УЗИ диагностика желчного пузыря. Клинические примеры. Лекция для врачей
Лекция для врачей "УЗИ диагностика желчного пузыря. Клинические примеры" (отрывок из книги "Ультразвуковая диагностика заболеваний внутренних органов и поверхностно расположенных структур" - Сандриков В. А., Фисенко Е. П.)
Ультразвуковая диагностика заболеваний внутренних органов и поверхностно расположенных структур
Желчный пузырь
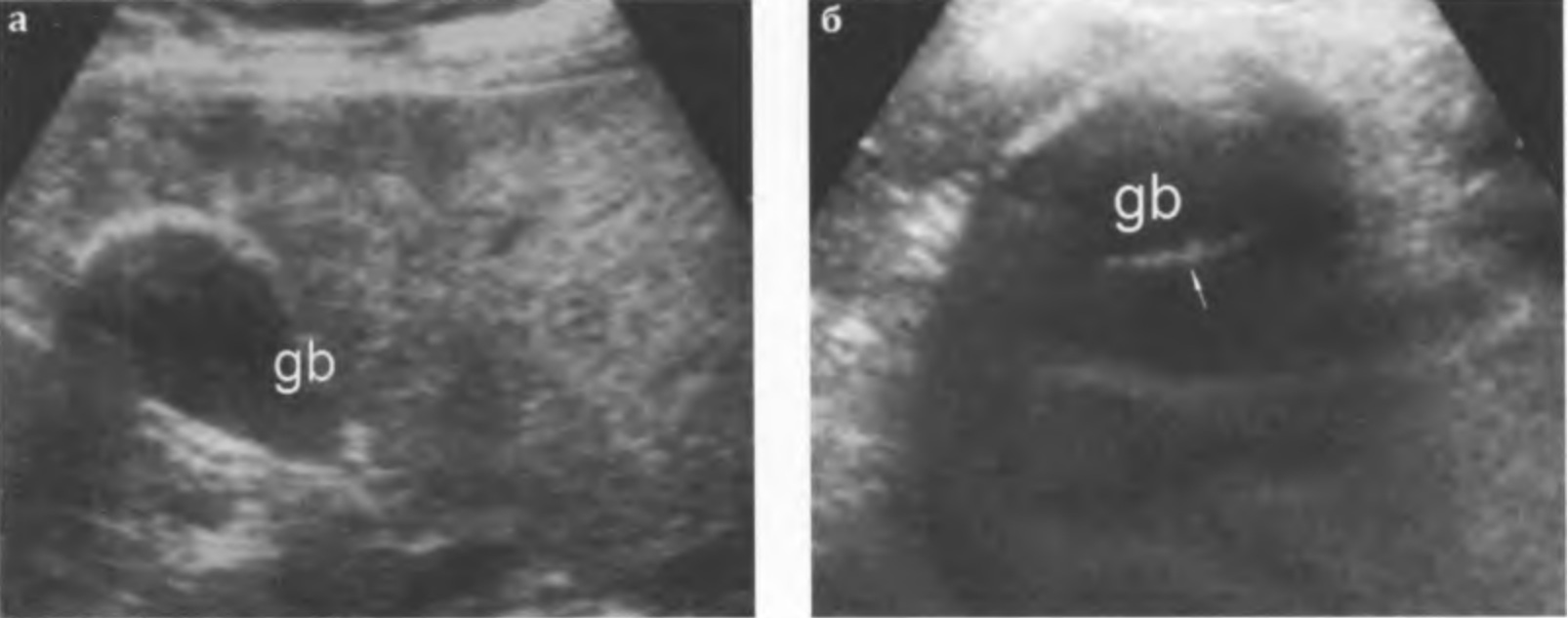
Конкременты. Ультразвуковым признаком конкремента желчного пузыря является гиперэхогенная структура в его просвете, смещаемая при изменении положения тела, дающая эффект дистальной акустической тени (рис. 3.1а-е).
