособии освещены современные взгляды на этиологию, патогенез, клинику и диагностику кровотечений при беременности, в родах и послеродовом периоде. Рассмотрена врачебная тактика при предлежании плаценты, преждевременной отслойке нормально расположенной плаценты, программе интенсивной терапии при кровотечении, обусловленном ДВС-синдромом, и геморрагическом шоке, а также принципы оказания неотложной помощи при разрывах матки.

    1 651 Р

  • Большое число микрофотографий (более 300) облегчает усвоение материала и способно помочь врачу при установлении цитологического диагноза. Даны также основные представления о гистологическом строении различных поражений молочной железы. Глава в книге посвящена опухолевым маркерам и их роли в диагностике и лечении патологии молочной железы. Она включает сведения как об определении различных маркеров в сыворотке крови, так и об использовании иммуноцитохимических и иммуногистохимических исследований

    7 640 Р

  • Цель руководства – систематизировать современные данные по ультразвуковой оценке развития органов и систем плодов с врожденными пороками сердца (ВПС), направленной на выявление случаев с высоким риском ранних и отдаленных постнатальных осложнений и неблагоприятных исходов. В руководстве изложены результаты российских и зарубежных исследований особенностей развития плода при наличии ВПС, представлена стандартизированная методика их антенатальной оценки и референсные интервалы изучаемых параметров.

    3 490 Р

  • В первой части руководства обсуждаются общие вопросы диагностики и поиска верного алгоритма мышления. Во второй части говорится о диагностике сочетанной патологии, а в третьей приводятся конкретные примеры из практики. Автор опирается на свой более чем пятидесятилетний опыт работы и утверждает, что главную роль в пред отвращении врачебных ошибок играет самостоятельная работа с больными, сопряженная с целенаправленным анализом жалоб, сбором анамнеза, полноценным физическим обследованием с одновременным проведением дифференциального диагноза уже в момент первого контакта с больным.

    4 342 Р

  • Подробно изложен универсальный механизм противовирусного действия интерферонов, показана их роль в патогенезе, терапии и профилактике инфекций вирусной и бактериальной этиологии. Описаны механизмы эвазии — ускользания вирусов от факторов врожденного иммунитета. Особое внимание уделено беременным женщинам и новорожденным детям, так как лечение вирусных инфекций у данного контингента пациентов всегда затруднено из-за возможности побочного действия лекарственных препаратов.

    4 341 Р

  • ​Руководство содержит комплексную современную информацию о причинах, диагностике, эффективных методах лечения женского бесплодия, в том числе с использованием новейших технологий. В нем дано полное представление о том, как наилучшим образом вести пациенток с женским бесплодием, изложены вопросы, касающиеся анатомии, физиологии, генетики, функции яичников, протоколов стимуляции, процессов оогенеза и забора ооцитов, эндометриоза и поликистоза яичников.

    6 432 Р

  • Содержание книги. Анафилаксия. Бронхоспазм. Сниженный уровень сознания. Трудные дыхательные пути. Диабетический кетоацидоз беременной. Акушерское кровотечение. Гипертензия у беременных. Гипогликемия у матери. Гипотензия у матери. Гипоксия у матери. Системная токсичность местных анестетиков. Протокол массивного переливания крови. Преждевременная отслойка плаценты. Врастание плаценты. Выпадение пуповины. Судороги у матери…

    3 167 Р

  • Содержание книги. Акушерские эмболии. Заболевания печени у беременных. Ятрогенная патология. Анестезиологические осложнения. Смерть, связанная с трудной или неудачной интубацией. Патологическая анатомия общепатологических процессов (синдромов) при материнской смерти. Особенности проведения патологоанатомических вскрытий при материнской смерти. Патологоанатомический диагноз и оформление медицинского свидетельства о смерти при материнской смерти

    3 142 Р

  • Приводятся принципы интерпретации данных лабораторной спермограммы согласно рекомендациям 6-го издания руководства ВОЗ по исследованию спермы человека. Первые главы посвящены общим вопросам сперматогенеза и методам исследования сперматозоидов. Описаны морфология отдельных частей этих клеток и их аномалии. Последние главы включают сведения о внутригаметном вирусном инфицировании сперматозоидов и бактериальном инфицировании эякулята. Приводятся данные об особенностях электронно-микроскопического исследования сперматозоидов для оценки их фертилизационного потенциала.

