Все лекции для врачей удобным списком

Эхографические признаки фибромиомы (выраженный фиброзный компонент в узле) матки. Протокол УЗИ

Поделиться:

Название и адрес медицинского центра

_______________________________________________________

Ультразвуковое исследование

Контрон СИГМА 210, ирис. Электронные линейный датчик 7,5 МГц и конвексный - 3,5 МГц (название ультразвукового оборудования)

Врач ______________________________________

Пациент __________________________________

Исследование № ____________ от __.__.____

Исследуемый орган______________________


Протокол ультразвукового исследования матки с придатками

(образец протокола УЗИ ультразвукового описания патологии эхоструктуры матки с придатками)

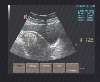
Матка для протокола УЗИ

Эхографические признаки фибромиомы (выраженный фиброзный компонент в узле) матки.

Матка 81 х 70 х 48 мм., anteflexio, грушевидной формы, типичного расположения, контуры ровные, миометрий изоэхогенный, неоднородный за счёт гиперэхогенного очага в миометрии верхней половины матки размерами 47 х 38 х 36 мм. с ровными гипоэхогенными границами, однородного внутреннего строения; полость щелевидная, в проекции просвета дополнительных эхоструктур не лоцировано, эндометрий 10 мм. толщиной, изоэхогенный, однородный.

Правый яичник 30 х 19 мм., овальной формы, типичного расположения, контуры ровные, гипоэхогенный, дифференциация слоёв умеренно выражена, в коре 3 фолликула диам. 3 – 7 мм..

Левый яичник полностью прикрыт тенью кишечника.

Заключение

Эхографические признаки фибромиомы (выраженный фиброзный компонент в узле) матки.


Ультразвуковая диагностика не является основным методом и требует подтверждения диагноза другими методами обследования.


Подпись__________________________

Все протоколы УЗИ патология и норма

Купить профессиональную медицинскую литературу по УЗИ диагностике в интернет-магазине shopdon.ru

Купить профессиональную медицинскую литературу по УЗИ диагностике в интернет-магазине  shopdon.ru

Купить профессиональную медицинскую литературу по УЗИ диагностике в интернет-магазине shopdon.ru

Книга "Практическое руководство по ультразвуковой диагностике. Общая ультразвуковая диагностика" - В. В. Митьков

Купить книгу "Практическое руководство по ультразвуковой диагностике. Общая ультразвуковая диагностика" - В. В. Митьков

Фундаментальное клиническое руководство подготовлено коллективом ведущих специалистов ультразвуковой диагностики. В книге представлены разделы, посвященные ультразвуковым диагностическим системам, физическим принципам ультразвуковой диагностики, ультразвуковой диагностике заболеваний печени, желчевыводящей системы, поджелудочной железы, пищевода, желудка, кишечника, селезенки, почек, мочевого пузыря, предстательной железы и семенных пузырьков, надпочечников, органов мошонки, лимфатической системы, молочных, щитовидной, околощитовидных и слюнных желез, органов грудной клетки.
Книга предназначена для врачей ультразвуковой диагностики, рентгенологов, радиологов, терапевтов, гастроэнтерологов, эндокринологов, хирургов, урологов, и всех заинтересованных специалистов.

Купить книгу "Практическое руководство по ультразвуковой диагностике. Общая ультразвуковая диагностика" - В. В. Митьков

Книга "Эхография в гинекологии" - Озерская И. А.

Купить книгу "Эхография в гинекологии" - Озерская И. А.

В 3 издании монографии «Эхография в гинекологии» рассмотрены все основные вопросы ультразвуковой диагностики в гинекологии, с которыми ежедневно сталкивается врач, обследующий органы малого таза у женщин в амбулаторной практике и гинекологическом стационаре. Внесены дополнения результатов собственных научных исследований, а также опыта работы ведущих лабораторий мира и нашей страны за последнее время. Особое внимание уделено вопросам стандартизации при обследовании миометрия, эндометрия и яичников, основанных на рекомендациях групп международных экспертов. Написаны новые главы, посвященные послеродовому периоду в норме и при осложнениях, ультразвуковому мониторингу при проведении аборта как медикаментозного, так и путем вакуум-аспирации, а также послеабортным и послеоперационным осложнениям, включая проблему рубца на матке.
Каждая глава состоит из небольшого этио-патогенетического раздела, подробно освещены вопросы эхографической диагностики, включая данные цветового картирования, допплерометрии, новых, недостаточно распространённых методик и дифференциально-диагностические критерии. Каждая глава иллюстрирована большим количеством эхограмм как типичного, так и нетипичного изображения рассматриваемой патологии. Определены диагностические возможности эхографии, цветового картирования и допплерометрии во всех рассматриваемых разделах гинекологии. Представлены новые направления диагностики и лечения, внедряемые в гинекологическую практику в течение последних лет. В приложение включены таблицы всех нормативных параметров, предложены протоколы ультразвукового исследования органов малого таза и проведения эхогистеросальпингоскопии.
Книга рассчитана на врачей ультразвуковой диагностики, гинекологов, акушеров, онкогинекологов, хирургов и врачей смежных специальностей.

Купить книгу "Эхография в гинекологии" - Озерская И. А.

Книга "Эхокардиография от Рыбаковой" - М. К. Рыбакова, В. В. Митьков

Купить книгу "Эхокардиография от Рыбаковой" - М. К. Рыбакова, В. В. Митьков

Данное издание представляет собой практическое руководство по эхокардиографии, в котором отражены все современные технологии, применяемые в настоящее время. Исключительный интерес для специалистов представляет CD-ROM с подборкой видеоклипов по всем основным разделам, включающих редкие случаи диагностики.

Особенность издания - попытка объединить и сравнить результаты эхокардиографического исследования сердца и паталогоанатомический материал по всем основным разделам.
Большой интерес представляют разделы, содержащие новые технологии исследования, такие как трех- и четырехмерная реконструкция сердца в реальном времени, тканевая допплерография. Большое внимание уделено также классическим разделам эхокардиографии – оценке легочной гипертензии, клапанных пороков сердца, ишемической болезни сердца и ее осложнений и т.д.

В книге представлены огромный иллюстративный материал, большое количество схем и рисунков, приведены алгоритмы тактики проведения исследования и диагностики по всем разделам эхоКГ.
Руководство помогает разрешить спорные и злободневные вопросы, позволяет ориентироваться в расчетах и измерениях, содержит необходимую справочную информацию.
Книга написана сотрудниками кафедры ультразвуковой диагностики ГБОУ ДПО «Российская медицинская академия последипломного образования'' Министерства здравоохранения Российской Федерации» (база – ГКБ им. С.П. Боткина, Москва).

