Торакоабдоминальная компьютерная томография. Образы и симптомы - А. Л. Юдин
Книга "Торакоабдоминальная компьютерная томография. Образы и симптомы"
Автор: А. Л. Юдин
ISBN 978-5-89816-199-6
Книга знакомит читателей с более чем 100 метафорическими симптомами, используемыми при описании различных патологических процессов органов грудной клетки, брюшной полости и забрюшинного пространства. Современным ориентиром обучения является не простое усвоение обучающимся определенного объема знаний, умений и навыков, а глубокое осознание им системы знаний на основе формирования и развития различных видов мышления, в том числе ассоциативного. При ассоциативном мышлении в лучевой диагностике основой выступает связь между симптомами различных заболеваний и объектами из повседневной жизни, что позволяет мыслить гораздо быстрее и эффективнее. В книге просто и наглядно изложена сущность различных образных симптомов, как широко распространенных, так и малоизвестных. Богатый иллюстративный материал книги, четкое изложение материала делают легкодоступным весь объем представленной информации. Издание предназначено для широкого круга читателей и может стать руководством в повседневной работе. Рекомендовано в практической деятельности как врачей-рентгенологов, начинающих свою профессиональную деятельность, так и специалистов, работающих в области компьютерной томографии, аспирантов, ординаторов. Данное руководство будет интересно студентам и врачам клинических специальностей для ознакомления с терминологией в области лучевой диагностики.
Содержание книги "Торакоабдоминальная компьютерная томография. Образы и симптомы" - А. Л. Юдин
- Предисловие ко второму изданию
- Саблевидная трахея
- Обызвествление по типу яичной скорлупы и контрастирование ободком
- Расщепление плевры
- Консолидация, выбухающая борозда и воздушные бронхограммы, или симптом открытого бронха
- Матовое стекло и темный бронх
- Крыло летучей мыши, бабочка или крыло ангела
- Внутридольковый градиент, напоминающий китайские картины карстовых горных вершин
- Хаотичное мощение
- Сотовое легкое
- Ткань, траченная молью
- Исчезающее легкое и двойная стенка
- Мозаичная перфузия, или мозаичное легкое
- Воздушные (экспираторные) ловушки
- Швейцарский сыр и головной (мясной) сыр, или зельц
- Питающий сосуд, или плоды на ветке
- Милиарная диссеминация, снежная буря и пушечные ядра
- Песчаная буря, каменное легкое и черная плевральная линия
- Псевдокавитации и тороидальные хлопья или пробойник
- Венчик, или ореол
- Солнечные лучи, или лучистая (злокачественная) корона
- Хвост (плевральные метки, кроличьи уши или плевральный хвост)
- Положительный симптом бронха и пупкообразное втяжение, или вырезка Риглера (симптом Риглера)
- Обызвествление по типу воздушной кукурузы, мишень и бычий глаз
- Птицы на проводе и бисерная перегородка
- Галактика
- Лимфатические узлы, напоминающие клубни картофеля, лимфаденопатия саркоидного типа, признак 1—2—3, симптом ломбарда и скопление черных жемчужин
- Круглый (округлый) ателектаз, хвост кометы и воронья лапка
- Дерево с набухшими почками, или игрушечные «ежи»
- Воздушный полумесяц (воздушный серп), или симптом Моно, и погремушка
- Перстень-печатка, трамвайные рельсы (трамвайные пути), нитка жемчуга (нитка кист), гроздь винограда (гроздь кист)
- Перибронхиальные манжеты, или симптом пончика
- Пальцы в перчатке
- Атолл, или обратный венчик, и птичье гнездо
- Перилобулярный признак (аркады), огненное кольцо и мишень
- Сухой лист
- Горб Хамптона и таяние (тающие кубики льда), парашют
- Дисковидный, линейный, пластинчатый, ленточный ателектаз, или линии Флейшнера
- Столовая гора, или меса
- Фибриновое тело (плевральная мышь), торакальный камень
- Верхушка (вершина) айсберга
- Подковообразное легкое и свиной бронх