    2 981 Р

  • Книга большое количество наглядных таблиц и иллюстраций, что позволит освоить и выработать определенные принципы диагностики, а также правильную тактику ведения и лечения данной категории больных. Материал в книге может быть использован в учебном процессе. Рекомендовано врачам акушерам-гинекологам, специалистам ультразвуковой и лабораторной диагностики, анестезиологам-реаниматологам, врачам скорой медицинской помощи, а также хирургам.

    1 891 Р

  • В книге рассмотрены особенности лабораторной диагностики у женщин при заболеваниях органов репродуктивной системы и во время беременности. Представлены сведения о дополнительных исследованиях в акушерстве и гинекологии (общеклинических, биохимических, иммунологических и других показателях), функциональных методах исследования органов и их систем у женщин в различные периоды жизни. Приведены нормативные показатели гомеостаза и функциональных тестов у беременных, интерпретация полученных результатов исследований и изменений в течение беременности.

    1 698 Р

  • Содержание книги. Озонотерапия в гинекологии. Озонотерапия острых воспалительных заболеваний органов малого таза. Озонотерапия инфекционно-воспалительных заболеванийнижнего отдела гениталий. Озонотерапия в лечении неспецифического кольпитаи бактериального вагиноза. Озонотерапия в профилактике послеоперационных гнойно-воспалительных осложнений у гинекологических больных. Озонотерапия в комплексном лечении трубно-перитонеального бесплодия

    2 906 Р

  • В монографии приводятся современные данные о биологических механизмах действия озона: о роли перекисного окисления липидов в физиологических условиях и об изменениях проантиоксидантного состояния организма и иммунной системы при опухолевом росте. Представлены результаты экспериментальных и клинических исследований: возможности использования озонированных растворов в качестве компонента лечения онкологических заболеваний.

    2 446 Р

  • Инновационные подходы к раннему выявлению патологии молочных желез, рационально построенное консервативное лечение позволяют добиваться удовлетворительных результатов, улучшать показатели качества жизни и психоэмоционального состояния женщин. Тем не менее у ряда пациенток возникают показания к хирургическому лечению, прежде всего при фиброзно-кистозной болезни с преобладанием кистозного компонента.

    3 320 Р

  • Книга состоит из пяти глав, включающих современные представления о микробиоме кожи, пиодермиях, микозах кожи и ее придатков, а также папилломавирусной инфекции. Отражены последние данные об эпидемиологии, этиологии, патогенезе, классификациях, клинической картине, патоморфологии и лечении инфекционных дерматозов. Подробно рассмотрены современные вопросы диагностики и терапии с учетом новых сведений. Включены фотографии из личных архивов авторов, которые послужат дополнительным справочным материалом.

    2 459 Р

  • Семь глав специальной части содержат описание оперативных методик, используемых при коррекции пролапса тазовых органов, недержания мочи и других оперативных вмешательствах, осуществляемых влагалищным доступом, — от ушивания пузырно-влагалищных свищей до лабиопластики. Подробно освещены вопросы подготовки пациенток к предстоящему вмешательству и организации операционной работы.

    5 708 Р

  • Цель руководства — помочь врачам интерпретировать и использовать на практике результаты лабораторных исследований, отражающих нарушения свертывания крови. В нем дано диагностическое значение лабораторных показателей, характеризующих функциональную активность и возможные патологические процессы тромбообразования и кровотечений, вероятных нарушений свертывания крови в практике терапевта, хирурга, гематолога, акушера-гинеколога, педиатра. Приведены клинические примеры интерпретации результатов диагностики и лечения нозологических форм. Руководство подготовлено для использования в повседневной медицинской практике.

    1 948 Р

  • Книга посвящена судебно-медицинской экспертной оценке неблагоприятных исходов заболеваний и неблагоприятных результатов оказания медицинской помощи по профилю «анестезиология и реаниматология»: проанализированы основные проблемы и предложены пути их решения; рекомендованы к использованию основные понятия и термины; приведены правовые нормы, регулирующие деятельность врача — анестезиолога-реаниматолога, привлекаемого для участия в проведении судебно-медицинской экспертизы; описан порядок проведения судебно-медицинской экспертизы и требования к выводам эксперта; рассмотрены и другие вопросы.

