Заключения в торакальной компьютерной томографии. Симптом, синдром, диагноз - Сперанская А. А.
Книга "Заключения в торакальной компьютерной томографии. Симптом, синдром, диагноз"
Автор: А. А. Сперанская
ISBN 978-5-6049248-3-9
Задача книги - научить писать заключения по КТ-исследованиям органов грудной клетки - системный анализ в описательной части с указанием необходимости применения различных методик КТ, возможности и необходимости применения программ искусственного интеллекта, оценка КТ-симптомов, суммация полученной информации в КТ-синдром либо нозологический диагноз в заключении с указанием информации, важной для пульмонолога, торакального хирурга, онколога и других лечащих врачей, участвующих в очном или виртуальном консилиуме. Книга может стать пособием как лучевому диагносту (для правильного описания КТ-исследования и формулировки своих выводов), так и лечащему врачу (для понимания того, что хотел сказать рентгенолог в своем описании и заключении).
Содержание книги "Заключения в торакальной компьютерной томографии. Симптом, синдром, диагноз" - А. А. Сперанская
Введение. От симптома к диагнозу через синдром
Протоколы КТ-исследований (общие принципы)
Протокол «Молодой нормы»
Протокол «Возрастной нормы»
Лучевые симптомы в КТ
Заключения КТ при разных нозологических формах
Протоколы КТ-исследований при неспецифических воспалительных процессах органов грудной клетки
Протокол «Плевропневмония»
Протокол «Округлая пневмония»
Протокол «Перибронхиальная пневмония»
Протокол «Округлое перибронхиальное воспаление»
Протокол «Экссудативный бронхиолит, бронхопневмония»
Протокол «Экссудативный панбронхиолит»
Протокол «Экссудативный панбронхиолит — динамика»
Протокол «Проявления хронически текущего бронхиолита (колонизация)»
Протокол «Муковисцидоз — начальные проявления»
Протокол «Муковисцидоз — развернутая картина»
Протокол «Муковисцидоз — далеко зашедшая стадия, рецидивирующее воспаление»
Протокол «Муковисцидоз — далеко зашедшая стадия, фиброзные изменения»
Протокол «Аспирационная пневмония»
Протокол «Постаспирационный хронический продуктивный бронхиолит»
Протокол «Инфекционная деструкция легких (абсцедирующая пневмония), динамика»
Протокол «Инфекционная деструкция легких, гангрена»
Протокол «Блокированный абсцесс легкого»
Протокол «Дренированный абсцесс легкого»
Протокол «Сепсис»
Протоколы КТ-исследований при специфических воспалительных процессах органов грудной клетки
Протокол «Продуктивный бронхиолит, нетуберкулезный микобактериоз»
Протокол «Первичный туберкулезный комплекс»
Протокол «Туберкулез внутригрудных лимфатических узлов, осложненная форма»
Протокол «Туберкулез внутригрудных лимфатических узлов»
Протокол «Милиарный туберкулез»
Протокол «Диссеминированный туберкулез (подострый)»
Протокол «Хронический диссеминированный туберкулез с формированием “штампованных” каверн»
Протокол «Очаговый туберкулез»
Протокол «Инфильтративный туберкулез»
Протокол «Казеозная пневмония»
Протокол «Туберкулема»
Протокол «Фиброзно-кавернозный туберкулез»
Протокол «Цирротический туберкулез»
Протокол «Цирротический туберкулез — реактивация»
Протокол «Микотическое поражение легких»
Протоколы КТ-исследований при острых интерстициальных пневмониях
Протокол «Вирус-ассоциированное поражение легких: грипп, парагрипп»
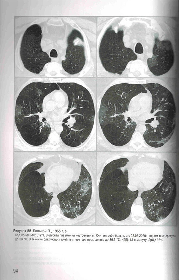
