Хронический лимфолейкоз. Лабораторная диагностика. Лекция для врачей
Лекция для врачей "Хронический лимфолейкоз. Лабораторная диагностика" (отрывок из книги "Атлас по гематологии" - Тэмл Х., Диам Х., Хаферлах Т.)
Хронический лимфолейкоз (ХЛЛ)
Диагноз хронической лимфаденомы или хронического лимфолейкоза в клинической практике чаще всего не представляет трудности. ХЛЛ и его варианты встречаются у пациентов (обычно пожилые люди) с увеличенными лимфатическими узлами, значительным лимфоцитозом (в 60% случаев - более 20 000/мкл, и в 20% случаев - более 100 000/мкл) при отсутствии симптомов, указывающих на причину реактивного состояния крови. Клетки лимфомы относительно мелкие, с плотным и грубым ядерным хроматином. Узкий слой голубой цитоплазмы не содержит гранул. Тени, встречающиеся в препарате, являются артефактом, появляющимся в результате фрагментации хроматина ядра лимфоцитов в момент приготовления мазка крови (ядерная тень Гумпрехта). Для подтверждения диагноза и доказательства наличия моноклона В-лимфоцитов необходимо подтвердить присутствие В-клеточных маркеров на циркулирующих лимфоцитах. Трансформированные лимфоциты расселяются повсюду в костном мозге и лимфатических узлах. Важным признаком нарушения функции В-лимфоцитов является постепенно развивающаяся гипогаммаглобулинемия.
Изредка наблюдается трансформация ХЛЛ в генерализованную крупноклеточную лимфому (синдром Рихтера) или В-пролимфоцитарный лейкоз с его уникальной симптоматикой. Приблизительно 55% лимфоцитов в циркулирующей крови имеют большие нуклеолы в центре ядер. Диагноз атипичного ХЛЛ или трансформации ХЛЛ в пролимфоцитарный лейкоз подтверждается, если 15-55% лимфоцитов крови составляют пролимфоциты. При небольшом числе случаев заболеваний, подобных ХЛЛ, клетки содержат более широкую цитоплазму. Согласно Кильской классификации, такая форма В-ХЛЛ определена как лимфоплазмоцитарная иммуноцитома. Согласно классификации ВОЗ - это вариант В-ХЛЛ (лимфоплазмоцитарный лейкоз, с. 88). ХЛЛ из Т-лимфоцитов встречается очень редко. Клетки содержат ядра с инвагинациями, иногда с четкими ядрышками (Т-пролимфоцитарный лейкоз). Лейкемическая фаза Т-лимфоцитарной лимфомы, поражающей кожу, известна как синдром Сезари. Клеточные элементы при этом синдроме подобны таковым при Т-пролимфоцитарном лейкозе.
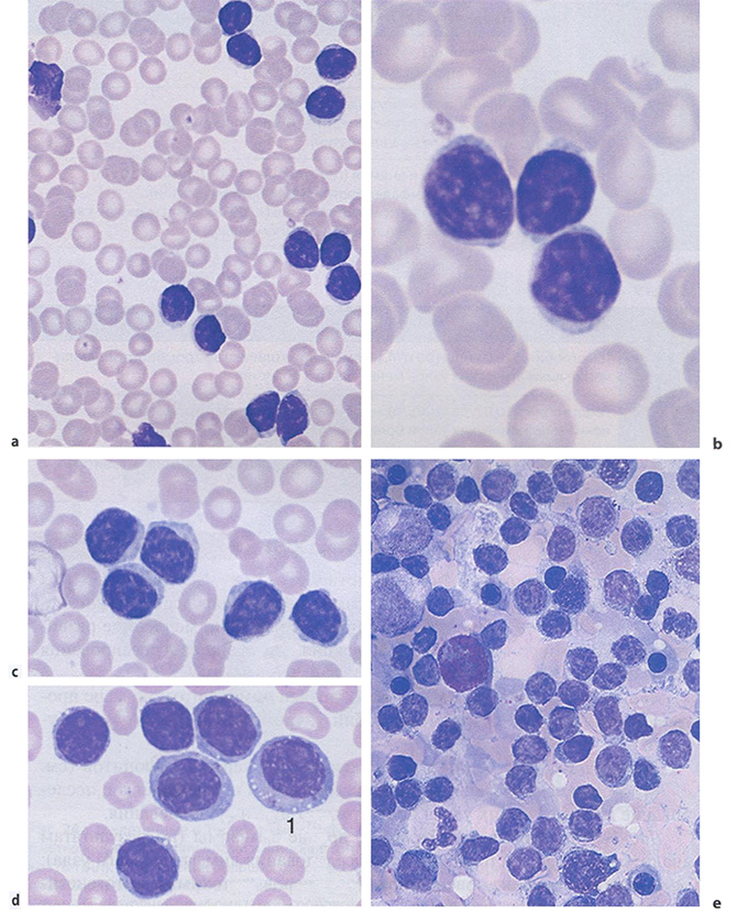
Хронический лимфолейкоз (ХЛЛ) характеризуется пролиферацией мономорфных малых лимфоцитов

Рис. 23 ХЛЛ. а Наблюдаемая при ХЛЛ выраженная пролиферация мономорфных лимфоцитов с плотными по структуре ядрами. Часто встречаются тени ядер - результат повышенной деструкции клеток (увеличение *400). Ь Лимфоциты при ХЛЛ с типично грубой структурой хроматина и узким слоем цитоплазмы (увеличенный фрагмент поля зрения 23а, увеличение *1000), могут быть едва заметные ядрышки, с Несколько более широкая и эксцентричная цитоплазма при лимфоплазмоцитарном варианте ХЛЛ.