Обычно камни лоцируются на задней стенке желчного пузыря или свободно перемещаются в его полости. Конкременты менее 0,2 см не образуют дистальной акустической тени, что затрудняет их диагностику.
При крупных камнях за счет эффекта бокового рассеивания их ультразвуковые размеры могут быть меньше истинных размеров. Мелкие камни попадают в тень от крупных и не визуализируются. В случае, когда камни заполняют весь желчный пузырь, его просвет не визуализируется. От его передней стенки идет широкая акустическая тень, закрывающая заднюю стенку пузыря (рис. 3.2а,б).

Рис. 3.1а,б,в,г,д,е. Варианты ультразвукового изображения и расположения конкрементов в желчном пузыре: г - конкремент в гартмановском кармане; д,е - конкремент в шейке желчного пузыря.
Сгусток желчи может выглядеть как конкремент в проекции задней стенки желчного пузыря. Эхогенность сгустка средняя, он подвижен, в отличие от камня не дает акустической тени даже при крупных, до 1,0 см, размерах (рис. 3.3). При длительном голодании желчь в просвете пузыря сгущается, становится эхогенной, может создавать уровень с меняющимся контуром при изменении положения тела. В густой взвеси могут визуализироваться конкременты.

Рис. 3.3. Желчный пузырь, продольный срез: в просвете пузыря лоцируется среднеэхогенное образование, не дающее акустической тени (густая желчь).
Острый холецистит сопровождается увеличением (диаметр > 3,0 см, длина > 8,0 см), реже - уменьшением размеров желчного пузыря, утолщением стенки > 0,4 см, изменением ее эхогенности (вначале она повышается, в дальнейшем - понижается), появлением слоистости стенки, усилением ее васкуляризации (рис. 3.5 а,б,в). В дальнейшем появляется нечеткость контуров. Содержимое желчного пузыря становится неоднородным: появляется эхогенная взвесь, сгустки, пузырьки газа. Часто определяются конкременты.
В тканях, окружающих ложе желчного пузыря, могут определяться признаки инфильтрации: утолщение клетчатки, повышение ее эхогенности, неоднородность структуры с появлением участков сниженной эхогенности и анэхогенных структур, отражающих скопления жидкости. Может определяться лимфаденопатия. Чаще всего увеличиваются лимфатические узлы, расположенные в области шейки пузыря и печеночно-двенадцатиперстной связки: они имеют вид гипоэхогенных овальных или округлых структур, часто отсутствует изображение синуса.
Степень выраженности выявленных изменений в желчном пузыре зависит от тяжести воспалительного процесса. В дальнейшем динамические изменения ультразвуковой картины происходят как в сторону улучшения, так и в сторону ухудшения, что связано с эффективностью консервативного лечения или отсутствием ответа на него.

Рис. 3.6 а,б. Острый калькулезный холецистит, катаральная форма: умеренное утолщение стенки желчного пузыря.
Гангренозное воспаление. Является сложным для ультразвуковой диагностики, поскольку степень выраженности изменений желчного пузыря и окружающих тканей такова, что они формируют единый конгломерат (рис. 3.9 а,б).
Наиболее выражены изменения стенки, которая может быть утолщенной до 1,0 см и более за счет вовлечения в инфильтрат окружающей клетчатки. Иногда степень инфильтрации стенки бывает столь выраженной, что становится невозможно дифференцировать ее от окружающей клетчатки. Структура стенки становится неоднородной за счет появления зон некроза в виде гипо- и анэхогенных участков.
Содержимое пузыря неоднородно - с хлопьями, уровнем взвеси, пузырьками воздуха. В ложе пузыря появляются ограниченные жидкостные скопления, возможно формирование перивезикальных абсцессов.
Нередко имеется реакция лимфатической системы в виде увеличения регионарных лимфатических узлов.