    1 868 Р

  • ​Руководство посвящено всем видам гистероскопии при различных гинекологических заболеваниях, таких как бесплодие, маточное кровотечение, аномалии мюллерова протока, миома матки и многие другие. Дано описание аппаратуры и инструментов, применяемых в настоящее время в медицинской практике. Рассмотрены возможные осложнения и противопоказания, описаны виды анестезии.

    2 430 Р

  • Особое внимание уделено органосберегающему хирургическому лечению миомы матки и аденомиоза. Последовательно изложены современные воззрения на предоперационную подготовку женщин, вопросы доступа, технические аспекты различных методик хирургического лечения. Приведены собственные данные авторского коллектива по различным вопросам хирургического лечения указанных заболеваний, начиная с предоперационной подготовки и заканчивая тактикой ведения пациенток в послеоперационном периоде.

    2 778 Р

  • Приведены данные о взаимном влиянии беременности и соматических заболеваний, ассоциированных или не ассоциированных с ней, а также аспекты организации медицинской помощи и маршрутизации беременных с экстрагенитальной патологией. Содержание книги. Заболевания сердечно-сосудистой системы и беременность. Особенности ведения и лечения беременных с железодефицитной анемией. Заболевания дыхательной системы и беременность. Заболевания пищеварительной системы и беременность...

    2 160 Р

  • В руководстве акцент сделан на лабораторных технологиях, позволяющих повысить эффективность выявления патогенной инфекции, приведено сравнение диагностической ценности лабораторных методов, особое внимание уделено секрету добавочных половых желез. На клинических примерах показаны результаты диагностики и порядок лечения основных нозологических форм заболеваний урогенитального тракта мужчин.

    1 891 Р

  • В книге рассмотрены практические аспекты ведения женщин с угрозой преждевременных родов, современные возможности коррекции истмико-цервикальной недостаточности, пути улучшения исходов преждевременных родов, особенности акушерской тактики и техники кесарева сечения при преждевременных родах, подходы к профилактике и лечению дистресс-синдрома новорождённых.

    3 419 Р

  • В атласе проанализированы особенности структурных изменений эндометрия в зависимости от способа наступления беременности, нюансы оценки абортивного материала, хромосомных аномалий трофобласта, анэмбрионии, пузырного заноса, хориокарциномы и обследования при эмбриональных потерях различного генеза.

    4 458 Р

  • В книге представлено описание лекарственных растений, используемых для оздоровления беременных, лечения гинекологических заболеваний и при осложнённом течении беременности и пуэрперия, приведён краткий перечень лекарственных растений. Содержание книги. Лечебные свойства растительных продуктов. Биологически активные добавки к пище. Фитогормоны — эстрогены и гестагены. Витамины. Фитонциды. Полисахариды. Пектины..

    4 100 Р

  • В книге представлены клинические случаи, наиболее часто встречающиеся и, возможно, сложные в практике врачей, занимающихся вспомогательными репродуктивными технологиями. Предлагается решение врачом той или иной клинической ситуации и анализ предложенного решения специалистом-экспертом с обоснованием и пояснением высказанной точки зрения.

    2 056 Р

  • В атласе описаны макроскопические признаки эндометриоза кишки, представлена классификация, адаптированная к практической деятельности специалистов, а также предпринята попытка расширить кругозор многих специалистов по указанной нозологии. Содержание книги. Колоректальный эндометриоз. Роль видеоколоноскопии и уточняющих эндоскопических технологий в диагностике колоректального эндометриоза. Морфологические аспекты глубокого колоректального эндометриоза. Оценка эффективности хирургического лечения

    4 849 Р

  • Книга по неотложным состояниям в гинекологии содержит сонографические данные и лапароскопические исследования, а также методы лечения и оценки в кризисной ситуации при оказании медицинской помощи. Большое количество иллюстраций, наглядных таблиц позволит шаг за шагом осваивать принципы диагностики и лечения. Комплексный подход поможет легкому усвоению материала и применению в клинической практике за счет тщательного рассмотрения аспектов лечения.

    4 902 Р

  • В книге описаны основные виды хронической тазовой боли и их причины, приведены классификация, клиническая картина, диагностика и лечение. ​В связи с многообразием причин и клинических проявлений хроническая тазовая боль является междисциплинарной проблемой, что обосновывает необходимость подготовки высококвалифицированных специалистов для обеспечения оказания качественной помощи этой категории пациентов.