Издание предназначено для специалистов эхокардиографии, врачей ультразвуковой и функциональной диагностики, кардиологов и терапевтов.

Купить книгу "Эхокардиография от Рыбаковой" - М. К. Рыбакова, В. В. Митьков

Книга "УЗИ в акушерстве и гинекологии. Том 1 Акушерство" - Мерц Эберхард

Купить книгу "УЗИ в акушерстве и гинекологии. Том 1 Акушерство" - Мерц Эберхард

Данное издание является наиболее полным иллюстрированным руководством по ультразвуковой диагностике в акушерстве и гинекологии.

Авторы постарались охватить все известные на сегодняшний день режимы УЗИ, но тем не менее основной акцент делается на наиболее доступных методиках, технике, глубоком анализе результатов. Результаты ультразвуковых исследований приводятся в тесной корреляции с клиническими и лабораторными данными, что значительно повышает ценность диагностической информации и формирует у врача клиническое мышление. Первый том посвящен УЗИ в акушерстве.

Рассматриваются ультразвуковые параметры матери и плода на разных сроках гестации, различные варианты патологии беременности.

Отдельные главы посвящены ультразвуковой допплерографии и трехмерному УЗИ в режиме реального времени, ультразвуковой поддержке инвазивных диагностических и лечебных процедур. В приложении дается подробная справочная фетометрическая информация.

Книга предназначена для акушеров-гинекологов, специалистов по ультразвуковой диагностике женских консультаций и акушерских стационаров, студентов медицинских вузов и факультетов.

Купить книгу "УЗИ в акушерстве и гинекологии. Том 1 Акушерство" - Мерц Эберхард

Книга "Ультразвуковая диагностика в акушерстве и гинекологии: в 2 томах. Том 2. Гинекология" - Мерц Эберхард

Купить книгу "Ультразвуковая диагностика в акушерстве и гинекологии: в 2 томах. Том 2. Гинекология" - Мерц Эберхард

Данное издание является наиболее полным иллюстрированным руководством по ультразвуковой диагностике в акушерстве и гинекологии. Авторы постарались охватить все известные на сегодняшний день режимы УЗИ, но тем не менее основной акцент делается на наиболее доступных методиках, технике, глубоком анализе результатов. Результаты ультразвуковых исследований приводятся в тесной корреляции с клиническими и лабораторными данными, что значительно повышает ценность диагностической информации и формирует у врача клиническое мышление.

Второй том посвящен проблемам ультразвуковых исследований в гинекологической практике: УЗ-анатомии здоровой женщины, порокам развития и заболеваниям женского полового тракта. Отдельные главы посвящены трансвагинальному и трансректальному методам исследования, а также УЗИ молочных желез.

Книга предназначена для акушеров-гинекологов, специалистов по ультразвуковой диагностике женских консультаций и акушерских стационаров, студентов медицинских вузов и факультетов.

Купить книгу "Ультразвуковая диагностика в акушерстве и гинекологии: в 2 томах. Том 2. Гинекология" - Мерц Эберхард

Книга "Основы ультразвукового исследования сосудов" - В. П. Куликов

Купить книгу "Основы ультразвукового исследования сосудов" - В. П. Куликов

Руководство «Основы ультразвукового исследования сосудов» предназначено для тех, кто хотел бы получить по возможности краткую, но достаточно полную и главное практически полезную информацию по ультразвуковой диагностике сосудистой патологии. Автор, профессор Куликов Владимир Павлович, известен специалистам по первой в России книге, посвященной дуплексному сканированию сосудов, и руководству для врачей по ультразвуковой диагностике сосудистых заболеваний.
В Руководстве представлены важнейшие сведения о технике исследования, ультразвуковых критериях нормы и патологии кровеносных сосудов, основанные на международных согласительных документах и практическом опыте работы автора. Особое внимание уделено стандартизации техники, объема и терминологии описания ультразвукового исследования сосудов.
Книга предназначена для врачей ультразвуковой и функциональной диагностики, сосудистых хирургов, неврологов и кардиологов, а так же для студентов и врачей, обучающихся по программам ультразвукового исследования сосудов.

Купить книгу "Основы ультразвукового исследования сосудов" - В. П. Куликов

Интернет-магазин медицинской литературы

Бесплатные лекции для врачей. Удобным списком

Похожие материалы

Купить медицинскую литературу по УЗИ в магазине shopdon.ru


  • Учебное пособие для неврологов, педиатров, врачей общей практики и реабилитологов, посвященное аномалиям сосудов вертебрально-базилярного бассейна. В книге разобраны эмбриогенез и варианты развития артерий, дебит мозгового кровообращения, возможности прижизненной диагностики, клиника острых и хронических нарушений, лечебная тактика, реабилитация и экспертиза трудоспособности.

    3 996 Р

  • Учебно-методическое пособие по чрескожным и эндобилиарным вмешательствам в общей хирургии помогает врачу освоить биопсию очаговых образований, дренирование абсцессов, склерозирование кист, вмешательства при механической желтухе, деструктивном холецистите и панкреатите. Книга полезна хирургам, специалистам по УЗИ и рентгенохирургическим методам диагностики и лечения.

    4 274 Р

  • Книга для акушеров-гинекологов и врачей, занимающихся болезнями молочных желёз, помогает связать маммологию с репродуктивным здоровьем женщины. В издании разобраны лактация и грудное вскармливание, доброкачественные заболевания молочных желёз, единый маммологический и гинекологический скрининг, гормональные и обменные факторы риска, лечение масталгии, мастопатии и сопутствующих состояний.

    5 613 Р

  • Врожденные пороки сердца у детей: диагностика и лечение для врачей — руководство по эмбриологии сердца, фетальному кровообращению, патофизиологии, клинике, осложнениям и современным методам кардиохирургической коррекции. Книга помогает врачу ориентироваться в основных врожденных сердечных аномалиях у новорожденных и детей старшего возраста, а также в принципах наблюдения и контроля.

    9 260 Р

  • Иллюстрированный атлас по диагностике детских хирургических заболеваний: антенатальная диагностика, патологии новорожденных, болезни головы и шеи, грудной клетки, брюшной полости, мочевыводящих путей, гинекологические патологии, травмы, сосудистые и мягкотканные аномалии. Подойдет детским хирургам, неонатологам, урологам, травматологам, ординаторам и врачам смежных специальностей.

