Морфологическая диагностика заболеваний простаты. Руководство для врачей - Хоржевский В. А., Кириченко А. К., Гаппоев С. В., Алымова Е. В.
Книга "Морфологическая диагностика заболеваний простаты. Руководство для врачей"
Авторы: Хоржевский В. А., Кириченко А. К., Гаппоев С. В., Алымова Е. В.
ISBN 978-5-98811-886-2
Издание посвящено морфологической диагностике воспалительных, опухолеподобных заболеваний и опухолей простаты. Книга иллюстрирована авторскими рисунками, таблицами, более чем 300 фотографиями микропрепаратов.
Для врачей-патологоанатомов, ординаторов и слушателей программ дополнительного профессионального образования, обучающихся по специальности «Патологическая анатомия».
Содержание книги "Морфологическая диагностика заболеваний простаты. Руководство для врачей" - Хоржевский В. А., Кириченко А. К., Гаппоев С. В., Алымова Е. В.
1. Клиническая анатомия и гистологическое строение простаты
1.1. Клиническая анатомия простаты
1.2. Гистологическая характеристика зон простаты
1.3. Эпителий желез простаты
1.4. Пигменты
1.5. Секреторная активность эпителиоцитов
1.5.1. Муцин
1.5.2. Амилоидные тельца
1.5.3. Кальцинаты
1.5.4. Сперматозоиды
1.6. Стромальные изменения в простате
1.6.1. Стромальные гиалиновые тельца
1.6.2. Амилоид в ткани простаты
1.7. Семенные пузырьки и эякуляторный тракт
1.8. Железы Купера
2. Возрастные изменения в ткани простаты
3. Характеристика материала для патологоанатомического исследования ткани простаты
3.1. Пункционная биопсия простаты
3.1.1. Методика изготовления дополнительных срезов для ИГХ-исследования при пункционной биопсии
3.1.2. Артефакты при пункционной биопсии
3.2. Трансуретральная резекция и трансуретральная энуклеация простаты
3.2.1. Макроскопическое описание материала при ТУР/TUEB
3.2.2. Артефакты при ТУР
3.3. Макроскопическое исследование материала простаты при аденомэктомии
3.4. Макроскопическое исследование материала простаты при радикальной простатэктомии
4. Воспалительные заболевания простаты
4.1. Простатит
4.2. Хронический простатит
4.3. Гранулематозный простатит
4.4. Ксантогранулематозный простатит
5. Атрофия
6. Постатрофическая гиперплазия
7. Метаплазия в ткани простаты
8. Узловая гиперплазия простаты
9. Базальноклеточная гиперплазия
10. Криброзная гиперплазия желез простаты
11. Полип простатического типа
12. Простатическая интраэпителиальная неоплазия
13. Ошибки при морфологической диагностике аденокарциномы простаты и простатической интраэпителиальной неоплазии высокой степени
14. Атипические крибриформные изменения в простате
14.1. Характеристика крибриформных поражений простаты
14.2. Атипическая внутрипротоковая пролиферация
14.2.1. Морфологическая диагностика атипической внутрипротоковой пролиферации
15. Рак простаты
15.1. Морфологическая характеристика ацинарной аденокарциномы простаты
15.2. Стромальные изменения при ацинарной аденокарциноме простаты
16. Отдельные формы ацинарной аденокарциномы простаты
16.1. Атрофический вариант
16.2. Псевдогиперпластический вариант
16.3. Микрокистозный вариант
16.4. Вариант из пенистых желез
16.5. ПИН-подобный вариант
16.6. Муцинозный вариант
16.7. Перстневидноклеточный вариант
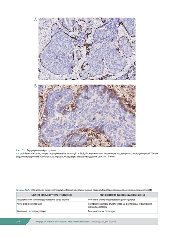
17. Внутрипротоковый рак простаты
18. Протоковая аденокарцинома простаты
19. Классификация ВОЗ 2022 г. внутрипротокового рака, криброзного варианта простатической интраэпителиальной неоплазии высокой степени и атипической внутрипротоковой пролиферации
20. Нейроэндокринные опухоли простаты
20.1. Нейроэндокринный рак, связанный с лечением (аденокарцинома с нейроэндокринной дифференцировкой)
20.1.1. Ацинарная аденокарцинома с нейроэндокринными морфологическими чертами (ацинарная аденокарцинома простаты, имитирующая нейроэндокринную опухоль)
20.2. Мелкоклеточный рак простаты
20.3. Высокодифференцированные нейроэндокринные опухоли простаты
21. Плоскоклеточный рак простаты
22. Атипическая мелкоацинарная пролиферация
23. Атипическая аденоматозная гиперплазия простаты
24. Система градаций Глисона при раке простаты
24.1. Криброзный компонент в системе градаций Глисона
24.2. Гломерулоидные структуры в системе градаций Глисона
24.3. Муцинозная аденокарцинома простаты в системе градаций Глисона
24.4. Внутрипротоковый рак простаты в системе градаций Глисона
24.5. Правила оценки градаций Глисона
25. Клинико-морфологические аспекты исследования биопсийного материала ткани простаты
26. Примеры заключений с указанием суммы Глисона
26.1. Пункционные биоптаты
26.2. Фрагменты ткани, полученные при ТУР и радикальной простатэктомии
27. Морфологическая характеристика градаций системы Глисона с современных позиций
27.1. Градации 1 и 2
27.2. Градация 3
27.3. Градация 4
27.4. Градация 5
28. Особенности клинической оценки системы градаций Глисона
29. Экспресс-диагностика при раке простаты
30. Оценка краев резекции, лимфоваскулярной инвазии и регионарных лимфатических узлов при раке простаты
31. Периневральная инвазия
32. Иммуногистохимические методы в диагностике патологии простаты
32.1. Иммуногистохимическое исследование при дифференциальной диагностике ацинарной аденокарциномы и патологических процессов, имитирующих опухолевый рост
32.2. Иммуногистохимическое исследование при дифференциальной диагностике уротелиального рака мочевого пузыря и ацинарной аденокарциномы простаты высокой градации
32.3. Иммуногистохимическое исследование при метастазах аденокарциномы простаты
33. Спектр генетических альтераций при ацинарной аденокарциноме простаты
34. Классификация ВОЗ опухолей простаты
35. Классификация TNM опухолей простаты
36. Градационные группы ISUP
37. Минимальные требования к оформлению патолого-анатомического заключения при диагностике рака простаты
38. Реагенты и протоколы, используемые при подготовке материалов для иммуногистохимического исследования
39. Протоколы гистологической обработки ткани простаты
39.1. Операционный материал (радикальная простатэктомия, аденомэктомия, ТУР)
39.2. Пункционный биопсийный материал
Примеры страниц из книги "Морфологическая диагностика заболеваний простаты. Руководство для врачей" - Хоржевский В. А., Кириченко А. К., Гаппоев С. В., Алымова Е. В.