Протокол «Вирус-ассоциированного поражения легких: COVID-19, динамика»
Протокол «Пневмоцистная пневмония, динамика»
Протокол «Васкулит с поражением легких»
Протокол «Васкулит с системным поражением (легких, околоносовых пазух, глазниц), волнообразное течение»
Протокол «Хронически текущий васкулит с поражением легких»
Протокол «Фиброзирующая болезнь легких (ФБЛ) — последствия перенесенного васкулита»
Протоколы КТ-исследований при кистозно-буллезных поражениях легких
Протокол «Хроническая обструктивная болезнь легких»
Протокол «Хроническая обструктивная болезнь легких + COVID-19 поражение легких»
Протокол «Прогрессирование буллезной эмфиземы при дисплазии соединительной ткани после перенесенного COVID-19 поражения легких»
Протокол «Лимфангиолейомиоматоз легких — диффузная форма»
Протокол «Лимфангиолейомиоматоз легких — узловая форма»
Протокол «Лимфангиолейомиоматоз легких — смешанная диффузно-узловая форма»
Протокол «Лимфангиолейомиоматоз легких, диффузная форма — динамика»
Протокол «Лимфангиолейомиоматоз легких при туберозном склерозе»
Протокол «Лангергансоклеточный гистиоцитоз (X) — ранние признаки»
Протокол «Лангергансоклеточный гистиоцитоз (X) — развернутая стадия с подсчетом объема поражения с помощью программ ИИ»
Протокол «Лангергансоклеточный гистиоцитоз (X) — стабильное течение»
Протокол «Лангергансоклеточный гистиоцитоз (X) — отрицательная динамика»
Протокол «Лангергансоклеточный гистиоцитоз (X) — отрицательная динамика на фоне острой интерстициальной пневмонии»
Протокол «Последствия БЛД»
Протокол «Аномалии развития легкого во взрослом возрасте»
Протокол «Аномалии легкого во взрослом возрасте — дефицит альфа-1-антитрипсина с обсчетом объема поражения с помощью программы ИИ»
Протоколы КТ-исследований при фиброзирующих болезнях легких
Протокол «Гравитационный эффект»
Протокол «Минимальные интерстициальные изменения — МИИ»
Протокол «Минимальные интерстициальные изменения (МИИ) — динамика»
Протокол «Неспецифическая интерстициальная пневмония — НсИП»
Протокол «Неспецифическая интерстициальная пневмония (НсИП) при ССД»
Протокол «Неспецифическая интерстициальная пневмония, обострения при ДБСТ»
Протокол «Прогрессирующая ФБЛ»
Протокол «Идиопатический плевропаренхимальный фиброэластоз»
Протокол «Токсико-аллергический альвеолит — подострая фаза»
Протокол «Токсико-аллергический альвеолит (амиодароновое легкое)»
Протокол «Гиперчувствительный пневмонит — хроническое течение»
Протокол «Постлучевой пневмонит, отечная фаза»
Протокол «Постлучевой пневмонит, фиброзная фаза»
Протокол «ХОБЛ — ФБЛ»
Протокол «ФБЛ (постковидные изменения)»
Протоколы КТ-исследований при болезнях накопления (первичный, вторичный легочный альвеолярный протеиноз)
Протокол «Легочный альвеолярный протеиноз (ЛАП)»
Протокол «Легочный альвеолярный протеиноз (ЛАП) + ТЭЛА»
Протоколы КТ-исследований при обтурации просвета бронха (инородное тело, атрезия, новообразование, вязкая мокрота)
Протокол «Инородное тело бронха — гипервентиляция»
Протокол «Аномалии легкого во взрослом возрасте — атрезия бронха, внутрилегочная секвестрация»
Протокол «Аномалии легкого во взрослом возрасте — атрезия бронха, осложненная воспалением и кровотечением»
Протокол «Гиповентиляция при обтурации просвета бронха мокротой и воспалительной инфильтрации в легочной ткани»
Протоколы КТ-исследований при центральном раке легкого
Протокол «Центральный рак легкого»