    2 663 Р

  • Содержание книги. Беременность после злокачественных опухолей гинекологической локализации. Организационные стратегии, направленные на то, чтобы преодолеть препятствия к сохранению фертильности женщин в онкологической практике. Влияние системной противоопухолевой терапии на фертильность. Стимуляция яичников у женщин со злокачественными новообразованиями молочной железы.

    2 026 Р

  • Книга содержит свыше 1000 иллюстраций, около 300 таблиц. Книга охватывает широкий спектр вопросов по различным состояниям и нозологическим формам, содержит базовую современную информацию по диагностике, лечению и профилактике гинекологических заболеваний, встречающихся в работе акушера-гинеколога и смежных специалистов – хирургов, урологов, онкологов, эндокринологов.

    12 662 Р

  • В книге современные сведения по ряду актуальных проблем - репродуктивным технологиям, дородовым осложнениям, патологическим состояниям при родоразрешении, анестезиологическим пособиям при хирургических родах, врожденным заболеваниям и их влиянию на состояние и развитие плода и новорожденного, инфекционным заболеваниям и другим вопросам.

    3 282 Р

  • Содержание книги. Туберкулез мужских половых органов. Туберкулез предстательной железы. Туберкулез наружных половых органов мужчин. Туберкулез полового члена. Туберкулез половых органов мужчин как причина репродуктивных нарушений. Туберкулез женских половых органов. Туберкулез и беременность. Туберкулез как заболевание, передающееся половым путем

    2 597 Р

  • В книге подробно описаны методики проведения эластографии различных внутренних и поверхностно расположенных органов, принципы интерпретации результатов, факторы, влияющие на конкретный результат и эффективность, корректность и воспроизводимость количественных и качественных показателей эластографии. Книга предназначена для практикующих врачей ультразвуковой диагностики, как для начинающих, так и для специалистов со стажем

    5 572 Р

  • В книге рассмотрены особенности строения и функции мочевыводящих путей вне и во время беременности, а также вопросы этиологии, патогенеза, факторов риска, эпидемиологии, клинической картины, диагностики, профилактики и лечения цистита у беременных. Содержание книги. Методы исследования и диагностика цистита. Дифференциальная диагностика. Возможности скрининга для выявления заболевания. Симптоматика и клиническое течение цистита при беременности.Лечение и профилактика цистита у беременных

    1 936 Р

  • Книга включает теоретическую часть по всему курсу гистологии (общая и частная гистология, эмбриология и цитология). Подробно проиллюстрировано схемами по указанным разделам дисциплины, цветными микрофотографиями, электронограммами. Материал подан в удобной для изучения, доступной, сжатой форме и необходимом объеме в соответствии с федеральным государственным образовательным стандартом. Книга облегчит изучение дисциплины при подготовке к практическим занятиям, диагностикумам, экзамену в условиях недостатка времени.

    6 627 Р

  • Книга содержит общие принципы обследования, лечения и наблюдения девочек с различной патологией органов репродуктивной системы. Содержит информацию о формировании половых органов в норме и при пороках развития влагалища, матки и яичников, а также об особенностях формирования половых органов девочек-подростков, беременности и родах у несовершеннолетних, коммуникации и некоторых юридических аспектах работы с детьми и подростками.

    6 910 Р

  • В руководстве представлены обновленные данные об особенностях патогенеза акушерских и перинатальных осложнений, систематизированы сведения об алгоритмах ведения беременности, родов, послеродового периода, изложены современные подходы к диагностике и лечению нарушений углеводного обмена, описаны эндокринологические аспекты различных типов сахарного диабета у женщин, рассмотрен ряд клинических случаев.

    3 647 Р

  • Содержание книги. Иммунопатогенетические механизмы формирования наружного генитального эндометриоза. Хроническая тазовая боль при эндометриозе. Лечение эндометриоз-ассоциированной боли. Эндометриоз-ассоциированное бесплодие. Подходы к лечению эндометриоз-ассоциированного бесплодия. Медикаментозное лечение эндометриоз-ассоциированного бесплодия

    2 694 Р

  • Предложены алгоритмы обследования и лечения пациенток в зависимости от степени выраженности патологического процесса с учетом онкологической настороженности. Изложены результаты комплексного обследования с применением современных методов диагностики более 300 пациенток с эндометриозом и раком яичников.