    12 870 Р

  • Руководство по ультразвуковой диагностике патологии коленного сустава: анатомия, возможности метода, техника исследования, оценка суставных поверхностей, связок, сухожилий, менисков, кисты Бейкера, артритов и опухолей. Разбор синовита и внутрисуставной жидкости, околосуставных нервов и инфрапателлярной зоны, а также инвазивных вмешательств под контролем УЗИ. Включены современные алгоритмы и примеры интерпретации эхограмм.

    4 756 Р

  • Руководство по УЗИ в маммологии: анатомия, методика исследования и семиотика доброкачественных и злокачественных образований молочных желез. Рассмотрены этиология, морфология и классификация опухолей. Освещены неопухолевые и воспалительные заболевания, дифференциальная диагностика, компрессионная эластография и стадирование по TNM. Для врачей лучевой диагностики и специалистов по маммологии.

    4 034 Р

  • Круг беременности для врачей — двусторонний акушерский календарь для расчета срока беременности по неделям, предполагаемой даты родов, сроков скринингов, УЗИ и планового наблюдения пациентки

    2 091 Р

  • Практическое руководство по УЗИ органов мошонки и регионарных лимфоузлов: норма и ключевые патологии. Подробная методика сканирования, эхокартина, острые состояния (перекрут, эпидидимит, травма), опухоли, варикоцеле, гидроцеле, мужское бесплодие и послеоперационные изменения. Дуплекс/триплекс, эластография, контраст и ИИ. Много эхограмм и схем. Для врачей УЗД, урологов, андрологов, онкологов и др.

    4 498 Р

  • В книги представлена адаптированная для реальной клинической практики методика исследования легких у детей: от положения датчика до изображения ультразвуковой картины; приведены собственные клинические примеры, иллюстрирующие практическое применение метода в диагностике пневмоний, и авторский пример протокола заключения в норме и при пневмонии; изложены данные о хронометрии исследования и особенностях проведения методики у детей раннего и старшего возраста.

    2 860 Р

  • Представлены ультразвуковые признаки основных видов патологии – нетоксического диффузного зоба, узлового зоба, кист, аденом, диффузного токсического зоба, аутоиммунного тиреоидита и рака щитовидной железы. Впервые представлена глава по дифференциальной диагностике заболеваний щитовидной железы. Все схемы, графики, таблицы подготовлены автором самостоятельно и не заимствованы у кого-либо.

    3 200 Р

  • УЗИ при неотложных и экстренных состояниях. Книга содержит большое количество иллюстративного материала и дает практические навыки для применения при оказании медицинской помощи. Подробно рассмотрены оборудование и настройки, эхокардиография, травма, острая боль в животе, сосудистый доступ, а также разделы по акушерству и педиатрии.

    17 980 Р

  • В атласе собран большой иллюстративный материал, помогающий практикующему врачу систематизировать полученные результаты обследования пациентки, сопоставив результаты гистологического анализа с предложенными сонографическими изображениями. Авторы предлагают тщательные описания конкретных клинических случаев. Удобный формат атласа позволяет быстрее уточнить диагноз, что крайне существенно в современных условиях — скорость верификации может повысить качество лечения пациентки.

    6 279 Р

  • Практическое руководство по УЗИ поверхностных лимфатических узлов: мультипараметрическое исследование, допплер, эластография, УЗ-картины при метастазах, воспалении и лимфопролиферативных процессах, более 500 иллюстраций и клинических примеров. Помогает онкологам, хирургам и врачам УЗД уверенно проводить дифференциальную диагностику и выбирать мишень для ТАБ под УЗ-наведением. В практике врача УЗИ.

    5 351 Р

  • В учебном пособии доступно представлены, кратко детализированы и систематизированы основные ультразвуковые критерии и характеристики гинекологической патологии, включающей: врожденные и приобретенные, воспалительные и онкологические изменения миометрия, эндометрия, шейки матки, яичников, маточных труб, вульвы, влагалища, смежных органов и систем. Подробно рассмотрены алгоритм проведения и анализ результатов эхогистеросальпингографии при оценке состояния полости матки, анализе проходимости маточных труб. Представлены принципы ультразвуковой визуализации влагалища и вульвы с применением современных технологий и диагностических инноваций.

    5 438 Р

  • УЗИ диагностике патологий глазного яблока при помощи В-сканирования. Подробно описана техника выполнения В-сканирования, а также представлены эхографические характеристики воспалительных, дегенеративных, опухолевых и травматических поражений глазного яблока и орбиты. Особое внимание уделено диагностике различных патологий с учетом особенностей В-сканирования, а также сравнению с другими методами визуализации. Приведены клинические примеры, иллюстрирующие диагностическую ценность метода.

    4 561 Р

  • Практическое руководство по ультразвуковому исследованию предстательной железы: четкая методика сканирования, ключевые эхопризнаки рака и доброкачественных изменений, алгоритмы биопсии и контроля после лечения. Подробно освещены анатомия и нормальная картина, простатит и кисты, доброкачественная гиперплазия, пункции под контролем ультразвука, фьюжн-биопсии, диагностика рецидивов.

    4 986 Р

  • Практическое руководство по лучевой диагностике заболеваний шеи: нормальная анатомия на рентгене, УЗИ, КТ, МРТ; алгоритмы выбора метода и дифференциальная диагностика. Иллюстрировано; охватывает неопухолевые и опухолевые процессы, этиологию, патогенез, клинику. Полезно ординаторам и врачам; для подготовки в НМО. Подробные рекомендации тактики и систематизация знаний; пригодно для аспирантов и НМО.

    3 576 Р

  • Книга посвящена методике ультразвукового исследования молочных желез пациенток до выполнения увеличивающей маммопластики и после неё, а также нормальной эхографической картине различных видов имплантатов молочных желез. Подробно изложены оригинальные исследования по диагностике осложнений гелевой пластики — как оболочечными, так и безоболочечными имплантатами — с использованием традиционного серошкального B-режима и ультразвуковой допплерографии

    4 120 Р

  • В книге подробно освещены вопросы дифференциальной пренатальной УЗИ диагностики врожденных пороков развития. Представлены диагностические критерии не только наиболее часто встречающихся, но и редких пороков. Используя современные усовершенствованные алгоритмы, авторы особое внимание уделили вопросам дифференциальной диагностики пороков с учетом их эхографических признаков и локализации.

    7 223 Р

  • Основное внимание уделено формированию протоколов транскраниального дуплексного сканирования артерий и вен головного мозга на основании стандартов Международного аккредитационного комитета

    4 974 Р

  • Вы держите в руках книгу, адресованную врачам, начинающим практическое выполнение ультразвуковых исследований сердца и крупных сосудов и не имеющим пока достаточного опыта. В книге предлагаются задачи по следующим темам: Врожденные пороки сердца у взрослых пациентов. Гипертрофическая КМП. Патологические и не патологические образования в полостях сердца. Гипертоническая болезнь. Ишемическая болезнь сердца. Протезированные клапаны. Болезни перикарда. Болезни аорты.