Рис. 23 d Пролиферация атипичных больших лимфоцитов (1) с неравномерно структурированными ядрами, четкими ядрышками и широкой цитоплазмой (атипичный ХЛЛ или трансформация ХЛЛ в ПЛЛ). е Цитологический препарат костного мозга при ХЛЛ: всегда наблюдается выраженная пролиферация типичных малых лимфоцитов, которые располагаются диффузно.
Вы читали отрывок из книги "Атлас по гематологии" - Тэмл Х., Диам Х., Хаферлах Т.
Купить книгу "Атлас по гематологии" - Тэмл Х., Диам Х., Хаферлах Т. в интернет-магазине shopdon.ru
Дополнительный материал
Лимфомы, сопровождающиеся спленомегалией. Лабораторная диагностика
Острые лейкозы (лейкемии). Лабораторная диагностика
Тромбоцитопения. Аномалии тромбоцитов. Лабораторная диагностика
Книга "Атлас по гематологии"
Авторы: Тэмл Х., Диам Х., Хаферлах Т.

В атласе рассмотрена морфология клеток крови в норме и при различных патологических состояниях. В нем также содержатся элементарные сведения по выполнению и трактовке результатов цитологического исследования костного мозга, лимфатических узлов, других органов и тканей. Атлас иллюстрирован информативными микрофотографиями, которые сопровождаются пояснениями, основанными на современных принципах и критериях морфологической классификации.
Нозология и дифференциальная диагностика болезней системы крови нашли свое отражение в соответствующих таблицах. Структура представленного в атласе материала базируется на системном подходе к различным разделам лабораторной гематологии.
Издание будет полезно врачам-лаборантам, врачам общей практики и студентам медицинских вузов старших курсов.
Купить книгу "Атлас по гематологии" - Тэмл Х., Диам Х., Хаферлах Т. в интернет-магазине shopdon.ru
Содержание книги "Атлас по гематологии" - Тэмл Х., Диам Х., Хаферлах Т.
Цели и задачи
Схема изложения и структура построения атласа
Инструкция по использованию атласа.
Благодарности
Физиология и патофизиология клеток крови.
Лабораторные методы и тесты
Введение в физиологию и патофизиологию системы кроветворения
Клеточные системы
Принципы регуляции и дизрегуляции системы крови и их диагностическое значение
Методы, материал для исследований, нормальные значения показателей лабораторных тестов
Взятие проб крови
Подсчет количества эритроцитов
Определение гемоглобина и гематокрита
Определение параметров эритроцитов
Распределение эритроцитов по объему (RDW анизотропии эритроцитов)
Подсчет количества ретикулоцитов
Подсчет количества лейкоцитов
Подсчет количества тромбоцитов
Нормальные значения содержания клеточных компонентов крови
Мазок крови и его интерпретация (дифференциальный подсчет клеток)
Использование гематологических анализаторов для оценки морфологической картины крови
Биопсия костного мозга
Биопсия лимфоузла и биопсия опухоли
Этапы диагностического исследования
Клетки крови и гемопоэтических органов в норме.
Клетки гемопоэза
Клетки-предшественники эритропоэза: проэритробласты и базофильные эритробласты
Созревающие клетки-предшественники красного ряда: полихроматофильные и оксифильные эритробласты (нормобласты) и ретикулоциты
Клетки-предшественники гранулоцитов: миелобласты и промиелоциты
Созревающие клетки-предшественники гранулоцитов: миелоциты и метамиелоциты
Зрелые нейтрофилы: палочкоядерные и сегментоядерные нейтрофилы
Дегенеративные изменения клеток, патологическая зернистость, ядерные «придатки» в нейтрофильных гранулоцитах и ядерные аномалии.
