Важность артефактов в УЗИ исследовании. Лекция для врачей
Лекция для врачей "Важность артефактов в УЗИ исследовании" (отрывок из книги "Ультразвуковое исследование щитовидной железы" - Г. Д. Бэскин, Д. С. Дюик, Р. Э. Левин)
Важность артефактов в ультразвуковом исследовании
При УЗИ обычно выявляется значительное количество артефактов. В отличие от других визуализирующих методов в УЗИ артефакты играют важную роль в интерпретации изображений. Такие артефакты, как тени позади объектов или неожиданно яркие области, могут помочь в понимании свойств визуализируемого объекта.
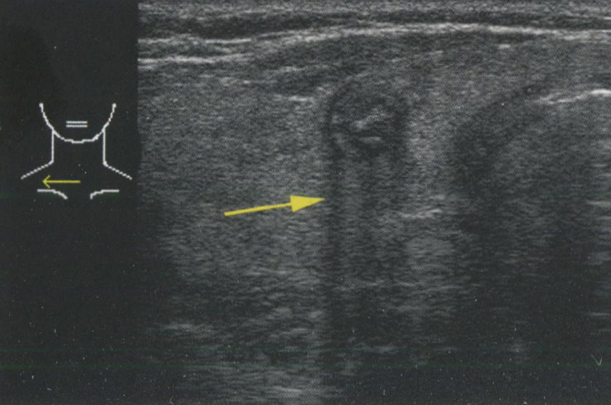
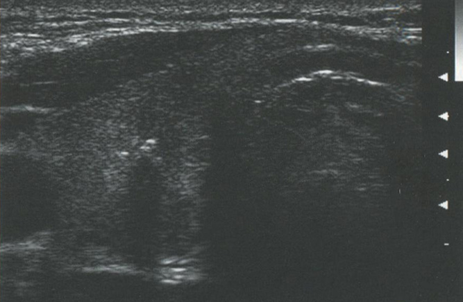
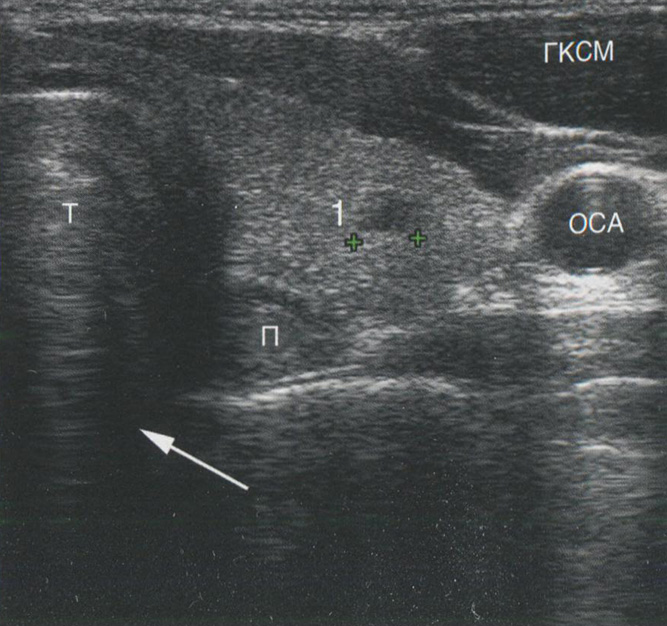
Когда звуковые волны попадают на область с сильно выраженной разницей акустического импеданса, например, на границу ткань-воздух или на кальцинат, подавляющее большинство звуковых волн отражается, обеспечивая очень яркий сигнал, исходящий от поверхности объекта, и отсутствие изображения за его пределами. Рис. 2.9 демонстрирует акустическую тень за кальцинированным узлом. На рис. 2.10 изображен грубый кальцинат в паренхиме щитовидной железы (ЩЖ) с акустической тенью позади кальцината. Рис. 2.11 показывает типичную картину

Рис. 2.9. Акустическая тень. Когда звуковые волны попадают на область с выраженной разницей акустического импеданса, например, на границу ткань-воздух или на кальцинат, подавляющее большинство звуковых волн отражается с возникновением тени кзади от исследуемой структуры. Этот кальцинированный узел наблюдался у пациента с семейной формой папиллярного рака трахеи при УЗИ. Поскольку звук через воздух не проводится, изображение задних структур трахеи отсутствует.