    2 168 Р

  • В этом издании представлены три клинически важных классификации, созданные и успешно применяемые в Клинике доктора А. В. Ушакова. Две из них усовершенствованы - «Классификация доброкачественных состояний щитовидной железы» и «Классификация зоба щитовидной железы». Третья опубликована впервые - «Классификация причин заболеваний щитовидной железы».

    3 309 Р

  • В книге представлена всеобъемлющая информация по терминологии, лучевой семиотике, методике выполнения исследований, анализу изображений. Большое внимание уделено принципам проведения скрининга рака молочной железы. Книга отлично иллюстрирована клиническими примерами. Атлас отражает тенденции в области диагностики заболеваний молочной железы и отвечает современным потребностям врачебного сообщества.

    8 280 Р

  • Учебное пособие «Тесты по ультразвуковой диагностике сосудистой патологии в вопросах и ответах» составлено в соответствии с федеральными государственными образовательными стандартами высшего образования и содержит тестовые задания, которые помогут обучающимся подготовиться к первичной аккредитации и повышению квалификации по специальностям «Ультразвуковая диагностика» (31.08.11), «Функциональная диагностика» (31.08.12), «Кардиология» (31.08.36)

    2 358 Р

  • Представленное учебное пособие составлено в соответствии с федеральными государственными образовательными стандартами высшего образования и содержит ситуационные задачи, которые помогут обучающимся подготовиться к первичной аккредитации и повышению квалификации по специальностям «Ультразвуковая диагностика» (31.08.11), «Функциональная диагностика» (31.08.12), «Кардиология» (31.08.36) и самостоятельно оценить свои знания в этой области.

    3 054 Р

  • ​В книге обсуждаются возможности высокочастотной ультразвуковой диагностики оценивать структурную перестройку поверхностных лимфатических узлов. Приводятся данные об особенностях физиологии, нормальной и ультразвуковой анатомии лимфатических узлов в различных регионарных зонах. Ультразвуковые признаки перестройки лимфатических узлов рассматриваются на моделях доброкачественных и злокачественных поражений.

    5 132 Р

  • ​В книге представлены основные анатомические структуры сердца, доступные для оценки с помощью ультразвука во время беременности. Определены оптимальные сроки проведения исследования. Пошагово разобран алгоритм оценки ультразвуковой топографической анатомии в I, II и III триместрах беременности. Содержание книги. Оценка верхних отделов брюшной полости плода. Оптимальная последовательность оценки эхографических сечений сердца. Четырехкамерный срез сердца плода. Выходные тракты желудочков и срезы 5 через три сосуда

    4 864 Р

  • Цель книги – помочь практикующим специалистам ультразвуковой, лучевой диагностики, маммологам, гинекологам, врачам общей практики систематизировать знания по эффективному использованию в своей практике новейших технологий ультразвукового исследования, обучить основам комплексной первичной и дифференциальной диагностики патологии молочных желез. Издание хорошо иллюстрировано, содержит большое количество рисунков, эхограмм.

    2 878 Р

  • В книге представлены разделы, посвященные нормальной ультразвуковой анатомии червеобразного отростка, ультразвуковой картине различных деструктивных форм острого аппендицита: флегмонозной, гангренозной и гангренозно-перфоративной, а также дифференциальной диагностике заболеваний, сопровождающихся болью в правой половине живота.

    4 896 Р

  • В настоящем учебном пособии обобщены литературные и собственные данные о возможностях ультразвуковой диагностики в неотложных случаях у детей. Содержание книги. 1. Эхографическая диагностика острого аппендицита у детей. 2. Возможности эхографии в диагностике острой патологии внутренних гениталий. 3. Показатели ургентности

    2 880 Р

  • Содержание книги. I. Методика ультразвукового исследования мочевыделительной системы. Показания к проведению ультразвукового исследования. Методика исследования мочевого пузыря и мочеточников. II. Ультразвуковая диагностика кистозных поражении почек у детей. Классификация кистозных поражений почек у детей. III. Ультразвуковая диагностика обструктивных уропатии

    2 880 Р

  • Содержание книги. Дуплексное сканирование экстракраниального отдела брахиоцефальных артерий. Дуплексное сканирование экстракраниального отдела брахиоцефальных артерий. Методика дуплексного сканирования экстракраниального отдела брахиоцефальных артерий. Диагностика стенозирующих заболеваний экстракраниального отдела брахиоцефальных артерий. Методика исследования внутричерепных сосудов

    3 870 Р

  • Ультразвуковая диагностика в акушерстве. Атлас эхограммы с комментариями. Нормальная ультразвуковая топографическая анатомия головного мозга плода во втором и третьем триместрах. Практическое пособие для врачей. Нормальная УЗИ анатомия головного мозга. Покупайте медицинскую литературу в интернет-магазине shopdon.ru

    3 835 Р

  • Книга посвящена вопросам стандартизации акушерского исследования в различные сроки гестации, представлены варианты нормы и патологии различных систем плода, предложена современная классификация пороков развития плода, алгоритм дифференциальной диагностики. Учебное пособие предназначено для практикующих специалистов ультразвуковой диагностики в области акушерства, пренатальной диагностики и акушеров-гинекологов.

    3 161 Р

  • В книгу вошли данные об ультразвуковой анатомии сосудов туловища и внутренних органов грудной клетки (исключая сердце) и брюшной полости, описание картины конкретных патологических ситуаций, сведения, позволяющие провести дифференциальную диагностику, в том числе результаты дополнительных методов лучевой диагностики (КТ, МРТ), а также частные вопросы УЗИ в трансплантологии и УЗ-ассистированных инвазивных манипуляций.

    7 076 Р

  • Впервые книге представлен мультимодальный подход к лучевой диагностике различных заболеваний молочных желез, определено место ультразвукового метода исследования в алгоритме мультимодального подхода. Показано, что современная лучевая диагностика в маммологии основывается на различных методах визуализации с различными возможностями для выявления ключевых патогномоничных признаков заболевания, соответственно, выбор метода исследования и последовательность его применения должны рассматриваться применительно к диагностической задаче и основываться на диагностическом алгоритме.

    7 280 Р

  • В книге большое внимание уделяется тканевому импульсноволновому допплеру и трактовке его результатов при различной патологии. Однако наибольший объем руководства посвящен режиму непрерывноволнового допплера, трактовке его спектров при всех основных видах патологии. Помимо этого, подробно разбираются все основные расчеты с использованием спектральных допплеровских режимов в эхокардиографии. Особый интерес представляют разделы, содержащие подробное описание нормальной анатомии и гемодинамики сердца и допплерэхокардиографии в норме.

