Лекция для врачей "Тактика эхокардиографического исследования у больного с подозрением на врожденный порок сердца" (отрывок из книги "Эхокардиография при врожденных пороках сердца у взрослых" - М. К. Рыбакова, В. В. Митьков, Д. Г. Балдин)
Тактика эхокардиографического исследования у больного с подозрением на врожденный порок сердца
При подозрении у больного на врожденный порок сердца специалист эхокардиографии должен четко придерживаться определенного плана обследования. В противном случае можно не разобраться с пороком или описать только часть порока. Помимо В-режима в исследовании этой категории больных большую роль играет цветовой и непрерывноволновой допплер. Цветовой допплер, или ЦДК, позволяет быстро диагностировать патологический кровоток в сердце и в сосудах сердца. Особую ценность он представляет для диагностики шунтов. Непрерывноволновой допплер позволяет рассчитать максимальное систолическое давление в легочной артерии, оценить степень стенозов, степень и значимость клапанной регургитации. Исследование у больного с врожденным пороком сердца может продолжаться дольше, чем у больного с другой патологией сердца, поскольку доктору часто приходится долго выводить оптимальные эхокардиографические позиции для диагностики того или иного порока и сканировать кровоток в поисках шунтов буквально по кадрам. Все это может занять много времени.
Тактика осмотра больного при подозрении на врожденный порок сердца
Оценка положения сердца в грудной клетке
Положение сердца в грудной клетке у больного с врожденным пороком может быть различным. Мальпозиция сердца - это аномалия положения и локализации сердца в целом или его отдельных частей относительно положения сердца в грудной клетке, а также относительно положения других внутренних органов (рис. 2.1). Первое описание принадлежит Н. Fabricius (1906).

Рис. 2.1. Схема вариантов положения сердца в грудной клетке (по Lai W.W., 2010).
При подозрении на врожденный порок сердца очень важно установить анатомическое положение камер сердца, т.е. морфологически левого и правого предсердий и морфологически левого и правого желудочков. Помимо этого необходимо определить их функциональное состояние (артериальное или венозное). Отхождение сосудов от камер сердца и впадение их в камеру сердца играет важную роль в оценке порока.
Оценка крепления фиброзных колец
В норме правое и левое фиброзные кольца крепятся на различном уровне: правое фиброзное кольцо смещено по отношению к левому в полость правого желудочка. Правое фиброзное кольцо в норме смещено в полость правого желудочка до 7 мм. Если фиброзные кольца расположены на одном уровне, то имеет место один из врожденных пороков сердца (низкий дефект межпредсердной перегородки, полный атриовентрикулярный канал и т.д.) (рис. 2.2).
Оценка положения желудочков и предсердий
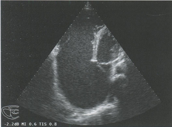
Необходимо оценить, как расположены левый и правый желудочки по отношению к левому и правому предсердиям. В верхушке правого желудочка имеется модераторный мышечный тяж. Правое фиброзное кольцо в норме смещено в полость правого желудочка до 7 мм. В правое предсердие впадают полые вены и коронарный синус, в левое предсердие - четыре легочные вены (рис. 2.3).
Оценка строения клапанов и подклапанных структур
При некоторых врожденных пороках сердца отмечаются особенности развития клапанов (расщепление створки клапана, врожденный стеноз клапана и т.д.). Крепление хорд клапанов также может быть не совсем обычным, например при аномалии Эбштейна или при полном атриовентрикулярном канале (рис. 2.4).

Рис. 2.2. Варианты крепления левого и правого фиброзных колец. В-режим. Апикальная четырехкамерная позиция, а - нормальное крепление фиброзных колец (стрелка); б - крепление фиброзных колец на одном уровне (стрелка); в - разница в креплении фиброзных колец > 7 мм - аномалия Эбштейна (стрелка).

Рис. 2.3. Апикальная четырехкамерная позиция в норме. Модераторный тяж правого желудочка, легочные вены, впадающие в левое предсердие.

Рис. 2.4. Апикальная четырехкамерная позиция. Аномалия Эбштейна. Особенность крепления хорд трикуспидального клапана.
Книга "Эхокардиография при врожденных пороках сердца у взрослых"
Авторы: М. К. Рыбакова, В. В. Митьков, Д. Г. Балдин