Рис. 2.10. Акустическая тень. Тень наблюдается позади грубого кальцината в паренхиме щитовидной железы. В отличие от кальцификации в узле аморфная кальцификация в паренхиме обычно не ассоциируется со злокачественностью

Рис. 2.11. Акустическая тень. Область кзади от трахеи не визуализируется во фронтальной проекции из-за очень высокого отражения на границе ткань-воздух. Т — трахея; П — пищевод; ГКСМ — грудино-ключично-сосцевидная мышца; ОСА — общая сонная артерия
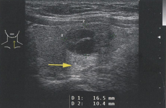
В то же время кистозные структуры проводят звук с очень маленьким затуханием, в результате этого интенсивность звуковых волн за ними намного выше, чем у прилежащих структур. Это приводит к акустическому усилению с ярким сигналом позади кистозных или анэхогенных структур. Это усиление может быть использовано для дифференциации кистозных и солидных узлов в ЩЖ. Рис. 2.12 показывает усиление сигнала.

Рис. 2.12. Усиление сигнала. Кистозные структуры проводят звук с незначительным затуханием, что проявляется в большей интенсивности звуковых волн позади таких образований. Усиление сигнала обычно возникает кзади от кистозного узла

Рис. 2.13. Усиление сигнала. Аденомы паращитовидных желез имеют сравнительно гомогенную ткань и, как кисты паращитовидных желез, могут демонстрировать усиление сигнала позади себя
Однако усиление сигнала происходит не только при наличии кистозных узлов. Любая структура, вызывающая минимальное затухание УЗ-сигнала, будет иметь усиление кзади от себя. На рис. 2.13 продемонстрировано усиление сигнала кзади от солидной аденомы ПЩЖ. На рис. 2.14 показано усиление сигнала позади доброкачественного коллоидного узла. Из-за высокого содержания жидкости и коллоида в узле и, как следствие, уменьшения клеточного компонента затухание сигнала в этом образовании происходит в меньшей степени, чем в окружающей ткани щитовидной железы.

Рис. 2.14. Усиление сигнала. Этот доброкачественный коллоидный узел содержит много жидкости и коллоида, что приводит к уменьшению клеточного компонента. Сниженное затухание сигнала в узле обусловливает усиление сигнала, несмотря на то что этот узел является солидным
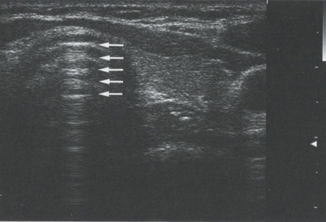
На рис. 2.15 изображен узел с кальцификацией по типу «яичной скорлупы». Слой кальция, окружающий узел, приводит к отсутствию сигнала позади узла. Видно, что наибольшее отражение возникает от поверхностей, расположенных перпендикулярно звуковым волнам. Поскольку угол падения приближается к 180° вдоль боковых стенок, большинство отраженных волн не возвращается на датчик, уменьшая интенсивность сигнала, отвечающего за боковые части структуры.
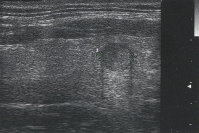
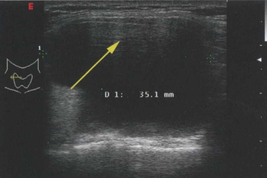
Краевые артефакты крайне полезны для идентификации узлов в щитовидной железе. На рис. 2.16 видны темные линии, распространяющиеся кзади от боковых поверхностей узла, вдоль УЗ-луча. Это еще один пример артефакта отражения. Как говорилось выше, звуковые волны, попадающие на объект по боковой поверхности, отражаются в сторону, а не обратно на датчик. Если на изображении видны две темные параллельные, вертикально ориентированные линии, прослеживая их кверху, можно выявить узел или другую структуру.

Рис. 2.15. Кальцификация по типу «яичной скорлупы». Слой кальция, окружающий узел, приводит к отражению от поверхности с выраженной акустической тенью по всей линии

Рис. 2.16. Краевой артефакт. Видны темные линии, распространяющиеся кзади от боковых поверхностей узла. Этот артефакт можно использовать для идентификации узла или другой структуры
Некоторые артефакты появляются из-за реверберации. Когда звуковые волны отражаются от поверхности с очень высокой отражательной способностью, некоторые из них могут повторно отразиться от поверхности кожи, создавая множество ложных изображений за подлинным.