    3 745 Р

  • Системный анализ отечественных и зарубежных работ, рабочая классификация фетальных нарушений сердечного ритма, удобная для практикующих врачей-акушеров, и алгоритм акушерской тактики ведения пациенток с фетальной аритмией и малыми аномалиями развития сердца плода. Проанализированы основные тенденции и определена значимость проблемы фетальной аритмии и малых аномалий развития сердца плода.

    1 741 Р

  • Содержание книги. Робот-ассистированная радикальная простатэктомия у пациентов с раком предстательной железы высокого риска. Анатомия и физиология удержания мочи и эректильной функции. Удержание мочи и контролируемое мочеиспускание у пациентов после перенесенной роботассистированной радикальной простатэктомии. Онкологические и функциональные результаты радикальной простатэктомии

    9 990 Р

  • На основании сравнительного анализа эффективности психофармакотерапии депрессии в рамках биполярного аффективного расстройства у женщин и мужчин разработаны рекомендации по купирующей терапии и установлены риски развития инверсии фазы при применении различных антидепрессантов. В руководстве изложены данные отечественной и зарубежной литературы по различным аспектам депрессии у женщин, а также результаты авторских исследований клинических особенностей рекуррентной депрессии и депрессии в рамках биполярного аффективного расстройства у женщин по сравнению с мужчинами.

    2 611 Р

  • Содержание книги. Аденомы гипофиза. Гиперплазия гипофиза. Гипофизиты и инфильтративные поражения аденогипофиза и гипофизарной ножки. Злокачественные и агрессивные опухоли гипофиза. Краниофарингиома. Гипофизарные кисты и кисты кармана Ратке. Синдром пустого турецкого седла. Заболевания нейрогипофиза. Основные принципы нейрохирургического лечения и лучевой терапии. Лабораторные исследования в эндокринологии и ошибки в интерпретации лабораторных данных

    7 472 Р

  • Книга по решению проблем современной гинекологии – тазовой боли, обусловленной эндометриозом. Изложены современные сведения о тазовой боли при эндометриозе, путях прогнозирования и улучшения ранней диагностики, а главное – о дифференцированном выборе лечебных средств и физических факторов для оздоровления пациенток.

    3 027 Р

  • Подробно освещены вопросы диагностики, применения токолитиков, определения хорионического хориоамнионита, лечения бактериального вагиноза, лечебно-диагностической роли амниоцентеза, лечения преждевременного разрыва плодных оболочек, а также плацентарной патологии. Подчеркнуто, что региональные протоколы Японии привели к значительному снижению частоты преждевременных родов; несомненно, этот опыт заслуживает изучения и в нашей стране.

    3 363 Р

  • Руководство дает общие представления о патофизиологии кровопотери, систематизирует клинические сценарии от хронической до сверхмассивной острой кровопотери. Содержание книги. Предоперационный период. Интраоперационный период. Острая кровопотеря. Послеоперационный период. Алгоритмы терапии в определенных областях. Алгоритм применения мер, используемых на разных этапах периоперационного периода

    2 533 Р

  • Содержание книги. Клинический подход к диагностике и лечению инфекций, передаваемых половым путем. Лабораторная диагностика инфекций, передаваемых половым путем. Донованоз (паховая гранулема, венерическая гранулема). ВИЧ/СПИД. Гепатиты. Генитальная герпесвирусная инфекция. Папилломавирусная инфекция. Лобковый педикулез. Воспалительные заболевания органов малого таза.

    1 694 Р

  • ЗРП является одним их тех патологических состояний, которые требуют интенсивного наблюдения как в дородовом периоде, так и после родов. Даны рекомендации по ведению и родоразрешению пациенток с задержкой роста плода. Учебное пособие предназначено для интернов, ординаторов и врачей, обучающихся в системе дополнительного образования по специальности «акушерство и гинекология», и врачей смежных специальностей.​

    1 557 Р

  • Рассмотрены современные данные о патогенезе и клинической картине эндокринных нарушений в зависимости от возрастных аспектов, представлены методы диагностики, актуальные принципы и методы терапии различной патологии эндокринной и репродуктивной систем. Даны основы подбора контрацепции и менопаузальной гормональной терапии с учетом сопутствующих эндокринных расстройств.

    3 874 Р

  • В руководстве представлена информация о современных гормональных исследованиях, необходимых для оценки физиологии репродуктивной системы, функции щитовидной железы, эндокринной функции поджелудочной железы, жировой ткани, надпочечников, а также метаболизма костной ткани. В краткой форме изложены сведения о структуре, биологических эффектах, об изменениях секреции гормонов в зависимости от возраста женщины, фазы менструального цикла и при различных патологических состояниях. Для удобства практического применения в каждом разделе приведены клинические примеры.