    4 854 Р

  • Книга по УЗИ сосудов. Описаны основные режимы допплерографии и контрастно усиленного УЗИ. Описаны картины конкретных патологических ситуаций, сведения, позволяющие провести дифференциальную диагностику, в том числе результаты дополнительных методов лучевой диагностики (КТ, МРТ). Книга предназначена для врачей ультразвуковой диагностики, широкого спектра врачей, использующих ультразвуковой метод в повседневной лечебно-диагностической работе

    7 076 Р

  • Книга начинается с описания эталонного исходного анатомического положения и анатомических плоскостей. Затем в ней рассматриваются движения суставов и частей тела относительно этого положения. Завершает вводную главу информация о кожных иннервационных паттернах.

    6 122 Р

  • В книге подробно представлены основные методические подходы к нейросонографии плода в зависимости от срока беременности. Особое внимание уделено диагностическим возможностям нейросонографии в обнаружении патологических изменений и врожденных пороков головного мозга у плода.

    4 383 Р

  • В методических рекомендациях подробно представлены основные критерии ультразвуковой оценки плаценты, пуповины и околоплодных вод. Книга окажет отечественным специалистам ультразвуковой диагностики реальную помощь в повседневной работе и будет способствовать более точной оценке плаценты, пуповины и околоплодных вод и своевременной пренатальной диагностике их патологических состояний и различных врожденных аномалий.

    4 383 Р

  • Освещены вопросы формирования рубца на матке и разрыв матки как следствие несостоятельности сформировавшегося рубца. Отдельно рассмотрены клинические проявления несостоятельности рубца на матке вне и во время беременности. Подробно изложены современные подходы к оценке состоятельности рубца на матке, в частности место, роль и методика магнитно-резонансной томографии. Особое внимание уделено мировым и собственным данным по ультразвуковой диагностике дефекта рубца на матке после кесарева сечения.

    2 622 Р

  • В книге рассматриваются. Электроэнцефалография (техника и методика электроэнцефалографии). Электронейромиография (особенности ЭНМГ-исследования в детском возрасте.). Вызванные потенциалы мозга. Нейрофизиологический интраоперационный мониторинг в нейрохирургии. Дуплексное сканирование экстра- и интракраниальных сосудов. Ультрасонография головного мозга. Ультразвуковое исследование периферических нервов. Ультразвуковое исследование мышц.

    5 515 Р

  • Первая часть монографии представляет собой руководство по технике выполнения малоинвазивных операций, а вторая часть – клинический опыт по их применению. Инновации в хирургической технике и технологиях – это всегда риски, связанные с эффективностью и безопасностью той или иной операции. Поэтому столь важно критически оценивать их первые результаты и последующий опыт.

    7 944 Р

  • В методических рекомендациях систематизирована доступная в медицинской литературе информация для детских кардиологов и педиатров, которые часто сталкиваются с многочисленными трудностями при ведении детей с механическими протезами клапанов сердца, представлены практические рекомендации, разработанные в результате многолетнего опыта наблюдения за данной категорией пациентов.

    2 082 Р

  • Наглядно и доходчиво описаны и представлены примеры использования реализованных программных обеспечений исскуственного интеллекта с позиций современной доказательной медицины, последних клинических рекомендаций по основным направлениям их эффективного применения на сегодняшней день: в акушерстве и гинекологии, в онкологии при выявлении, дифференцировке и стратификации новообразований различных локализаций.

    2 747 Р

  • В монографии в сжатой и доступной форме представлены основные понятия и определения, детализированы структура, вопросы развития и внедрения искусственного интеллекта, отмечены трудности и недостатки, реалии и перспективы внедрения в повседневную жизнь, здравоохранение, диагностику, обобщен уникальный опыт исследователей по применению перспективных технологий интеллектуальных программ и инноваций в ультразвуковой визуализации.

    6 430 Р

  • В методических рекомендациях подробно представлены основные критерии морфологического ультразвукового анализа матки (MUSA) и современные решения пошаговой ультразвуковой диагностики аденомиоза в зависимости от его формы и распространения. Особое внимание уделено новым диагностическим критериям прямых и косвенных ультразвуковых признаков аденомиоза на основании консенсусного решения экспертов MUSA.

    4 518 Р

  • Цель руководства – систематизировать современные данные по ультразвуковой оценке развития органов и систем плодов с врожденными пороками сердца (ВПС), направленной на выявление случаев с высоким риском ранних и отдаленных постнатальных осложнений и неблагоприятных исходов. В руководстве изложены результаты российских и зарубежных исследований особенностей развития плода при наличии ВПС, представлена стандартизированная методика их антенатальной оценки и референсные интервалы изучаемых параметров.

    3 490 Р

  • Главы, посвященные вопросам ультразвуковой диагностики заболеваний репродуктивной системы, включают все основные виды патологии, при этом главное внимание уделено неотложным заболеваниям и состояниям. Ультразвуковая диагностика заболеваний опорно-двигательного аппарата посвящена в основном неотложным заболеваниям мягких тканей и суставов.

    8 172 Р

  • Детально отражены возможности эхографии при неотложной неврологической патологии у детей раннего возраста и особенности проведения метода при травматическом анамнезе у младенца. Рассмотрены заболевания органов и тканей лица и шеи, грудной клетки, сделан акцент на возможностях метода при деструктивных пневмониях. Описана ультразвуковая диагностика при патологии органов брюшной полости.

    7 596 Р

  • В книге подробно освещены вопросы современной ультразвуковой стратификации опухолей яичника и системы наблюдения (O-RADS). Специальный раздел посвящен консенсусу экспертов международных обществ ESGO/ISUOG/IOTA/ESGE в предположительном определении гистологического типа новообразований яичников. Методические рекомендации предназначены для врачей ультразвуковой диагностики, акушеров-гинекологов и хирургов.

    4 530 Р

  • В книге подробно освещены вопросы проведения фетометрии при скрининговых и консультативных ультразвуковых исследованиях в разные сроки беременности. Подробно представлены методика и нормативные значения фетометрических параметров в зависимости от срока беременности. Специальный раздел посвящен оценке плаценты, околоплодных вод и допплерометрии кровотока в маточных артериях и различных сосудах плода.