Рис. 3.9 а, б. Гангренозный холецистит:
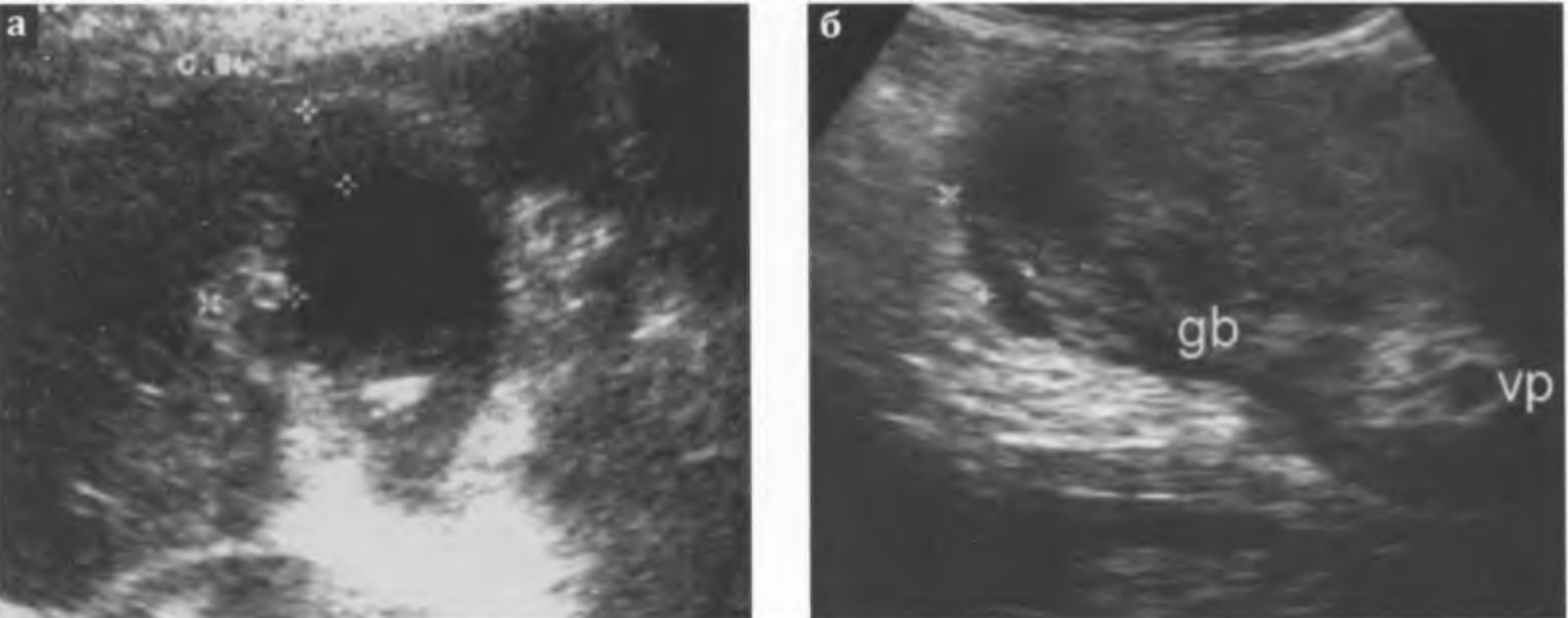
а - стенка желчного пузыря неравномерно утолщена, контур неровный, нечеткий, эхогенность стенки неравномерно снижена, с анэхогенными включениями (+...+); определяется инфильтрация окружающих тканей - неравномерное снижение их эхогенности с гипо- и анэхогенными включениями;
б - ложе желчного пузыря ячеистой структуры, без четкой границы сливается с изображением стенки пузыря; вокруг желчного пузыря (gb) определяется скопление жидкости (+...+); vp - воротная вена.