Рис. 2.17. Артефакт реверберации. Очень часто этот артефакт виден на передней поверхности кисты. Он возникает из-за реверберации сигнала между поверхностью кожи и передней стенкой кисты, в результате чего принимаются повторные поздние сигналы и создается видимость солидной ткани на передней поверхности кисты
На рис. 2.17 изображен типичный реверберационный артефакт, который возникает из-за реверберации звуковых волн между поверхностью кожи и более глубокими тканями. Поскольку некоторые отраженные волны будут «отскакивать» от поверхности кожи в ткани много раз, появляются фантомные изображения. Чаще всего этот артефакт выявляется на передней поверхности кисты и вызывает сомнения, чем является данное образование: истинной кистой или частично солидной. Изменение угла УЗ-луча относительно образования обычно проясняет эту проблему. Рис. 2.18 показывает этот характерный артефакт кзади от передней стенки трахеи.
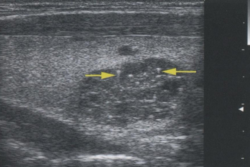
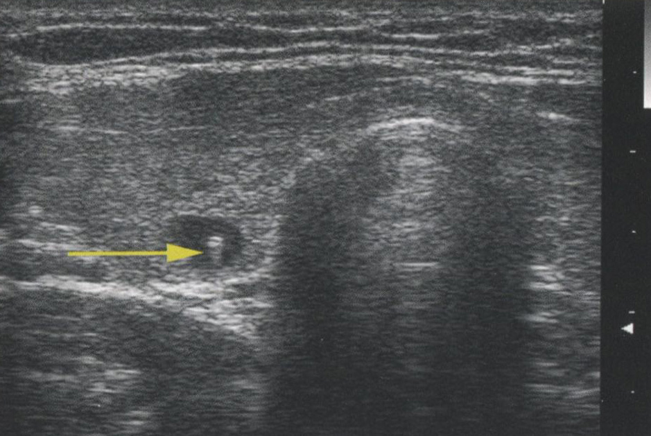
Артефакт «хвост кометы» — другая весьма частая находка, появляющаяся из-за реверберации (рис. 2.19, 2.20). Коллоидные узлы могут содержать тонкие кристаллы, образовавшиеся из-за высыхания желатиноподобного коллоидного вещества. Отражение звуковых волн от такого кристалла приводит к возникновению яркого пятна. Однако, в отличие от кальцификации мягких тканей, кристаллы начинают вибрировать под влиянием УЗ-энергии. Вибрация создает звуковые волны, которые возвращаются на датчик после первично отраженного сигнала. Также называемые артефактами «дребезжания сигнала» (ringdown), «кошачий глаз» (cats eye) (рис. 2.21) или «стремянка» (stepladder), эти «хвосты комет» помогают отличить обычно доброкачественные уплотнения в коллоидных узлах от очень подозрительных микрокальцификатов. Несмотря на то что артефакты «хвост кометы» чаще всего появляются в доброкачественных коллоидных узлах, они могут также выявляться в разрешающихся гематомах, а в редких случаях описаны при ПРЩЖ.

Рис. 2.18. Артефакт реверберации. Видно большое количество параллельных линий кзади от передней стенки трахеи. Обычно их принимают за кольца трахеи, но на самом деле это артефакт реверберации

Рис. 2.19. «Хвосты комет». Коллоидные узлы могут содержать тонкие кристаллы, образованные вследствие высыхания желатиноподобного коллоидного вещества. Отражение звуковых волн от кристалла приводит к возникновению яркого пятна. Однако, в отличие от кальцификации мягких тканей, кристаллы начинают вибрировать под влиянием ультразвуковой энергии. Вибрация создает звуковые волны, которые возвращаются на датчик после первично отраженного сигнала

Рис. 2.20. «Хвост кометы». Еще один пример артефакта «хвост кометы» в доброкачественном коллоидном узле
Рефракция — это изменение направления проводимого звука в акустической среде при угле падения, отличном от 90°. Звуковая волна, падающая на поверхность под углом в 90°, отражается в обратном направлении. При падении волны под углом, отличном от 90°, прошедшая волна изгибается при распространении через среду. Большая разница акустического импеданса между тканями приводит к большей степени рефракции. Несмотря на то что артефакты рефракции не типичны для УЗИ ЩЖ и других поверхностных структур, они могут приводить к созданию второго «призрачного» изображения, когда преломляющий объект находится на пути УЗ-луча.
При прохождении звуковых волн через любую ткань интенсивность волны снижается. Акустическая энергия ослабляется из-за комбинированного действия рефракции, рассеивания и Поглощения с преобразованием акустической энергии в тепло. Затухание зависит от частоты: чем выше частота, тем больше затухание.