    4 530 Р

  • В книге подробно разбираются все основные возможные стандартные измерения как в В-, М- режимах, так и в режиме допплерэхокардиографии. Авторы приводят таблицы нормативов стандартных измерений и расчетов, исходя из новых рекомендаций Европейской ассоциации эхокардиографии. Данное издание содержит большое количество иллюстраций и схем. Издание предназначено для специалистов эхокардиографии, врачей ультразвуковой и функциональной диагностики, кардиологов и терапевтов.

    3 484 Р

  • В первой части руководства обсуждаются общие вопросы диагностики и поиска верного алгоритма мышления. Во второй части говорится о диагностике сочетанной патологии, а в третьей приводятся конкретные примеры из практики. Автор опирается на свой более чем пятидесятилетний опыт работы и утверждает, что главную роль в пред отвращении врачебных ошибок играет самостоятельная работа с больными, сопряженная с целенаправленным анализом жалоб, сбором анамнеза, полноценным физическим обследованием с одновременным проведением дифференциального диагноза уже в момент первого контакта с больным.

    4 342 Р

  • ​В атласе представлена структура различных органов и систем, полученная эхографическим способом. Предложен методологический подход к их ультразвуковому исследованию с использованием современных технологий, таких как трехмерная эхография, режим многолучевого сканирования, ультразвуковая ангиография и др. Предназначен специалистам по ультразвуковой диагностике, рентгенологам, врачам широкого профиля (терапевтам, хирургам и др.)

    3 210 Р

  • eFAST протокол представляет собой ультразвуковое обследование у кровати больного и предназначен для выявления перитонеальной и перикардиальной жидкости, пневмоторакса и/или гемоторакса у пациента после травмы. В руководстве рассмотрены теоретические аспекты, касающиеся физики ультразвука, описания основных режимов сканирования и возможностей использования различных ультразвуковых датчиков, а также приведены практические разделы, содержащие детальное описание методик проведения сканирования и интерпретации данных ультразвука для диагностики в экстренных случаях.

    2 581 Р

  • Перед вами уникальное справочное руководство, позволяющее быстро и точно определить характер заболевания органа зрения, этиологические факторы, принципы лечения. Содержание книги. Стандартные лабораторные исследования и манипуляции. Лабораторная и инструментальная диагностика в офтальмологии. Побочное действие системных препаратов на орган зрения. Фармпрепараты. Бактериальные инфекционные заболевания. Вирусные инфекционные заболевания. Грибковые инфекционные заболевания. Аутоиммунные заболевания. Заболевания слезных органов

    9 875 Р

  • Индекс фертильности эндометриоза был разработан для прогнозирования исходов фертильности у пациентов, перенесших операцию по поводу эндометриоза. Показатель ENZIAN (ENZIAN score) позволяет не только описать локализацию, но и оценить тяжесть глубокого инвазивного эндометриоза в баллах. Основное преимущество показателя ENZIAN – топографическое отображение эндометриоза, позволяющее составить план будущей операции: например, предположить, потребуется ли частичная или полная резекция участка кишки, а также предсказать ее продолжительность.

    1 812 Р

  • Освещены новые стратегии в области терапии, хирургии и мини-инвазивной хирургии, а также локализованные и системные методы лечения, включая таргетную терапию и/или биологическую терапию, дающие обнадеживающий прогноз. Исследован контроль нейроэндокринных опухолей различного анатомического происхождения и/или со специфической биологией. Представлены спектр существующих вариантов и наиболее актуальные результаты клинических испытаний.

    4 988 Р

  • В рекомендациях подробно освещены вопросы УЗИ диагностики глубокого эндометриоза на основе IDEA, ENZIAN. Специальный раздел посвящен классификации ENZIAN, которая используя стандартизированные подходы, является наиболее оптимальной в предоперационной диагностике эндометриоза. Методические рекомендации IDEA, ENZIAN предназначены для врачей ультразвуковой диагностики, акушеров-гинекологов и хирургов.

    3 972 Р

  • В руководстве рассматриваются практические аспекты диагностики основных заболеваний сердечно-сосудистой системы: представлена стандартная методика современного ультразвукового исследования сердца, подробно освещены базовые принципы комплексной клинической и эхокардиографической оценки морфологии и функционального состояния сердца, а также качественного и количественного анализа состояния внутрисердечной гемодинамики.

    4 219 Р

  • Атлас посвящен врожденным порокам развития плода. Книга начинается с текстового раздела, служащего введением в проблему. Следующая часть издания (непосредственно атлас) представлена сотнями фотографий отдельных пороков развития, подобранными в зависимости от поражения тех или иных органов и систем. Отдельные части атласа содержат ультразвуковые изображения различных пороков развития, а также кариограммы ряда генетических нарушений.

    2 933 Р

  • Книга большое количество наглядных таблиц и иллюстраций, что позволит освоить и выработать определенные принципы диагностики, а также правильную тактику ведения и лечения данной категории больных. Материал в книге может быть использован в учебном процессе. Рекомендовано врачам акушерам-гинекологам, специалистам ультразвуковой и лабораторной диагностики, анестезиологам-реаниматологам, врачам скорой медицинской помощи, а также хирургам.

    1 891 Р

  • Инновационные подходы к раннему выявлению патологии молочных желез, рационально построенное консервативное лечение позволяют добиваться удовлетворительных результатов, улучшать показатели качества жизни и психоэмоционального состояния женщин. Тем не менее у ряда пациенток возникают показания к хирургическому лечению, прежде всего при фиброзно-кистозной болезни с преобладанием кистозного компонента.

    3 320 Р

  • Книга включает в себя более 50 иллюстраций и снимков реальных патологий. Краткая суть ультразвукового метода и основные принципы работы эхокардиографа. Показания и кратность проведения эхокардиографии в норме и при различной патологии сердца. Интерпретация состояний и патологий (нарушение систолической и диастолической функций сердца, кардиомиопатии, клапанные патологии и др.). Виды ЭКГ (стресс-ЭХОКГ, Чреспищеводная ЭХОКГ)

    1 680 Р

  • В книге подробно освещены вопросы пренатальной ультразвуковой диагностики и морфологии врожденных пороков центральной нервной системы. Представлена современная методика ультразвукового исследования головного мозга плода и эхографические признаки различных врожденных пороков. Особое внимание уделено вопросам применения объемной эхографии и магнитно-резонансной томографии в оценке структур головного мозга плода и пренатальной диагностики пороков центральной нервной системы.

    12 160 Р

  • Рассмотрены преимущественно неотложные андрологические и гинекологические заболевания, принципы их эхографической диагностики и дифференциальной диагностики в условиях скоропомощного приема и отсутствия достоверных анамнестических данных. Значительное внимание уделено патологии периода новорожденности, особенностям выполнения исследований и интерпретации их результатов.