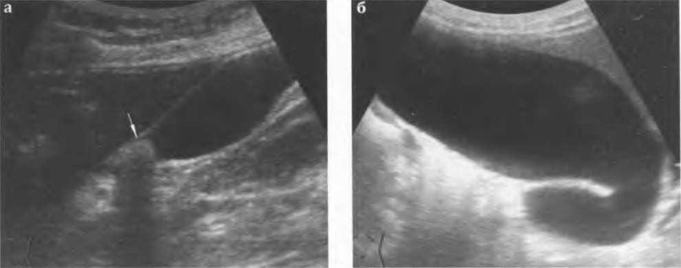
Водянка. Возникает при нарушении оттока желчи из полости желчного пузыря, что наиболее часто связано с ущемлением камня в области его шейки или с препятствием в области холедоха (опухоль, холедохолитиаз) и развитием желчной гипертензии. При этом размеры пузыря значительно увеличиваются (> 0,9-1,0 см), в просвете, вследствие нарушения реологических свойств желчи, появляется осадок. Стенка в области тела желчного пузыря обычной толщины (рис. 3.10 а, б).

Рис. 3.10 а,б. Водянка желчного пузыря: а - желчный пузырь увеличен в размерах, стенка истончена, средней эхогенности, в области шейки лоцируется конкремент (стрелка); б - значительно растянутый желчный пузырь при желчной гипертензии; блок на уровне дистального отдела холедоха.
Хронический холецистит. Ультразвуковые признаки хронического воспаления желчного пузыря не столь очевидны, как признаки острого воспаления. Размеры пузыря могут не изменяться, увеличиваться (при нарушении оттока желчи), уменьшаться (при сморщивании и склерозе стенки). При гипертрофической форме хронического воспаления толщина стенки желчного пузыря в среднем составляет 0,3-0,4 см, а при атрофической форме не превышает 0,1-0,2 см. Эхогенность стенки повышается, часто неравномерно. Контур становится неровным за счет рубцовых изменений. В просвете могут определяться застойная желчь, взвесь, камни (рис. 3.11 а-г). Изменения в окружающих тканях и реакция лимфатической системы не выражены. Исходом хронического рецидивирующего холецистита может быть сморщивание пузыря и его склероз: размеры желчного пузыря уменьшены, стенка значительно утолщена, неравномерно повышенной эхогенности, полость приобретает щелевидную форму, в просвете может определяться сгущенная желчь и конкременты.
