Визуализация заболеваний шеи - Труфанов Г. Е., Припорова Ю. Н.
Книга "Визуализация заболеваний шеи"
Авторы: Труфанов Г. Е., Припорова Ю. Н.
ISBN 978-5-6051088-1-8
В первой главе учебного пособия изложена нормальная и лучевая анатомия шеи по данным рентгенологического исследования, УЗИ, КТ и МРТ с указанием анатомических структур на соответствующих рисунках. Вторая-десятая главы посвящены визуализации наиболее часто встречающихся неопухолевых и опухолевых заболеваний шеи, в которых представлены данные методов лучевой визуализации. Даются рекомендации по тактике лучевого исследования, приводится дифференциальная диагностика. Рассматриваются вопросы этиологии, патогенеза, морфологии и клинических проявлений заболеваний шеи. Описываемые нозологические формы иллюстрированы соответствующими изображениями. Для ординаторов, обучающихся по специальностям: 31.08.08 — Радиология, 31.08.09 — Рентгенология, 31.08.11 — Ультразвуковая диагностика; аспирантов 3.1.25 — Лучевая диагностика, а также врачей смежных специальностей, занимающихся обследованием и лечением пациентов с различными заболеваниями шеи. Учебное пособие может быть рекомендовано для подготовки в системе постдипломного непрерывного медицинского образования.
Содержание книги "Визуализация заболеваний шеи" - Труфанов Г. Е., Припорова Ю. Н.
Глава 1. Лучевая анатомия шеи
Глава 2. Лучевая диагностика заболеваний глотки
2.1. Киста Торнвальда
2.2. Абсцесс миндалины
2.3. Доброкачественная смешанная опухоль глотки
2.4. Рак носоглотки
2.5. Плоскоклеточный рак ротоглотки
2.6. Злокачественные опухоли малых слюнных желез
2.7. Неходжкинская лимфома миндалин
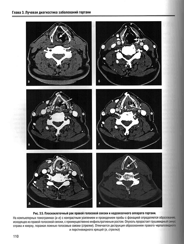
Глава 3. Лучевая диагностика заболеваний гортани
3.1. Ларингоцеле
3.2. Плоскоклеточный рак гортаноглотки
3.3. Плоскоклеточный рак надголосового отдела гортани
3.4. Плоскоклеточный рак голосового аппарата гортани
3.5. Плоскоклеточный рак подголосового отдела гортани
Глава 4. Лучевая диагностика заболеваний полости рта
4.1. Ранула
4.2. Сублингвальный абсцесс
4.3. Сиаладенит поднижнечелюстной железы
4.4. Доброкачественная смешанная опухоль
поднижнечелюстной железы
4.5. Амелобластома
4.6. Плоскоклеточный рак ротовой полости
4.7. Рак поднижнечелюстной слюнной железы
Глава 5. Лучевая диагностика заболеваний пространства жевательных мышц
5.1. Абсцесс пространства жевательных мышц
5.2. Саркома жевательных мышц
Глава 6. Лучевая диагностика заболеваний околоушной железы
6.1. Доброкачественные лимфоэпителиальные образования
6.2. Синдром Шегрена
6.3. Доброкачественная смешанная опухоль околоушной железы
6.4. Опухоль Уортина
6.5. Кистозный и мукоэпидермоидный рак околоушной железы
6.6. Метастазы в околоушные лимфатические узлы
Глава 7. Лучевая диагностика заболеваний каротидного пространства
7.1. Тромбоз яремной вены
7.2. Параганглиома клубочковых тел блуждающего нерва
7.3. Параганглиома каротидных клубочков
7.4. Невринома блуждающего нерва в каротидном пространстве
Глава 8. Лучевая диагностика заболеваний структур срединной линии шеи
8.1. Заглоточный абсцесс
8.2. Метастазы в заглоточные лимфатические узлы
8.3. Превертебральный абсцесс
8.4. Метастазы в превертебральные ткани
Глава 9. Лучевая диагностика заболеваний щитовидной железы
9.1. Узловой зоб
9.2. Дифференцированный рак щитовидной железы
9.3. Анапластический рак щитовидной железы
Глава 10. Лучевая диагностика заболеваний лимфатических узлов
10.1. Плоскоклеточный рак лимфатических узлов
10.2. Лимфома
10.3. Метастазы в добавочные спинальные лимфатические узлы
Контрольные вопросы
Примеры страниц из книги "Визуализация заболеваний шеи" - Труфанов Г. Е., Припорова Ю. Н.











| Автор | Труфанов Г. Е., Припорова Ю. Н. |
| ISBN | 978-5-6051088-1-8 |
| Вес | 1 кг |
| Год | 2024 |
| Страниц | 224 |