УЗИ диагностика рака щитовидной железы по TI-RADS. Клинические примеры. Лекция для врачей
Лекция для врачей "УЗИ диагностика рака щитовидной железы по TI-RADS. Клинические примеры" (отрывок из книги "Ультразвуковая диагностика рака щитовидной железы по ACR TI-RADS. Атлас-Руководство - Ушаков А. В.)
Методика и примеры использования ACR TI-RADS
Последовательность действий в методике ACR TI-RADS представляется простой. Она заключается в выявлении с помощью УЗИ (ультразвуковое исследование) определённых признаков узла ЩЖ (щитовидная железа), присвоению каждому признаку известного количества баллов, последующей суммации этих баллов и определении уровня ACR TI-RADS по сумме баллов. Сопоставление величины узла (по его наибольшему размеру) с уровнем ACR TI-RADS определяет показание к пункционной биопсии узла щитовидной железы (табл. 3).
ACR TI-RADS предлагает ориентироваться на величину узла ЩЖ по его наибольшему размеру. Рекомендованные ACR TI-RADS размеры узлов для проведения ТАБ (тонкоигольная аспирационная биопсия) избраны в соответствии со статистическими сведениями о частоте встречаемости рака относительно признаков и величины узлов.
Таблица 3. Показание к ТАБ в соответствии с уровнем ACR TI-RADS и величиной узла ЩЖ (наибольшим размером узла).

Вместе с тем, специалисты в комментариях к ACR TI-RADS не ограничивают практикующих врачей в выборе диагностической тактики. Предлагая базовую схему, авторы ACR TI-RADS рекомендуют для каждого конкретного случая ориентироваться на реальные клинические обстоятельства, в т.ч., при необходимости, применять ТАБ к узлам размерами 5-9 мм.
Действительно, складывать баллы и по их сумме определять уровень ACR TI-RADS просто. Сложность заключается в выявлении узла (т.е. дифференциальной диагностике с очаговым диффузным процессом) и, главное, — в зрительной оценке ультразвуковых проявлений узла. Умение увидеть (не пропустить) и верно оценить ультразвуковые признаки представляет самую сложную задачу в методике ACR TI-RADS.
Современные тенденции в развитии медицинской техники ведут к созданию вспомогательных интеллектуальных систем, способных выявлять и оценивать ультразвуковые признаки. В печати появляются результаты таких изысканий. Например, группа исследователей спроектировала и создала два алгоритма машинного компьютерного обучения.
Ультразвуковая диагностика рака щитовидной железы по ACR TI-RADS.
ультразвуковым признакам рака ЩЖ, обучила 6 Convolutional Neural Networks (CNN) (сверточные нейронные сети) и сопоставила результаты компьютерной диагностики 150 ультразвуковых изображений узлов ЩЖ с выводами 6 сонологов, имеющих разный опыт в области УЗД (ультразвуковая диагностика) ЩЖ (от 2 до 16 лет). Результат этого исследования показал преимущества искусственного интеллекта.
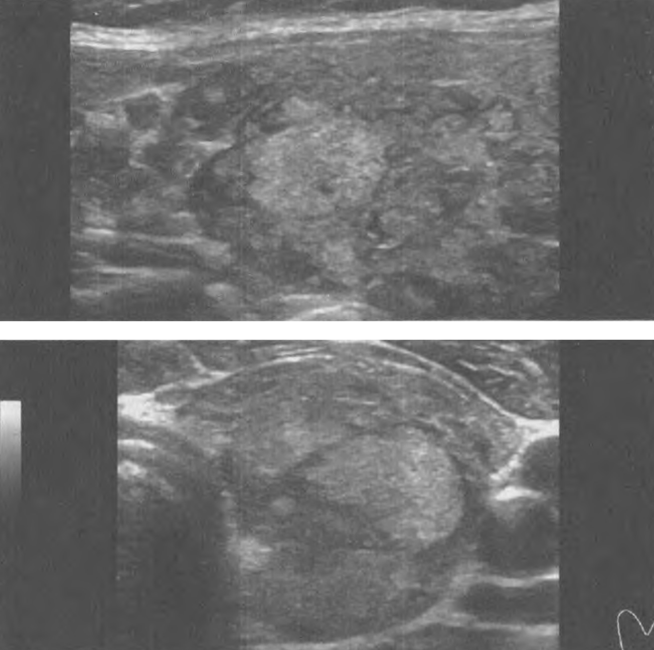
Впрочем, моя зрительная оценка УЗ-примеров (снимков), представленных авторами этого исследования и при которых были допущены ошибки специалистами, быстро выявила признаки рака и доброкачественности, совпавшие с реальностью, что указывает, с одной стороны на недостаточный уровень внимания или знаний специалистов, а с другой – подтверждает способности вспомогательного программного обеспечения (рис. 26, 27). В первом случае (рис. 26) по ACR TI-RADS узлу можно присвоить 8 баллов (5 уровень) – ткань (2 балла), гипоэхогенный участок с неровными контурами внутри узла оценивается как гипоэхогенная ткань (2 балла), неравномерная граница (2 балла), периферическая кальцификация (2 балла). Во втором случае (рис. 27) по ACR TI-RADS узлу можно присвоить 3 балла (3 уровень) – ткань (2 балла), изоэхогенность ткани (1 балл); видны признаки микрокистозных элементов узла в виде мелких анэхогенных включений с тонкими дугообразными мало гиперэхогенными элементами по краям (признак уплотнения соединительной ткани).
Для освоения методики ACR TI-RADS, рассмотрите серию примеров оценки ультразвуковых признаков рака и доброкачественности узлов щитовидной железы, выявленных у пациентов нашей Клиники (рис. 28-66). Обращайте внимание на выраженность эхогенности. Анализируйте, сравнивайте и запоминайте ключевые особенности всех основных УЗ-признаков. Старайтесь мыслить сущностно, опираясь на закономерности узлового процесса.
Осваивайте методику УЗД рака и оценки по ACR TI-RADS на практике. Повторно просмотрите и изучите материал этого Атласа-Руководства.