Наиболее серьезными осложнениями как острого, так и хронического холецистита является формирование абсцессов: околопузырного, подпеченочного, поддиафрагмального. Скопления гноя визуализируются как ограниченные жидкостные образования низкой или средней эхогенности, часто с эхогенной взвесью, хлопьями, гиперэхогенными нитевидными включениями. Имеют стенку, толщина и плотность которой зависит от длительности существования абсцесса. В окружающих тканях могут быть реактивные изменения, отек. Наиболее характерным признаком является эффект дистального псевдоусиления (рис. 3.1 З а,б).

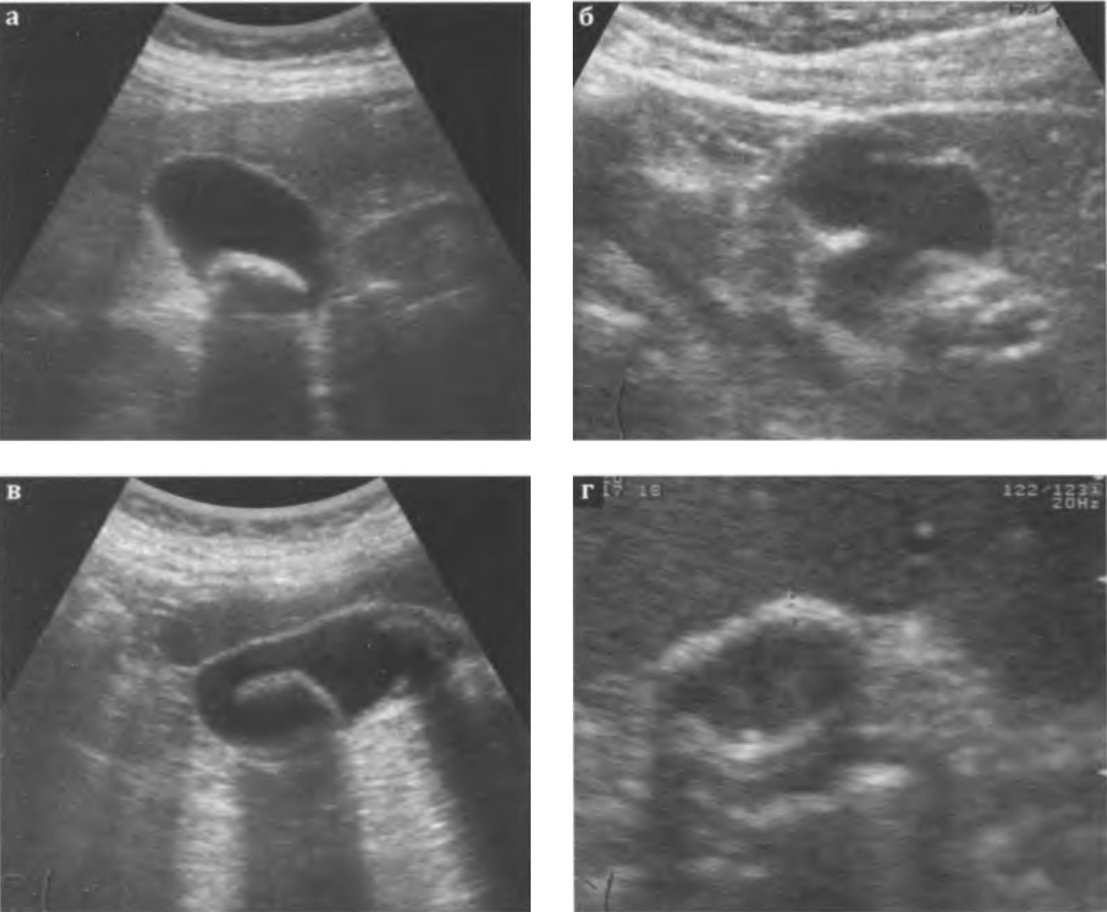
Рис. 3.11 а, б, в ,г. Хронический калькулезный холецистит: а,б,в - стенка желчного пузыря повышенной эхогенности, в просвете лоцируются конкременты; г - сморщенный желчный пузырь; стенка значительно утолщена (+...+), неравномерно повышенной эхогенности, просвет уменьшен, в просвете - сгущенная желчь и конкременты.
Холестероз стенок. Характеризуется накоплением эфиров холестерина в складках слизистой оболочки пузыря, которые увеличиваются и выпячиваются в сторону его просвета.
При ультразвуковом исследовании стенка желчного пузыря неравномерной толщины и эхогенности, с мелкими гиперэхогенными включениями. Внутренний контур стенки неровный. В просвете желчного пузыря визуализируются пристеночные образования средней или повышенной эхогенности, округлой, вытянутой или неправильной формы, которые, в отличие от камней, не смещаются и не дают акустической тени (рис. 3.14 а,б; рис. 3.15 а,б,в). Сосуды в пристеночных образованиях, содержащих холестерин, не определяются.

Рис. 3.14 а,б. Холестероз стенок желчного пузыря: а - стенка пузыря неравномерно утолщена, эхогенность ее неравномерно повышена, внутренний контур стенки неровный; б - стенка пузыря неравномерно утолщена, эхогенность её неравномерно повышена, внутренний контур стенки неровный; определяется гиперэхогенный полип (стрелка), не дающий акустической тени.
В зависимости от распространенности холестероз может быть локальным, сегментарным или диффузным. При локальной форме выявляется одиночное образование. В случае сегментарного поражения в процесс вовлекается часть стенки желчного пузыря, чаще шеечный сегмент. Диффузная форма холестероза характеризуется поражением всей стенки пузыря, которая описывается как "земляничный" желчный пузырь.