Рис. 2.21. Артефакт «кошачий глаз». Артефакт «хвост кометы» также называется артефактом «дребезжания сигнала» (ringdown), артефактом «стремянка» (stepladder) или, если в маленькой кисте отмечается единственный очаг, «кошачий глаз» (cat's-eye)
И хотя более высокие частоты дают лучшее разрешение, глубина визуализации с увеличением частоты снижается. В современных УЗ-аппаратах для исследования ЩЖ используется достаточно высокая частота — 16 МГц. Однако при этой частоте исследование можно провести лишь на глубину до 5 см. Визуализация более глубоких структур, как и при УЗИ органов брюшной полости или малого таза, требует более низкой частоты. У тучных пациентов или при исследовании очень глубоких структур для адекватного проникновения луча и визуализации глубоких структур шеи может потребоваться частота 5-7,5 МГц. На рис. 2.22 и рис. 2.23 сравниваются изображения при частоте 7,5 и 13 МГц. Видно, что детализация проксимальных структур при более низкой частоте снижается.
Тень и усиление, как описывалось выше, — это примеры артефактов затухания. Тень возникает позади структур, имеющих очень большую разницу в акустическом сопротивлении с окружающими тканями, из-за почти полного отражения УЗ- волн. Усиление сигнала возникает за структурами, которые совсем не вызывают или вызывают незначительное затухание, и вследствие этого интенсивность звуковых волн за ними оказывается больше по сравнению с окружающими тканями.

Рис. 2.22. Сравнение изображений, сделанных при частоте в 7,5 и 13 МГц. При использовании датчика с частотой 7,5 МГц узел определяется менее четко, но структуры кзади от него визуализируются лучше. Сравните с рисунком 2.23

Рис. 2.23. Сравнение изображений при частоте 7,5 и 13 МГц. На этом изображении при частоте 13 МГц узел визуализируется намного четче. Сравните с рисунком 2.22
Купить книги по УЗИ диагностике в интернет-магазине shopdon.ru
Книга "Ультразвуковое исследование щитовидной железы"
Авторы: Г. Д. Бэскин, Д. С. Дюик, Р. Э. Левин

Эта книга в доступном виде предоставляет точную информацию врачам, использующим в своей клинической практике для диагностики и лечения заболеваний щитовидной железы и сопутствующей патологии области шеи ультразвуковой метод исследования, а также подчеркивает значимость мультидисциплинарного подхода и применения новейших данных. Кроме того, в ней сделан акцент на важных нюансах, которые необходимо знать при работе со столь быстро развивающимся методом, который в настоящий момент рассматривается в качестве основного в этой области.
Некоторые главы посвящены недавно разработанным методикам, например радиочастотной абляции и тонкоигольной аспирационной биопсии под контролем ультразвукового исследования. Отдельно созданы главы по использованию ультразвукового исследования в педиатрической практике и при врожденных аномалиях, а также в хирургии заболеваний щитовидной и паращитовидных желез.
Авторы обладают колоссальным опытом использования данного метода для диагностики и лечения заболеваний щитовидной железы и сопутствующей патологии области шеи, их энтузиазм способствует накоплению знаний в этой области, что свойственно Учителям с большой буквы. Настоящее издание — неоценимое дополнение к уже имеющейся литературе, которое окажется незаменимым руководством как для эндокринологов, так и для хирургов, радиологов и патоморфологов.
Купить книги по УЗИ диагностике в интернет-магазине shopdon.ru
Содержание книги "Ультразвуковое исследование щитовидной железы" - Г. Д. Бэскин
Глава 1. История развития ультразвукового исследования щитовидной железы
Глава 2. Физические аспекты ультразвукового исследования щитовидной железы
Глава 3. Ультразвуковая допплерография шеи
Глава 4. Нормальная анатомия шеи и методика проведения ультразвукового исследования
Глава 5. Ультразвуковое исследование шеи у детей
Глава 6. Ультразвуковое исследование при диффузном увеличении щитовидной железы: тиреоидиты
Глава 7. Ультразвуковое исследование при узловом зобе
Глава 8. Ультразвуковое исследование и картирование лимфатических узлов шеи
Глава 9. Ультразвуковое исследование паращитовидных желез
Глава 10. Хирургическое лечение узлового зоба, рака щитовидной железы и заболеваний околощитовидных желез
Глава 11. Ультразвуковое исследование слюнных желез и шеи
Глава 12. Тонкоигольная биопсия под контролем ультразвукового исследования: аспирация узлов щитовидной железы
Глава 13. Лазерная и радиочастотная абляции
Глава 14. Чрескожные инъекции этанола в лечении кист, узлов щитовидной железы и других образований на шее
Глава 15. Тонкоигольная биопсия под контролем ультразвукового исследования и молекулярные маркеры для оптимизации лечения узлов щитовидной железы
Глава 16. Ультразвуковая эластография щитовидной железы
Глава 17. Создание качественных протоколов ультразвукового исследования
Купить книги по УЗИ диагностике в интернет-магазине shopdon.ru
0 комментариев