    4 262 Р

  • В учебно-методическом пособии представлены базовые анатомо-физиологические аспекты молочных желез в соответствии с гендерными, возрастными и цикличными изменениями у женщин: разбираются вопросы ультразвуковой терминологии, используемой при описании образований молочных желез в В-режиме. с применением цветокодированных методик и эластографии; проводится подробный разбор различных вариантов эластографии. применяемых для оценки жесткости выявленных узловых образований: представлены варианты изменений молочных желез после пластических операций в соответствии со шкалой US BI-RADS, а также раздел по выполнению различных видов биопсии выявленных образований молочных желез. Для оценки усвоения материала учебно-методическое пособие содержит контрольные вопросы, тестовые задания и ситуационные задачи.

    3 698 Р

  • В книге подробно описаны оборудование для маммографии, его настойка и тестирование, оценка качества маммограмм, практические аспекты анатомии молочных желез, основные и дополнительные маммографические проекции, маммография у женщин с грудными имплантами, маммография мужской грудной железы, маммография оперированной молочной железы, а также биопсия молочных желез, рентгенологическое исследование образца ткани и локализационные процедуры с тканевыми маркерами. Особое внимание уделено маммографическим признакам доброкачественных злокачественных заболеваний.

    3 895 Р

  • Методические рекомендации освещают современное состояние проблемы ультразвуковой оценки рецептивности эндометрия от общепринятых маркеров до малоизученных, в том числе перспективных, направлений. Описаны ультразвуковые методики, позволяющие оценивать признаки рецептивности в 2D- и 3D-режимах с акцентом на ошибках, которые влияют на интерпретацию результатов. Представлены различные шкалы комплексного анализа.

    2 320 Р

  • Категории оценки рецептивности эндометрия. Напечатана картоне. Под стекло или на стену. Для книги "Ультразвуковая оценка рецептивности эндометрия: методические рекомендации"

    830 Р

  • Система интерпретации и протоколирования данных I. Стандартизация описания УЗИ-данных. II. Определения риска малигнизации. III. Указания по тактике наблюдения и лечения.

    1 205 Р

  • В книге приведено описание лучевой семиотики наиболее часто встречающихся заболеваний и повреждений почек, мочеточников и мочевого пузыря с представлением данных УЗИ, КТ и МРТ. Даются рекомендации по тактике лучевого исследования, приводится дифференциальная диагностика. Рассматриваются вопросы этиологии, патогенеза, морфологии и клинические проявления заболеваний.

    3 496 Р

  • УЗИ структур плодного яйца в процессе нормальной маточной беременности, приводятся признаки неблагополучия на всех этапах ее развития, демонстрируются возможности УЗИ диагностики при врожденных аномалиях в эмбриональном периоде, представлены рекомендуемые протоколы исследования. Описаны основные анатомические структуры, доступные для оценки на сроках беременности 11–14 нед., определены оптимальные сроки проведения исследования. Представлен оптимальный алгоритм оценки ультразвуковой топографической анатомии, включая маркеры хромосомных аномалий.

    4 202 Р

  • Книга по неотложным состояниям в гинекологии содержит сонографические данные и лапароскопические исследования, а также методы лечения и оценки в кризисной ситуации при оказании медицинской помощи. Большое количество иллюстраций, наглядных таблиц позволит шаг за шагом осваивать принципы диагностики и лечения. Комплексный подход поможет легкому усвоению материала и применению в клинической практике за счет тщательного рассмотрения аспектов лечения.

    4 902 Р

  • Практические указания позволят научиться визуализировать сердце и легкие. Руководство содержит краткое описание ультразвуковых признаков наиболее часто встречающихся во врачебной практике увзрослых болезней сердца исосудов. Усвоению материала способствуют иллюстрации: фотографии и схемы, помогающие понять основные диагностические алгоритмы, а также таблицы (в том числе ультразвуковых признаков патологии легких). Каждая глава содержит задания для самопроверки, позволяющие понять, насколько хорошо усвоен материал.

    2 266 Р

  • Проведения нейровизуализационной диагностики у детей при энцефалитах и менингитах на различных этапах заболевания. В книге указаны особенности визуализации энцефалитов в зависимости от этиологии и тяжести течения заболевания. Мы приводим разбор возможностей диагностических методик и усовершенствованный алгоритм нейровизуализационной диагностики при нейроинфекциях у детей.

    1 943 Р

  • 700 иллюстраций. Книга поможет решать сложные диагностические задачи и по данным рентгенографии, КТ, МРТ и УЗИ быстро и точно диагностировать заболевания сердца, легких, желудочно-кишечного тракта, гепатобилиарной системы, мочеполовой системы и молочных желез, а также заболевания и травмы костей и суставов.

    5 527 Р

  • Представлена лучевая семиотика наиболее часто встречающихся опухолей и неопухолевых заболеваний органов желудочно- кишечного тракта. Даются рекомендации по тактике лучевого исследования, приводится дифференциальная диагностика. Рассматриваются вопросы этиологии, патогенеза, морфологии и клинические проявления различных заболеваний.

    3 999 Р

  • В книге акцент сделан на приобретенные (вторичные) миопатии, и прежде всего саркопению. Рекомендовано широкое внедрение ультразвуковых методик, позволяющих оценить состояние скелетной мускулатуры непосредственно у постели больного без лучевой нагрузки. Описаны основные методы профилактики, лечения и реабилитации больных с приобретенными миопатиями.

    4 312 Р

  • Рассмотрены базовые анатомо-физиологические аспекты состояния и функционирования ЩЖ; разбираются вопросы терминологической основы описания узлов щитовидной железы в В-режиме, с применением цветокодированных методик и эластографии; проводится подробный разбор различных вариантов эластографии, применяемых для оценки жесткости выявленных узловых образований; расширен раздел по выполнению пункционной биопсии выявленных образований щитовидной железы. Для оценки усвоения материала пособие содержит контрольные вопросы, тестовые задания и ситуационные задачи.

    3 404 Р

  • В книге структурирован большой объем материала по ультразвуковому исследованию мягких тканей, наглядно и упрощенно разобраны сложные клинические случаи, подтвержденные результатами морфологической базы. Издание хорошо иллюстрировано. Большое количество схем, рисунков, эхограмм позволит более четко понимать визуальную картину многочисленных изменений, наиболее часто выявляемых при эхографии кожи и придатков, поверхностно-расположенных структур с применением различных технологий ультразвуковой визуализации.