Рис. 3.15 а, б, в. Холестероз стенок желчного пузыря: различная локализация полипа (стрелка).
Аденомиоматоз. Характеризуется пролиферацией эпителия, выпячиванием складок через дефекты в мышечной стенке в сторону серозной оболочки с утолщением стенки пузыря и формированием в ней синусов.
При исследовании выявляется утолщение и снижение эхогенности стенки пузыря с гипоэхогенными включениями (синусами), внутри которых, в свою очередь, определяются мелкие гиперэхогенные структуры с эффектом реверберации - пузырьки воздуха. От мелких конкрементов формируется дистальная акустическая тень (рис. 3.18 а,б; рис. 3.19 а,б).
Поражение может носить локальный, сегментарный или диффузный характер.
При локальном поражении формируется выпячивание в области дна с перетяжкой. Формируется так называемая фундальная аденомиома (рис. 3.20). Происходит укорочение полости пузыря, область дна деформирована, стенка пузыря локально утолщена, просвет сужен. Имеются гиперэхогенные включения в стенке пузыря, в просвете - сгущенная желчь, могут быть мелкие конкременты. В режиме ЦДК в отсутствие воспаления сосудистый рисунок стенки желчного пузыря не усилен.

Рис. 3.20. Аденомиоматоз желчного пузыря, локальная форма, фундальная аденомиома (1): стенка пузыря неравномерно утолщена, эхогенность ее снижена; определяется перетяжка (стрелки) в области дна пузыря, дистальнее перетяжки в толще стенки пузыря визуализируется пузырек воздуха (стрелка); в просвете суженной части сгущенная желчь; отмечается укорочение полости пузыря.
Гиалинокальциноз - изменение стенки пузыря, чаще возникающее после перенесенного тяжелого приступа острого холецистита. Характеризуется отложением пластов извести в мышечной оболочке или накоплением кристаллов солей в синусах Рокитанского-Ашоффа с формированием так называемого "фарфорового" пузыря. Стенка имеет значительно повышенную эхогенность на ограниченном или достаточно протяженном участке. При этом желчный пузырь визуализируется как кольцевидная гиперэхогенная структура с неинтенсивной дистальной и широкими латеральными тенями, причем сохраняется возможность визуализировать центральную часть задней стенки пузыря (рис. 3.21а,б). Акустическая тень образуется именно за стенкой пузыря, камней в его просвете может не быть.

Рис. 3.21 а, б. "Фарфоровый" желчный пузырь (значительное повышение эхогенности стенки желчного пузыря (gb), за стенкой определяется акустическая тень):
а - акустическая тень формируется за частью стенки в области дна желчного пузыря;
б - за всей передней стенкой формируется широкая акустическая тень с более выраженными латеральными тенями, что позволяет визуализировать часть задней стенки пузыря (стрелка).
Опухоли
Доброкачественные опухоли встречаются редко. Ультразвуковыми признаками доброкачественного образования являются небольшие размеры (до 1,0 см), ровность и четкость контуров, средняя или незначительно повышенная эхогенность, отчетливая однородная внутренняя структура, отсутствие инвазии в стенку в месте фиксации образования, нередко имеется ножка. В режиме ЦДК в опухоли можно выявить мелкие сосуды (рис. 3.22).

Рис. 3.23 а, б. Инфильтративная форма рака желчного пузыря:
а - рак желчного пузыря в сочетании с калькулезным холециститом;
б - желчный пузырь (+...+) плохо дифференцируется от окружающих тканей, просвет его практически не определяется.
Злокачественные опухоли. Встречаются редко, часто сочетаются с калькулезным холециститом. Ультразвуковая картина во многом зависит от направления роста опухоли (инфильтративный, эндо - или экзофитный, смешанный вариант) и от степени распространенности процесса по стенке пузыря (локальный или диффузный).