    2 892 Р

  • Книга содержит подробную информацию о настройке и эксплуатации уродинамического оборудования, организационных вопросах уродинамических лабораторий, а также общих проблемах и сложностях. Главы книги охватывают все – от повседневной практики до сложных случаев, дополнены полезными иллюстрациями и атласом.

    4 467 Р

  • Содержание книги.Ведение беременности при сердечно-сосудистой патологии.Анемии у беременных. Инфекции мочевыводящих путей у беременных. Заболевания дыхательной системы и беременность.Заболевания желудочно-кишечного тракта и гепатобилиарной системы.Заболевания эндокринной системы у беременных.

    2 640 Р

  • Представлены современные данные о патогенезе, методах диагностики и лечения различных причин женского бесплодия, основные принципы прегравидарной подготовки, профилактики ранних потерь беременности, вспомогательных репродуктивных технологий. Отражены методики эффективной репродуктивной хирургии с учетом более чем 30-летнего опыта авторов, а также приведены клинические примеры из практики.

    2 955 Р

  • Описаны различные методы обеспечения проходимости сосудов при их обструкции, а также способы эндоваскулярной остановки кровотечения. Акцент сделан на ургентных ситуациях связанных в том числе с травмой. В разделе, посвященном анестезиологическому обеспечению эндоваскулярных вмешательств, проанализированы способы защиты больного от хирургического стресса и рассмотрен мониторинг состояния больного во время вмешательства.

    3 081 Р

  • Справочник освещает широкий круг проблем (от гормональной контрацепции и стерилизации до гинекологической онкологии), многообразие патологических состояний, с которыми сталкивается в своей практической деятельности врач-гинеколог, методов их диагностики и лечения. Наряду с этим, информационная насыщенность книги предполагает, что в ней смогут получить полноценную справку и тематические рекомендации врачи других специальностей.

    2 150 Р

  • Книга охватывает молекулярное, клеточное и генетическое направления и показывает их актуальность в патофизиологии, диагностике и терапии. Затронуты такие ключевые темы, как роль генетики, факторы окружающей среды в репродуктивной эндокринологии и последние достижения в проведении хирургических процедур. Книга снабжена полноцветными иллюстрациями высокого качества с изображениями основных анатомических структур, эндокринных процессов, функций и дисфункций клеток.

    10 980 Р

  • Содержание книги. Классификации заболеваний шейки матки. Скрининг рака шейки матки. Методы первичной и уточняющей диагностики заболеваний шейки матки. Варианты доброкачественных заболеваний шейки матки. Предраковые заболевания шейки матки. Лечебная тактика при плоскоклеточных интраэпителиальных поражениях

    1 660 Р

  • Атлас состоит из 23 глав, в которых изложены современные сведения о методах морфологических исследований, строении и функциях клеток, тканей и органов в рамках курса цитологии, общей и частной гистологии. Традиционные данные по цитологии и гистологии дополнены развернутой информацией по биохимии и молекулярной биологии и сопровождаются многочисленными иллюстрациями. Во всех главах приведены сведения о медицинском значении представленных данных. В конце каждой главы содержится краткий обзор основных данных, а также вопросы для самоконтроля знаний.

    7 905 Р

  • Содержание книги. Второй этап обследования. Первичная аменорея, отсутствие развитых молочных желез и наличие матки. Первичная аменорея, отсутствие развитых молочных желез и матки. Вторичная аменорея. Вторичная аменорея с предрасполагающим анамнезом (функция яичников нарушена). Азооспермия. Азооспермия, повышенный уровень фолликулостимулирующего гормона, сниженный (нормальный) уровень тестостерона.

    2 060 Р

  • В книге изложены основные сведения о физиологии системы гемостаза и этиопатогенезе ВТЭО. Приведены данные современной отечественной и зарубежной литературы, результаты собственных исследований о частоте ВТЭО в послеродовом периоде и факторах риска их развития. Особое внимание уделено вопросам профилактики и лечения ВТЭО в послеродовом периоде.

    1 626 Р

Написать комментарий

Ваш email будет скрыт и не опубликуется в отзыве. Ваши данные не будут переданы третьим лицам.