Рисунок 26. Пример изображения узла ЩЖ из статьи Е. Lee и соавт. В этом случае 6 специалистов выявили доброкачественность узла, в отличие от комбинации 3 CNN, указавшей на злокачественность, которая подтвердилась после хирургического удаления узла.

Рисунок 27. Пример изображения узла ЩЖ из статьи Е. Lee и соавт. В этом случае 4 специалиста (включая 2-х опытных) определили рак узла. При этом, комбинация из 3 CNN указала на доброкачественность, что подтвердилась после ТАБ как аденоматозная гиперплазия.

Рисунок 28. Узел 11х6, 4х12,1 мм правой части перешейка ЩЖ у пациентки 44 лет. Тканевой (2 балла); почти изоэхогенный (1 балл); продольное расположение (0 баллов); равномерная граница по большей части периметра (0 баллов); включений нет (0 баллов). Сумма баллов 3, что соответствует 3 уровню ACR TI-RADS. Обратите внимание на чёткие сегменты узловой ткани, подобные по структуре внеузловым долькам – признак доброкачественности (впервые представлен нашей Клиникой).

Рисунок 29. Узел 38, 2х17, 3х24,2 мм правой доли ЩЖ у пациентки 60 лет. Тканевой (2 балла); умеренно гипоэхогенный (2 балла); продольное расположение, форма повторяет долю, краниальное равномерное выпячивание связано с развитием крупного узла относительно расположенного краниально малого узла (0 баллов); равномерная граница по большей части периметра (0 баллов); характерных для рака включений нет (0 баллов). Сумма баллов 4, что соответствует 4 уровню ACR TI-RADS.

Рисунок 30. Узел 11,1х6, 8х10,5 мм левой доли ЩЖ у пациентки 67 лет. Тканевой (2 балла), изоэхогенный (1 балл); продольное расположение (0 баллов); равномерная граница по большей части периметра (0 баллов); включений нет (0 баллов); Сумма баллов 3, что соответствует 3 уровню ACR TI-RADS. Этот узел является пролиферативно-гиперпластическим, как результат избыточной внутридольковой регенерации. По моему мнению и мнению коллег, этот узел абсолютно доброкачественный и должен исходно характеризоваться в первой категории ACR TI-RADS как пролиферативно-регенераторный, с присуждением 0 баллов, прекращением дальнейшей оценки и определением 1 уровня ACR TI-RADS.

Рисунок 31. Узел 26, 1х27, 8х29,6 мм правой доли ЩЖ у пациента 46 лет. Тканевой (2 балла), преимущественно изоэхогенный (1 балл); продольное расположение, форма узла повторяет форму доли в месте расположения (0 баллов); равномерная граница по всему периметру (0 баллов); специфических для рака включений нет (0 баллов). Сумма баллов 3, что соответствует 3 уровню ACR TI-RADS. Ткань узла имеет чёткое сегментирование.
Книга "Ультразвуковая диагностика рака щитовидной железы по ACR TI-RADS. Атлас-Руководство"
Автор: А. В. Ушаков

Издание представляет Атлас-Руководство, посвященное ультразвуковой диагностике рака щитовидной железы на основе системы оценки УЗ-изображений и выводов от Американского Колледжа Радиологии (ACR TI-RADS). В начале книги предоставлен анализ структуры ACR TI-RADS, пояснён авторский лексикон и предложены лучшие варианты терминов для практического применения. Показаны преимущества и ограничения ACR TI-RADS.
Книга включила большое количество примеров оценки узлов по ACR TIRADS, с крупными ультразвуковыми снимками в двух проекциях. Все примеры взяты из реальной практики и отражают разные варианты узловой патологии щитовидной железы. Помимо описания методики ACR TI-RADS, предоставляется обсуждение использования ACR TI-RADS в сложных и нестандартных клинических случаях. Предложены направления по совершенствованию теории и практики диагностики рака узлов щитовидной железы, в т.ч. в соответствии с ACR TI-RADS. Предоставлены пояснения оформления Протокола УЗИ с подробной демонстрацией. Важным достоинством издания является обучающий характер содержания. В книгу включены теоретические и иллюстративные задачи (тесты) с ответами. Практикующим врачам даны рекомендации для совершенствования навыков УЗИ при узлах щитовидной железы. Атлас-Руководство предназначен специалистам ультразвуковой диагностики и эндокринологам.
Содержание книги "Ультразвуковая диагностика рака щитовидной железы по ACR TI-RADS. Атлас-Руководство" - Ушаков А. В.
1. Система ACR TI-RADS
2. Термины ACRTI-RADS
3. Уточнения и рекомендации ACR TI-RADS
4. Принципы и особенности ACR TI-RADS
5. Методика и примеры использования ACR TI-RADS.
6. ACRTI-RADS при рубцевании узлов ЩЖ
7. ACR TI-RADS в Протоколе УЗИ
8. Пример Протокола УЗИ
9. Задачи ACR TI-RADS
10. Ответы к задачам ACR TI-RADS
11. Рекомендации сонологам
0 комментариев