Инфильтративная форма. Опухоль прорастает все слои стенки (локально или диффузно), которая значительно утолщена (до 0,8-1,0 см и более), эхогенность ее средняя или пониженная, структура неоднородная, контуры нечеткие. Происходит уменьшение объема полости пузыря.
Эндофитная форма. Опухоль исходит из внутренних слоев стенки. Выявляется в полости желчного пузыря, её размеры более 1,0-1,5 см, эхогенность может быть как средней, так и пониженной. Структура обычно неоднородная, контуры бугристые. Часто внутри опухоли определяются кальцинаты. Стенка пузыря в месте прикрепления опухоли может быть инфильтрирована.
В режиме ЦДК может определяться хаотичный сосудистый рисунок. По мере роста опухолевые массы постепенно занимают весь просвет пузыря, полость перестает определяться. Пузырь приобретает вид гетерогенного образования средней эхогенности, а если в просвете имеются камни, то картина имитирует эмпиему.
Экзофитная форма. Опухоль прорастает наружные слои стенки, окружающие ткани, прилежащие органы. Поэтому контур стенки неровный, нечеткий, эхогенность ее средняя или пониженная. Измерить толщину стенки часто невозможно из-за отсутствия ее дифференциации с окружающими тканями. В режиме ЦДК может определяться хаотичный сосудистый рисунок.

Рис. 3.24 а, б. Рак желчного пузыря: а - по задней стенке пузыря (gb), ближе к его дну, выявляется образование средних размеров, средней эхогенности, имеет вид "цветной капусты", умеренно неоднородную внутреннюю структуру (стрелка); отсутствует четкость дифференциации стенки в месте её контакта с образованием;
Книга "Ультразвуковая диагностика заболеваний внутренних органов и поверхностно расположенных структур"
Авторы: Сандриков В. А., Фисенко Е. П.

В руководстве подробно представлена наиболее часто встречающаяся при проведении ультразвукового исследования патология неопухолевого и опухолевого характера внутренних и поверхностно расположенных органов. Освещены особенности диагностики как в традиционном В-режиме, так и в режимах кодирования кровотока, которые стали обязательным элементом исследований.
Книга содержит свыше 800 сонограмм. В приложениях представлены основные стандартные протоколы ультразвукового исследования различных органов. Руководство рекомендуется в качестве учебного пособия для студентов медицинских ВУЗов и как базовый материал в системе послевузовского профессионального обучения врачей.
Полученные начальные знания открывают возможности для дальнейшего углубленного изучения теории и освоения практических навыков.
Содержание книги "Ультразвуковая диагностика заболеваний внутренних органов и поверхностно расположенных структур" - Сандриков В. А., Фисенко Е. П.
Глава 1
Поджелудочная железа
1.1. Неопухолевые заболевания
Острый панкреатит
Осложнения острого панкреатита
Хронический панкреатит
Кисты
1.2. Опухоли
Цистаденома
Внутрипротоковые папиллярно-муцинозные опухоли
Инсулинома
Рак поджелудочной железы
1.3. Послеоперационные изменения
Глава 2
Печень
2.1. Очаговая патология
2.1.1. Доброкачественные образования
Истинные кисты
Врожденный поликистоз
Гидатидный эхинококкоз
Альвеококкоз
Гемангиома
Абсцесс
Интрапаренхиматозная гематома
Очаговая узловая (фокальная нодулярная) гиперплазия
Печеночно-клеточная аденома
2.1.2. Злокачественные новообразования
Гепатоцеллюлярная карцинома
Холангиокарцинома
Метастатические опухоли
2.2. Диффузная патология
Жировая дистрофия
Острый вирусный гепатит
Хронический гепатит
Цирроз