- Кольцо вокруг артерии, двойная бронхиальная стенка
- Кофейное зерно и челюсти змеи
- Яйцо и банан
- Железнодорожные пути, мятные конфеты «поло», кулак (костяшки пальцев), седловидная эмболия и головастик
- Тяжи и паутина в легочных артериях
- Белые легочные артерии
- Панцирное (бронированное) сердце
- Динамический знак «мерседес-бенц»
- Сторожевой сгусток (крови) и эффект гематокрита
- Расщелины в тромбе с просачивающейся кровью, или растрескивание тромба, и гиперденсивный полумесяц
- Тангенциальный кальций, дочерние аневризмы и берет (гриб)
- Драпированная аорта
- Лоскут интимы, теннисный мяч, клюв и паутина
- Рыболовный крючок
- Нитка бус, складки мехов аккордеона или цепочка коротких сосисок
- Жирная печень (фуа-гра), мраморная печень и географическая печень
- Белая печень
- Перипортальный венец, перипортальные кольца (воротники) и перипортальные рельсовые пути (трамвайные линии)
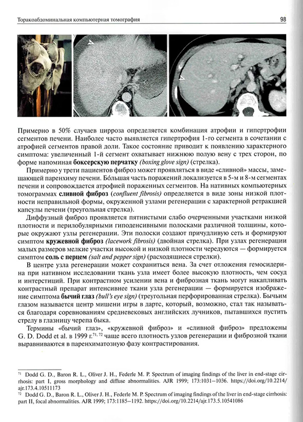
- Боксерская перчатка, сливной фиброз, кружевной фиброз, соль с перцем, бычий глаз
- Гроздь, или гроздь винограда, и круги на воде, или двойная мишень
- Плавающие мембраны, водяная лилия или змея
- Периферические лужицы, яркая точка, облака контрастирования, радужная оболочка (диафрагма глаза), кровяной пул
- Звездчатый рубец (фиброзное тело), паук (колесо со спицами)
- Полное кольцо (ободок), траурная рамка
- Фестончатость контуров печени и селезенки, или гребешок
- Центральная точка
- Горячая точка печени, или горячий квадрат
- Раны от медвежьих когтей
- Двойной проток
- Двойная стенка
- Арочный мост, или признак растянутого дна желчного пузыря
- «Мерседес-бенц»
- Фарфоровый (инкрустированный) желчный пузырь
- Кольцевидная поджелудочная железа и челюсти крокодила, кольцевидная поджелудочная железа, охватывающая воротную вену
- Цепь озер, или нитка бус, и сарделькообразная поджелудочная железа с капсулоподобным гиподенсивным ободком
- Колесо со спицами, звездчатый рубец и соты, или губка
- Детская почка, или стойкая дольчатость почки, и гипертрофия колонны Бертена, или выдающаяся колонна Бертена
- Горб верблюда, подковообразная и блинообразная почки
- Шпора, коготь или клюв
- Безликая почка и кипа (тюбетейка, ермолка)
- Белые пирамиды
- Звездчатый рубец, колесо со спицами и инверсия сегментарного усиления
- Швейцарский сыр (почки)
- Замазкообразная почка
- Полумесяц
- Полосатая (клиновидная) нефрограмма, или рваный веер, и пятнистая нефрограмма
- Обратный ободок и обызвествление по типу трамвайной линии
- Артериальная отсечка и кортикальный ободок, или краевая нефрограмма
- Лапа медведя
- Коралловидные рога оленя, игрушечные «ежи», шелковица, семена и кальциевое молоко
- Мяч для гольфа на подставке (яйцо в чашке), клешня рака и перстень-печатка (открывалка для бутылок)
- Пульверизатор, пирамидальный румянец (солнечные лучи), кисточка и букет цветов
- Мягкотканный ободок и хвост кометы, или хвост
- Голова кобры, или зеленый (весенний) лук
- Шляпа Наполеона, ножки балерины, сперматозоид, головастик, спирохета и сарделькообразная деформация
- Спрей, гребешок и сосудистая еюнизация подвздошной кишки
- Водяной венец (слоистое контрастирование): двойной венец и мишень
- Жировой венец
- Аккордеон, или гармонь
- Фекалии в тонкой кишке
- Мишень, колбасовидное образование и почкообразная кишка
- Водоворот (вихрь, воронка, волчок)
- Контрастирование кольцом, или мишень
- Гиперденсивное кольцо
- Сальниковый пирог
- Сэндвич, или гамбургер
- Грязный жир
- Мутная брыжейка и жировой венец, или жировое кольцо брыжейка и жировой венец, или жировое кольцо
Примеры страниц из книги "Торакоабдоминальная компьютерная томография. Образы и симптомы" - А. Л. Юдин








| Автор | А. Л. Юдин |
| ISBN | 978-5-89816-199-6 |
| Вес | 0.9 кг |
| Год | 2024 |
| Страниц | 168 |