Эозинофильные гранулоциты (эозинофилы)
Базофильные гранулоциты (базофилы)
Моноциты
Лимфоциты и плазматические клетки
Мегакариоциты и тромбоциты
Костный мозг: клеточный состав и принципы исследования
Костный мозг: клетки стромы костного мозга
Аномалии клеток белого ряда
Преобладание мононуклеаров с ядрами круглой или овальной формы
Реактивный лимфоцитоз
Инфекционный мононуклеоз как пример чрезвычайно выраженной
стимуляции лимфоцитов
Заболевания лимфоидной системы (неходжкинские лимфомы)
Дифференциация лимфоидных клеток и клеток НХЛ с помощью выявления экспрессии поверхностных маркеров
Хронический лимфолейкоз (ХЛЛ) и его варианты
Купить книгу "Атлас по гематологии" - Тэмл Х., Диам Х., Хаферлах Т. в интернет-магазине shopdon.ru
Лимфоплазмоцитарная лимфома
Лимфомы, факультативно протекающие с лейкемизацией (например, лимфома из клеток мантийной зоны и фолликулярная лимфома)
Лимфомы, обычно сопровождающиеся спленомегалией (например, волосатоклеточный лейкоз и лимфома селезенки из ворсинчатых лимфоидных клеток)
Моноклональная гаммапатия (гипергаммаглобулинемия), множественная миелома, плазмоклеточная миелома, плазмоцитома
Морфологические варианты плазмоцитомы
Относительные лимфоцитозы при гранулоцитопении (нейтропении) и агранулоцитозе
Классификация нейтропений и агранулоцитозов
Моноцитоз
Острые лейкозы (лейкемии)
Морфологическая и цитохимическая идентификация клеток
Острые миелоидные лейкозы (ОМЛ).
Острый эритролейкоз (тип М6 по ФАБ-классификации)
Оcтрый мегакариобластный лейкоз (тип М7 по ФАБ-классификации)
ОМЛ с дисплазией
ОМЛ с гипоплазией
Острый лимфобластный лейкоз (ОЛЛ)
Миелодисплазия (МДС)
Увеличение количества полунуклеарных (сегментоядерных) клеток
Нейтрофилез без сдвига влево
Реактивный сдвиг влево
Хронический миелолейкоз и миелопролиферативные синдромы (хронические миелопролиферативные заболевания, ХМПЗ)
Этапы диагностики хронического миелолейкоза
Бластный криз при хроническом миелолейкозе
Остеомиелосклероз
Увеличение количества эозинофилов и базофилов
Аномалии эритроцитов и тромбоцитов.
Клиническая классификация анемий по среднему содержанию гемоглобина в эритроците (МСН)
Гипохромные анемии
Железодефицитная анемия
Гипохромные анемии при инфекциях или интоксикациях (вторичные анемии)
Цитологическое исследование костного мозга при диагностике гипохромных анемий
Гипохромные сидероахрестические анемии (нормохромные или гиперхромные)
Гипохромная гемолитическая анемия
Талассемии
Нормохромные анемии
Нормохромные гемолитические анемии
Цитоморфологическая характеристика анемий с аномалиями эритроцитов
Нормохромная почечная анемия (гипохромная или гиперхромная)
Аплазия костного мозга
Парциальная красноклеточная аплазия (ПКА, эритробластопения)
Аплазия всех рядов костного мозга (панмиелопатия, панмиелофтиз, апластическая анемия).
Карциноматоз костного мозга и другие метапластические процессы
Гиперхромные анемии
Включения в эритроцитах
Гематологический диагноз малярии
Истинная полицитемия (эритремическая полицитемия) и эритроцитозы
Аномалии тромбоцитов
Тромбоцитопения
Тромбоцитопении вследствие повышенной потребности в тромбоцитах
Тромбоцитопении вследствие сниженной продукции тромбоцитов
Тромбоцитозы (в том числе эссенциальная тромбоцитемия)
Эссенциальная (идиопатическая) тромбоцитемия
Цитологическое исследование биоптатов органов и экссудатов
Цитологическое исследование лимфатического узла
Реактивная гиперплазия лимфатического узла и лимфогранулематоз (болезнь Ходжкина)
Саркоидоз и туберкулез
Неходжкинская лимфома
Метастазы солидных опухолей в лимфатические узлы или подкожные ткани
Бранхиогенные кисты и бронхоальвеолярный лаваж
Бранхиогенные кисты
Цитологическое исследование органов дыхания, в частности бронхоальвеолярный лаваж
Цитологическое исследование плевральных выпотов и асцитической жидкости.
Цитологическое исследование цереброспинальной жидкости
Купить книгу "Атлас по гематологии" - Тэмл Х., Диам Х., Хаферлах Т. в интернет-магазине shopdon.ru
0 комментариев