2.3. Синдром портальной гипертензии
2.4. Послеоперационные изменения
Глава 3
Желчный пузырь и желчевыводящие протоки
3.1. Желчный пузырь
3.1.1. Неопухолевые заболевания
Конкременты
Острый холецистит
Катаральное воспаление
Флегмонозное воспаление
Эмпиема
Гангренозное воспаление
Водянка
Содержание
Хронический холецистит
Холестероз стенок
Аденомиоматоз
Гиалинокальциноз
3.1.2. Опухоли
Доброкачественные опухоли
Злокачественные опухоли
3.2. Желчевыводящие протоки
3.2.1. Неопухолевые заболевания
Острый холангит
Хронический холангит
Камни в желчных протоках
3.2.2. Опухоли
Холангиоцеллюлярный рак
Рак общего желчного протока
3.3. Послеоперационные изменения
Глава 4
Селезенка
4.1. Неопухолевая патология
Увеличение размеров
Травма
Кисты
Инфаркт
Абсцесс
Ультразвуковая диагностика заболеваний внутренних органов и поверхностно расположенных структур
4.2. Опухоли
Доброкачественные опухоли
Гемангиома
Лимфангиома
Злокачественные опухоли
Саркома
Метастазы
Гемобластозы
4.3. Послеоперационные изменения
Глава 5
Почки
5.1. Аномалии развития,
врожденные заболевания,
кистозные болезни
5.2. Другие неопухолевые заболевания
Нефролитиаз
Дилатация верхних мочевых путей
Острый пиелонефрит
Хронический пиелонефрит
Острая лобарная нефрония
Ксантогранулематозный пиелонефрит
Туберкулез почки
Заболевания почек, сопровождающиеся поражением
паренхимы диффузного характера
5.3. Опухоли
Ангиомиолипомы
Злокачественные опухоли
Глава 6
Надпочечники
6.1. Неопухолевые заболевания
Гипоплазия
Гиперплазия
Кисты
Гематомы
6.2. Опухоли коры
Аденома
Карцинома
Кортикостерома
Альдостерома
Андростерома
6.3. Опухоли мозгового слоя
Феохромоцитома
Нейробластома
6.4. Опухоли, происходящие из гормонально
неактивных тканей
Липома, фиброма, ангиомиолипома
Миелолипома
6.5. Метастатическое поражение надпочечников
Глава 7
Щитовидная и паращитовидные железы
7.1. Ультразвуковая характеристика изменений ткани
Диффузные изменения
Очаговые изменения
Диффузно-очаговые, или смешанные, изменения
Кистозно расширенные фолликулы
Истинные кисты
Узлы
7.2. Неопухолевые заболевания
щитовидной железы
Диффузный нетоксический зоб
Коллоидный пролиферирующий узловой/многоузловой зоб
Диффузный токсический зоб (болезнь Грейвса)
Острый тиреоидит
Подострый тиреоидит де Кервена
Хронический аутоиммунный тиреоидит (АИТ)
7.3. Опухоли щитовидной железы
Аденома
Рак
7.4. Травма щитовидной железы
7.5. Послеоперационные изменения
7.6. Заболевания паращитовидных желез
Глава 8
Молочная железа
8.1. Неопухолевые заболевания
Фиброзно-кистозная болезнь
Гинекомастия
Простые кисты
Гематома
Острый мастит
Абсцесс
Липонекроз
Галактоцеле
8.2. Опухоли
8.2.1. Доброкачественные образования
Фиброаденома
Липома
Внутрипротоковая и внутрикистозная папилломы
8.2.2. Злокачественные образования
Рак, узловая форма
Отечно-инфилътративная форма рака, маститоподобный рак (варианты диффузной формы рака).
Метастатические опухоли
Рак мужской грудной железы
Оценка распространенности ракового процесса
Система оценки результатов ультразвукового исследования молочной железы B1-RADS
8.3. Молочная железа после пластики
Оценка силиконовых эндопротезов
Осложнения увеличивающей маммопластики
силиконовыми эндопротезами
Осложнения увеличивающей маммопластики инъекционным безоболочечным гелем
Литература
Приложение
Протоколы ультразвукового исследования
Приложение
Оборудование ведущих фирм для ультразвукового исследования внутренних органов и поверхностно расположенных структур
0 комментариев