Диагностика врожденных пороков сердца – один из самых сложных разделов в кардиологии и эхокардиографии. Благодаря современным технологиям в эхокардиографии и пренатальной диагностике сердца плода диагностика врожденных пороков сердца стала более ранней, что способствовало существенному сокращению числа взрослых пациентов с данной патологией. Однако и в настоящее время можно встретить пациентов с различными врожденными пороками сердца даже в весьма почтенном возрасте.
Данное издание содержит историю описания того или иного врожденного порока, подробный анализ гемодинамики, особенностей эхокардиографической диагностики. Книга написана сотрудниками кафедры ультразвуковой диагностики Российской медицинской академии непрерывного последипломного образования (база – ГКБ им. С.П. Боткина, Москва) и включает все основные врожденные пороки сердца у взрослых с позиции эхокардиографии. Большое внимание уделено также дифференциальной диагностике в эхокардиографии при подозрении на врожденный порок сердца у больного, особенностям исследования сердца у детей и подростков, малым аномалиям развития сердца. Издание содержит большое количество иллюстраций и схем, а также примеры эхокардиографических заключений.
Предназначено для специалистов эхокардиографии, врачей ультразвуковой и функциональной диагностики, кардиологов и терапевтов.
Содержание книги "Эхокардиография при врожденных пороках сердца у взрослых" - М. К. Рыбакова, В. В. Митьков, Д. Г. Балдин
Глава 1. Сердце плода и строение сердца человека
1.1. Эмбриогенез сердца
1.2. Гемодинамика сердца плода
1.3. Нормальная анатомия грудной клетки и сердца человека
Строение грудной клетки
Строение сердца человека
Перикард
Строение левых камер сердца
Левое предсердие
Фиброзный каркас сердца
Митральный клапан
Левый желудочек
Аортальный клапан
Аорта
Строение правых камер сердца
Правое предсердие
Трикуспидальный клапан
Правый желудочек
Клапан легочной артерии
Легочная артерия
Кровоснабжение сердца
Иннервация сердца
1.4. Нормальная гемодинамика сердца человека
Рекомендуемая литература
Глава 2. Тактика эхокардиографического исследования у больного подозрением на врожденный порок сердца
2.1. Тактика осмотра больного при подозрении на врожденный порок сердца
Оценка положения сердца в грудной клетке
Оценка крепления фиброзных колец
Оценка положения желудочков и предсердий
Оценка строения клапанов и подклапанных структур
Оценка положения сосудов, впадающих и отходящих от сердца
Оценка степени гипертрофии и дилатации
Оценка расположения внутренних органов брюшной полости по отношению к сердцу (мальпозиции сердца)
2.2. Способы оценки давления в правых отделах сердца
Классификация легочной гипертензии
Гемодинамика при легочной гипертензии
Способы расчета давления в легочной артерии
Способы оценки давления в правом предсердии
Оценка давления в правом предсердии на основании степени дилатации нижней полой вены и ее реакции на вдох
2.3. Оценка отношения легочного кровотока к системному при пороках сердца с шунтированием крови или Qp/Qs
2.4. Малые аномалии развития сердца
Дополнительные хорды в полостях желудочков
Дополнительные мышечные трабекулы в полости желудочков
Евстахиев клапан, или евстахиева заслонка, нижней полой вены
Сеть Хиари
Аневризма межпредсердной перегородки
Аневризма мембранозной части межжелудочковой перегородки
Аневризма коронарного синуса
2.5. Открытое овальное окно
2.6. Новые рекомендации Европейской ассоциации кардиологии 2020 г. в диагностике и тактике ведения врожденных пороков сердца у взрослых
Рекомендуемая литература
Глава 3. Частые врожденные пороки сердца с шунтированием крови, клапанные и стенотические пороки, пороки развития коронарных артерий
3.1. Пороки с шунтированием крови
Дефекты межпредсердной перегородки
ДМПП в среднем отделе, или дефект типа osteum secundum
ДМПП в нижнем отделе, или дефект типа osteum primum
ДМПП в высоком отделе, или дефект типа sinus venosus
Дефекты межжелудочковой перегородки
Мембранозный ДМЖП
Мышечный ДМЖП
Открытый артериальный проток (боталлов проток)
Аортолегочный канал
Пороки развития коронарных артерий
Аномалии отхождения коронарных артерий от аорты. Аномалии отхождения коронарных артерий от легочной артерии
Коронарные фистулы
Врожденные аневризмы коронарных артерий
Аномалии развития коронарного синуса
3.2. Коарктация аорты
3.3. Клапанные врожденные пороки сердца
Двустворчатый аортальный клапан
Четырехстворчатый аортальный клапан
Врожденный стеноз аортального клапана
Врожденный стеноз клапана легочной артерии
Удвоенный митральный клапан
3.4. Надклапанные и подклапанные стенозы
Подклапанный стеноз легочной артерии (мембранозный)
Мембрана в левом предсердии или трехпредсердное сердце
Рекомендуемая литература
Глава 4. Редкие врожденные пороки сердца
4.4. Единственный желудочек («сердце лягушки» или «сердце Холмса»)
4.5. Аномалия Улла, или аритмогенная дисплазия стенки правого желудочка
4.6. Двойное отхождение аорты и легочной артерии от правого желудочка
4.7. Атрезия трикуспидального клапана
4.8. Транспозиция магистральных сосудов
4.9. Общий атриовентрикулярный канал
4.10. Первичная легочная гипертензия
4.11. Некомпактный миокард
4.12. Общий артериальный ствол
Рекомендуемая литература
Глава 5. Варианты операций при врожденных пороках сердца
Оперированные врожденные пороки сердца
5.1. Протезирование клапанов сердца (трансторакальная операция или эндопротезирование)
Механические протезы
Биологические протезы
Оценка функции протеза
Осложнения при протезировании клапанов сердца или окклюдера)
5.5. Наложение лигатуры при наличии шунта (открытый артериальный проток или аортолегочный тоннель) или установка окклюдера
5.6. Установка кондуита-обходника
5.7. Баллонирование отверстия клапана или мембраны
5.8. Создание биопротеза-моностворки при ряде пороков клапана легочной артерии
5.9. Стентирование коронарных артерий или аорты
5.10. Протезирование аорты. Эндопротез брюшного или грудного отдела аорты
5.11. Установка электрокардистимулятора
5.12. Установка дефибриллятора-кардиовертера
5.13. Установка системы «искусственное сердце»
5.14. Установка выпускника в межпредсердной перегородке и создание искусственного межпредсердного сообщения
5.15. Пересадка сердца




