Протокол «Центральный рак легкого — обтурационный пневмонит»
Протокол «Центральный рак легкого — медленное прогрессирование, последствия длительной ПХТ»
Протокол «Центральный рак легкого, гиповентиляция, плевральный выпот, пневмоторакс»
Протоколы КТ-исследований при периферическом раке легкого
Протокол «Периферический рак легкого»
Протокол «Периферический рак легкого, динамика»
Протокол «Периферический рак легкого на фоне идиопатического легочного фиброза в сочетании с хронической обструктивной болезнью легких (ИЛФ-ХОБЛ)»
Протокол «Периферический рак легкого с распадом»
Протокол «Периферическое доброкачественное новообразование легкого»
Протокол «Периферическое доброкачественное новообразование легкого: мать и дочь»
Протокол «Паразитарное поражение легких (эхинококк)»
Протокол «Локальный пневмофиброз»
Протоколы КТ-исследований при диссеминированных опухолевых поражениях
Протокол «Диссеминированный рак легкого (диффузная (инвазивная муцинозная) форма аденокарциномы)»
Протокол «Диссеминированный рак легкого (диффузная (инвазивная муцинозная) форма аденокарциномы)»
Протокол «Диссеминированный лимфопролиферативный процесс в легких»
Протокол «Рак легкого с лимфогенным карциноматозом и ТЭЛА»
Протокол «Бронхогенные очаги отвеса при папилломатозе гортани»
Протокол «Рак легкого с гематогенными метастазами в легких»
Протокол «Рак почки с гематогенными метастазами в легких»
Протоколы КТ-исследований при лимфотропных поражениях
Протокол «Саркоидоз органов дыхания I стадия»
Протокол «Саркоидоз органов дыхания II стадия — прогрессия»
Протокол «Саркоидоз органов дыхания III стадия — частичный регресс»
Протокол «Саркоидоз органов дыхания III стадия — волнообразное течение»
Протокол «Саркоидоз органов дыхания III стадия — деструктивная форма»
Протокол «Саркоидоз органов дыхания — деструктивная форма»
Протокол «Саркоидоз органов дыхания IV стадия»
Протокол «Фиброзирующий саркоидоз»
Протокол «Лимфопролиферативный процесс + саркоидная реакция»
Протокол «Пневмокониоз»
Протоколы КТ-исследований при патологии сердца и сосудов, приводящей к изменениям в легочной ткани (проявления левожелудочковой недостаточности, аномалии развития)
Протокол «Проявления интерстициального отека легких (левожелудочковой недостаточности)»
Протокол «Проявления альвеолярно-интерстициального отека легких»
Протокол «Аномалии развития сердечно-сосудистой системы, манифестирующие легочную патологию во взрослом возрасте»
Протокол «Аномалии легкого во взрослом возрасте — внутрилегочная секвестрация без изменения структуры легочной ткани»
Протокол «Аномалии легкого во взрослом возрасте — внутрилегочная секвестрация с изменением структуры легочной ткани»
Протокол «Аномалии легкого во взрослом возрасте — артериовенозная мальформация»
Протоколы КТ-исследований при ТЭЛА и ХПТЭЛГ
Протокол «ТЭЛА в динамике»
Протокол «Острая ТЭЛА, дольковый инфаркт»
Протокол «Острая ТЭЛА, инфаркт легкого с распадом»
Протокол «Подострая ТЭЛА»
Протокол «ТЭЛА — сепсис»
Протокол «Фиброма выходного отдела правого желудочка, ТЭЛА»
Протокол «Посттромбоэмболическая легочная гипертензия»
Примеры страниц из книги "Заключения в торакальной компьютерной томографии. Симптом, синдром, диагноз" - А. А. Сперанская













| Автор | Сперанская А. А. |
| ISBN | 978-5-6049248-3-9 |
| Издание | 2-е издание |
| Вес | 0.7 кг |
| Год | 2023 |
| Страниц | 264 |