    5 041 Р

  • В книге подробно описаны методики проведения эластографии различных внутренних и поверхностно расположенных органов, принципы интерпретации результатов, факторы, влияющие на конкретный результат и эффективность, корректность и воспроизводимость количественных и качественных показателей эластографии. Книга предназначена для практикующих врачей ультразвуковой диагностики, как для начинающих, так и для специалистов со стажем

    5 572 Р

  • Руководство является основой для правильного использования методов и протоколов исследования, интерпретации результатов с учетом технических возможностей ультразвукового исследования сердца, жалоб пациента на заболевание или возможных осложнений и исходов. Анализ состояния сердца позволяет поставить диагноз, выбрать тактику ведения пациента и обеспечить динамическое наблюдение.

    5 599 Р

  • В книге приведены описания исследований кожи и подкожно-жировой клетчатки дерматологами с подготовкой по ультразвуковой диагностике, специалистами по рентгеноэндоваскулярной диагностике, оптическим методам и микроскопии, дерматопатологоанатомами. Подробно проанализированы возможности ультразвукового исследования, компьютерной и магнитно-резонансной томографии в определении патологии кожи или подкожно-жировой клетчатки, в значительной мере дополняющих клиническую диагностику.

    3 619 Р

  • Внимание уделено технике проведения ультразвуковых исследований, включая современные технологии — цветовое допплеровское картирование и ультразвуковую биомикроскопию, представлена семиотика различных патологических изменений глаза и орбиты с большим количеством иллюстраций. Предназначено для офтальмологов, специалистов ультразвуковой и лучевой диагностики.

    5 610 Р

  • ЗРП является одним их тех патологических состояний, которые требуют интенсивного наблюдения как в дородовом периоде, так и после родов. Даны рекомендации по ведению и родоразрешению пациенток с задержкой роста плода. Учебное пособие предназначено для интернов, ординаторов и врачей, обучающихся в системе дополнительного образования по специальности «акушерство и гинекология», и врачей смежных специальностей.​

    1 557 Р

  • В руководстве представлена современная неинвазивная диагностика в клинической практике, основанная на ультразвуковых методах исследования, у пациентов с патологией органов брюшной полости, поверхностных органов, при травмах у взрослых и детей. Целью авторов было описание комплексного обследования, объединяющего современные диагностические подходы, с применением ультразвуковых технологий.

    5 481 Р

  • Структура книги дает возможность использовать ее как настольную книгу клинициста, а большое количество иллюстраций демонстрирует особенности манипуляций и анатомические вариации. Такая визуализация позволяет значительно изменить методологию лечения болевых синдромов, уменьшить число возможных осложнений и повысить качество оказания медицинской помощи.

    8 876 Р

  • Руководство освещает основные аспекты ультразвуковой диагностики патологии брахиоцефальных артерий. Его цель и задача – помочь врачу правильно определить не только показания к ультразвуковому исследованию каротидного русла, но и выделить группу пациентов, которым показано хирургическое вмешательство на месте, не прибегая к дополнительным методам диагностики, оптимизировав выбор пациентов для госпитализации в стационар.

    1 783 Р

  • Книга посвящена ультразвуковому исследованию нормы и патологии печени и желчевыводящей системы, методикам, правилам и плоскостям сканирования. Ультразвуковое исследование печени и желчевыводящей системы одни из самых сложных в изучении. Книга должна сделать этот процесс более интересным и простым, благодаря подачи информации в виде красочных иллюстраций с пояснениями. Более 1500 иллюстраций.

    7 520 Р

  • Уникальный учебник. С помощью специального приложения, установленного на смартфон, можно оживлять иллюстрации, которые объясняют процесс ультразвукового исследования вен нижних конечностей с момента включения ультразвукового сканера. Опытные специалисты ультразвуковой диагностики найдут много нового для себя, ведь двух одинаковых ультразвуковых картинок не существует! Книгу можно считать №1 и пока в медицине нет подобных атласов.

    2 751 Р

  • Детально представлена современная методика эхокардиографического исследования плода и эхографические признаки различных врожденных пороков сердца. Особое внимание уделено вопросам дифференциальной диагностики врожденных пороков сердца при оценке четырехкамерного среза сердца, среза через 3 сосуда и срезов через выходные тракты желудочков. В специальных подразделах каждой главы подробно рассмотрены морфологические особенности сердца и главных артерий, сочетанные пороки и хромосомные аномалии в зависимости от нозологической формы врожденного порока сердца.

    11 807 Р

  • В руководстве рассмотрены этиология, патогенез, клиническая картина и лечение рабдомиолиза. Традиционно рабдомиолиз связывают с синдромом длительного сдавления, характерного для природных катастроф (землетрясения и пр.). В книге акцентируют внимание на рабдомиолизе, развивающемся при иных ситуациях: интоксикации различного генеза, острой хирургической патологии, длительной/интенсивной мышечной нагрузке, приеме лекарственных средств. Описаны диагностические и лечебные мероприятия в зависимости от тяжести протекания рабдомиолиза.

    2 799 Р

  • В книге внимание уделено описанию результатов дуплексного сканирования пациентов многопрофильной клиники с разнообразной сосудистой патологией. Авторы руководствовались стремлением облегчить работу врачей-исследователей, поделившись принципами и подходами к проведению дуплексного сканирования сосудов с формированием заключений.

    3 373 Р

  • Подробно описан протокол исследования миометрия и эндометрия по международным стандартам, представлены эхографические признаки опухолей миометрия и аденомиоза. Книга будет полезна как опытным, так и начинающим врачам ультразвуковой диагностики, акушерам-гинекологам, онкологам, репродуктологам, аспирантам и ординаторам.

    2 456 Р

  • Детализированы и доступно изложены с наглядным иллюстративным материалом различные гинекологические заболевания, включающие патологию миометрия, эндометрия, шейки матки, яичников, маточных труб, дисфункции тазового дна и др. Подробно рассмотрены аспекты проведения и анализа результатов эхогистеросальпингографии, оценки состояния полости матки, выявления аномалий развития матки, анализа проходимости маточных труб. Отдельная глава посвящена принципам диагностики беременности на ранних сроках, визуализации плодного яйца при его различных локализациях.

    3 137 Р

  • Детально и удобным для восприятия образом в ней изложено то, что должен знать каждый врач, берущий в руки ультразвуковой датчик, – от методических основ эхокардиографии до подробностей диагностики врожденных и приобретенных пороков, кардиомиопатий, болезней аорты и перикарда, исследования функции желудочков и многого другого. Отдельные главы посвящены стресс-эхокардиографии, проведению исследований в отделениях реанимации и операционных, инфекционному эндокардиту, протезированным клапанам сердца.

    12 990 Р

Написать комментарий

Ваш email будет скрыт и не опубликуется в отзыве. Ваши данные не будут переданы третьим лицам.